Перейти к:
О необходимости внедрения классификации TI-RADS в России
https://doi.org/10.14341/ket10115
Аннотация
В мировых профессиональных медицинских сообществах продолжается активное обсуждение модификаций системы стратификации признаков злокачественности узлов щитовидной железы TI-RADS (англ. Thyroid Imaging Reporting And Diagnostic System). Система предназначена в первую очередь для отбора узлов для выполнения пункционной биопсии. Классификация должна быть единой для всех медицинских учреждений нашей страны, простой в использовании и понятной для врачей различных специальностей. В статье представлена модификация TI-RADS, подготовленная для обсуждения в профессиональных сообществах России. Выделены “большие” эхопризнаки (специфичность ≥95%), наиболее характерные для рака щитовидной железы, и “малые” признаки (специфичность ≥90%), дополнительные, позволяющие перевести узел из категории TI-RADS 3 в категорию TI-RADS 4 для выполнения пункции. При сравнении показателей диагностической информативности данного варианта TI-RADS с европейским (EU-TIRADS) отмечено, что оба варианта имели одинаковую специфичность – 93%. Отечественный вариант несколько превышал европейский по показателям чувствительности, соответственно 94,2 и 91,0%, что можно объяснить учетом дополнительных “малых” признаков злокачественности, что позволяет рекомендовать к обсуждению в России предложенный отечественными экспертами вариант TI-RADS.
Для цитирования:
Фисенко Е.П., Сенча А.Н., Катрич А.Н., Сыч Ю.П., Цветкова Н.В., Борсуков А.В., Костромина Е.В. О необходимости внедрения классификации TI-RADS в России. Клиническая и экспериментальная тиреоидология. 2019;15(2):55-63. https://doi.org/10.14341/ket10115
For citation:
Fisenko E.P., Sencha A.N., Katrich A.N., Sych Yu.P., Tsvetkova N.V., Borsukov A.V., Kostromina E.V. Оn the need to introduce the TI-RADS classification in Russia. Clinical and experimental thyroidology. 2019;15(2):55-63. (In Russ.) https://doi.org/10.14341/ket10115
В мировых профессиональных медицинских сообществах на страницах печати продолжается широкое обсуждение применения классификации TI-RADS (англ. Thyroid Imaging Reporting And Diagnostic System) при выявлении узлов в щитовидной железе (ЩЖ). При анализе состояния проблемы оказалось, что в нашей стране пользуются различными модификациями этой классификации, предлагающими порой противоположные подходы к отбору узлов ЩЖ для биопсии, что противоречит основному предназначению классификаций ...I-RADS (...Imaging Reporting and Data System), предлагающих единый подход к решению данной проблемы и способствующих упрощению общения между собой врачей различных специальностей: мы должны говорить на одном языке.
Система стратификации признаков злокачественности узлов ЩЖ TI-RADS должна быть проста в применении и понятна не только специалистам, выполняющим пункционную биопсию узлов ЩЖ, но и тем врачам первичного звена (в первую очередь специалистам ультразвуковой диагностики), которые чаще первыми дифференцируют очаговые изменения ЩЖ и должны решить вопрос о передаче пациента в службы (специалистам-клиницистам), непосредственно занимающиеся морфологической оценкой и определением дальнейшей тактики ведения пациента. На это в очередной раз обращено внимание в последних предложенных вариантах TI-RADS американскими и европейскими коллегами [1, 2].
Система TI-RADS также предполагает стандартизацию обмена медицинской информацией между врачами-клиницистами (эндокринологами, хирургами) и специалистами ультразвуковой диагностики, что требует более быстрой валидации данной системы в РФ с закреплением этого в клинических рекомендациях для двух специальностей: эндокринологии и ультразвуковой диагностики.
Дифференцировка узлов ЩЖ часто проводится не столько по наличию основных признаков злокачественности (раки), сколько по их отсутствию (доброкачественные образования) [3, 4]. Однако хорошо известно, что рак щитовидной железы (РЩЖ) имеет много “масок” (клинических, ультразвуковых, цитологических) и часто имитирует доброкачественную природу узла.
Набор эхопризнаков, наиболее часто встречающихся при РЩЖ при мультипараметрическом УЗИ, практически совпадает в большинстве литературных источников [5–10], что представлено и в Российских клинических рекомендациях по диагностике и лечению высокодифференцированного РЩЖ у взрослых (2017) [11]:
– снижение эхогенности узла;
– вертикальная пространственная (или непараллельная) ориентация узла или “размеры выше больше, чем шире”;
– наличие микрокальцинатов в узле;
– неровные (мелкодольчатые, звездчатые, лучистые) и нечеткие контуры.
Эти признаки являются высокоспецифичными (таблица), что подтверждается многочисленными исследованиями, в том числе метаанализом [5, 9, 10, 12–20].
