Aspects of endocrine ophthalmopathy surgical treatment by ENT specialist
Abstract
Background: Endocrine ophthalmopathy is a complex pathology in endocrinology and ophthalmology. It is multidisciplinary question, located at the junction of endocrinology and ophthalmology. Currently, the treatment of endocrine ophthalmopathy there are not many surgical approaches which differ in their effectiveness and safety. One of the most popular methods is transethmoid orbit decompression to the removal of the medial wall of the orbit and medial part of the orbital bottom. In addition, we can say unequivocally that this method slows down the progression of the disease, thereby improving visual acuity and quality of life.
Aim: To assess the possibilities of endocrine ophthalmopathy surgical treatment – transethmoidal orbital decompression, according to reduce of exophthalmos.
Methods: 64 patients with endocrine ophthalmopathy were included in the study with ineffective drug treatment, the surgical treatment of which was conducted from 2006 to 2016. Transethmoidal orbital decompression was performed on 90 orbits.
Results: All patients in the postoperative period showed persistent positive dynamics, expressed in decreasing exophthalmos and improving the quality of life due to the disappearance of the cosmetic defect. However, in all patients, we observed varying degrees of transient or persistent postoperative diplopia. None of the patients had orbital infectious complications or other clinically significant infections of the nasal cavity and paranasal sinuses.
Conclusion: In our study, the high clinical efficacy of transethmoidal orbit decompression with respect to the regression of exophthalmos was demonstrated. Exophthalmos on average decreased in all patients by 5.1 mm, and the level of postoperative diplopia was less than 20% of cases.
About the Author
Petr A. KochetkovI.M. Sechenov First Moscow State Medical University (Sechenov University)
Russian Federation
MD, PhD
References
1. Ezra DG, Rose GE. Old and new: evidence-based evaluation of interventions for Graves' Orbitopathy. Br J Ophthalmol. 2014;98(3):287-288. doi: 10.1136/bjophthalmol-2013-303648
2. Verity DH, Rose GE. Acute thyroid eye disease (TED): principles of medical and surgical management. Eye (Lond). 2013;27(3):308-319. doi: 10.1038/eye.2012.284
3. Кочетков П.А., Савватеева Д.М, Лопатин А.С. Декомпрессия орбиты: обзор хирургических доступов и анализ их эффективности. // Российская ринология. — 2013. —Т. 21. — №1. — С. 28-34. [Kochetkov PA, Savvateeva DM, Lopatin AS. Orbital decompression: review of surgical approaches and analyse of effective. Rossiiskaiia rinologiia. 2013;21(1):28-34. (In Russ.)]
4. Dubin MR, Tabaee A, Scruggs JT, et al. Image-Guided Endoscopic Orbital Decompression for Graves' Orbitopathy. Ann Otol Rhinol Laryngol. 2017;117(3):177-185. doi: 10.1177/000348940811700304
5. Alsuhaibani AH, Carter KD, Policeni B, Nerad JA. Effect of orbital bony decompression for Graves' orbitopathy on the volume of extraocular muscles. Br J Ophthalmol. 2011;95(9):1255-1258. doi: 10.1136/bjo.2010.188946
6. Berthout A, Vignal C, Jacomet PV, et al. Intraorbital pressure measured before, during, and after surgical decompression in Graves' orbitopathy. J Fr Ophtalmol. 2010;33(9):623-629. doi: 10.1016/j.jfo.2010.08.004
7. Cansiz H, Yilmaz S, Karaman E, et al. Three-wall orbital decompression superiority to 2-wall orbital decompression in thyroid-associated ophthalmopathy. J Oral Maxillofac Surg. 2006;64(5):763-769. doi: 10.1016/j.joms.2006.01.024
8. Chu EA, Miller NR, Grant MP, et al. Surgical treatment of dysthyroid orbitopathy. Otolaryngol Head Neck Surg. 2009;141(1):39-45. doi: 10.1016/j.otohns.2009.04.004
9. Chu EA, Miller NR, Lane AP. Selective endoscopic decompression of the orbital apex for dysthyroid optic neuropathy. Laryngoscope. 2009;119(6):1236-1240. doi: 10.1002/lary.20240
10. Clauser L, Gali M, Sarti E, Dallera V. Rationale of Treatment in Graves Ophthalmopathy. Plast Reconstr Surg. 2001;108(7):1880-1894. doi: 10.1097/00006534-200112000-00006
11. Clauser LC, Tieghi R, Galie M, et al. Surgical decompression in endocrine orbitopathy. Visual evoked potential evaluation and effect on the optic nerve. J Craniomaxillofac Surg. 2012;40(7):621-625. doi: 10.1016/j.jcms.2012.01.027
12. Кочетков П.А., Свириденко Н.Ю. Эндоназальная эндоскопическая декомпрессия орбиты трансэтмоидальным доступом у пациентов с болезнью Грейвса и эндокринной офтальмопатией. // Клиническая и экспериментальная тиреоидология. — 2010. — Т. 6. — №1. —C. 26-31. [Kochetkov PA, Sviridenko NY. Endonasal endoscopic transethmoidal orbital decompression for patients with Graves` desease and endocrine ophthalmopathy. Clinical and experimental thyroidology. 2010;6(1):26-31. (In Russ.)]. doi: 10.14341/ket20106126-31
Supplementary files
|
|
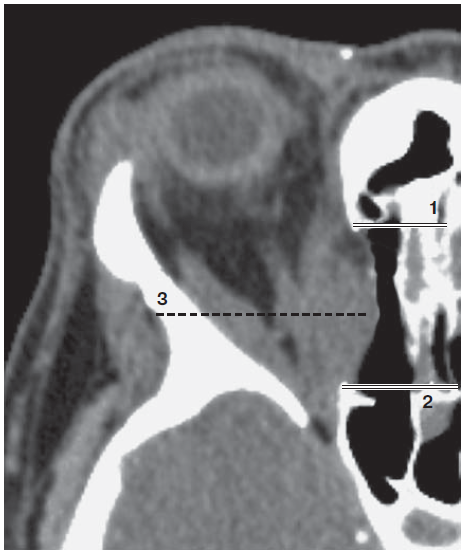
1. Рис.2. Компьютерная томография пациентки после ТЭДО, аксиальный срез. Отмечены границы наложенного костного окна (1,2); пролабирование орбитальных тканей в сформированное костное окно (3) | |
| Subject | ||
| Type | Other | |
View
(181KB)
|
Indexing metadata ▾ | |
|
|
2. Пациентка до (а) и после (б) тэдо: регресс экзофтальма. Отчетливо прослеживается уменьшение выступания верхнего века и обзорность спинки носа и переносицы после ТЭДО | |
| Subject | ||
| Type | Other | |
View
(22MB)
|
Indexing metadata ▾ | |
|
|
3. Рис. 1. Пациентка до (а) и после (б) ТЭДО: регресс экзофтальма. Отчетливо прослеживается уменьшение выступания верхнего века и обзорность спинки носа и переносицы после ТЭДО. | |
| Subject | ||
| Type | Исследовательские инструменты | |
View
(778KB)
|
Indexing metadata ▾ | |
|
|
4. Рис. 2. Компьютерная томография пациентки после ТЭДО. Аксиальный срез. Отмечены границы наложенного костного окна (1, 2); пролабирование орбитальных тканей в сформированное костное окно (3). | |
| Subject | ||
| Type | Исследовательские инструменты | |
View
(227KB)
|
Indexing metadata ▾ | |
Review
For citations:
Kochetkov P.A. Aspects of endocrine ophthalmopathy surgical treatment by ENT specialist. Clinical and experimental thyroidology. 2017;13(3):29-35. (In Russ.)
