Таблица. Показатели специфичности эхографических признаков злокачественности в узлах щитовидной железы по данным различных авторов
|
Автор |
УЗ-признак |
|||
|
Неровный контур |
Вертикальная ориентация |
Снижение эхогенности |
Микрокальцинаты |
|
|
Park J., 2009 |
92,2 |
93,0 |
||
|
Popowicz B., 2009 |
92,0 |
92,0 |
91,0 |
|
|
Gharib H., 2010 |
91,8 |
92,2 |
93–100 |
|
|
Moon W., 2011 |
92,0 |
92,0 |
95,0 |
|
|
Moifo B., 2013 |
99,5 |
100,0 |
98,8 |
|
|
Remonti L.R., 2015 |
96,6 |
|||
|
Shin J., 2016 |
98,4 |
98,7 |
97,0 |
|
|
Митьков В.В., 2016 |
78,6 |
100,0 |
90,6 |
98,8 |
|
Фисенко Е., 2016 |
95,0 |
100,0 |
97,4 |
100,0 |
|
Бэскин Г.Дж.-ст., 2018 |
92–94 |
|||
В работах последних лет обращено внимание, что признак “понижение эхогенности” узлов ЩЖ следует подразделять на “умеренное” и “значительно сниженное” [1, 2]. При этом специфичность признака “выраженное снижение эхогенности” значительно превышает “умеренное снижение эхогенности” узла в диагностике РЩЖ [19, 20].
Наибольшие разногласия возникают при обсуждении термина “нечеткие границы” узла, что связано с субъективной оценкой врача-оператора. Известно, что доброкачественные гиперпластические процессы, представленные узловыми образованиями, часто не имеют капсулы, в связи с чем четкость их контуров тем хуже определяется, чем меньше размер очага [14, 20, 21], что приводит к гипердиагностике инвазивных процессов. Использование высокочастотных датчиков (12–18 МГц) позволяет определить микродольчатость, лучистость/игольчатость/звездчатость инфильтрирующих краев опухоли, что более важно для проведения дифференциально-диагностического процесса [1, 20].
Основные противоречия представленных в литературе модификаций TI-RADS сводятся к распределению узлов в категориях Т3 и Т4, Т5. В первой группе более ранних вариантов TI-RADS в категорию Т3 предложено определять узлы без перечисленных выше признаков злокачественности, соответственно начиная с Т4 – с признаками злокачественности [5–9]. Пункцию предложено выполнять и в категории Т3 (однако не представлены критерии отбора узлов для пункции в данной категории), и в категориях Т4, Т5. Распределение узлов в Т4 и Т5 определяется количеством выявленных признаков злокачественности. При этом Т4 подразделяется на подкатегории (2 или 3).
Во второй группе вариантов TI-RADS предложено отказаться от подразделения Т4 на подкатегории, что значительно облегчает работу. Разделение на категории преимущественно идет по характеру их эхогенности [1, 2].
В нашей стране также продолжается обсуждение классификации TI-RADS. Выделены ультразвуковые признаки, по которым происходит отбор узлов из категории Т3 (изо- или гиперэхогенных) в Т4 для пункции (согласно логике системы BI-RADS, а именно она взята в основу TI-RADS [22], узел, требующий выполнения биопсии, из Т3 (категория для динамического наблюдения узлов) должен быть перенесен в категорию Т4). Основными критериями в этом случае для узлов ЩЖ являются следующие “малые” ультразвуковые признаки злокачественности, полученные в В-режиме [19, 23, 24]:
– умеренное снижение эхогенности или неравномерная эхогенность узла (наличие гипоэхогенных включений);
– округлая форма узла;
– неравномерной толщины хало вокруг узла;
– наличие макрокальцинатов в узле.
Таким образом, появление этих признаков в гипер- или изоэхогенных узлах указывает на необходимость их морфологической оценки, т.е. перевода в категорию Т4 для выполнения пункционной биопсии.
К “малым” признакам отнесены также патологический интранодулярный сосудистый рисунок (по результатам применения цветокодированных режимов) и высокая жесткость узла (по результатам применения количественных и качественных параметров ультразвуковой эластографии). Эти методики широко внедряются в мировой ультразвуковой диагностике, однако на настоящий момент для оценки узлов ЩЖ являются дополнительными [23, 25]. При наличии соответствующей аппаратуры эти признаки могут быть определены как на этапе первичного диагностического поиска, так и на этапе непосредственного решения вопроса о выполнении биопсии при использовании оборудования высокого или экспертного класса.
Суммируя вышесказанное, мы предлагаем на страницах журнала обсудить возможный вариант TI-RADS, приемлемый для всех служб в нашей стране, и, возможно, сформировать общие рекомендации.
Проект TI-RADS
TI-RADS 1. Нет очаговых изменений в паренхиме ЩЖ.
TI-RADS 2. Очаговые образования, не требующие морфологической оценки (макрофолликулы; губчатые или кистозные узлы), представленные на рис. 1.
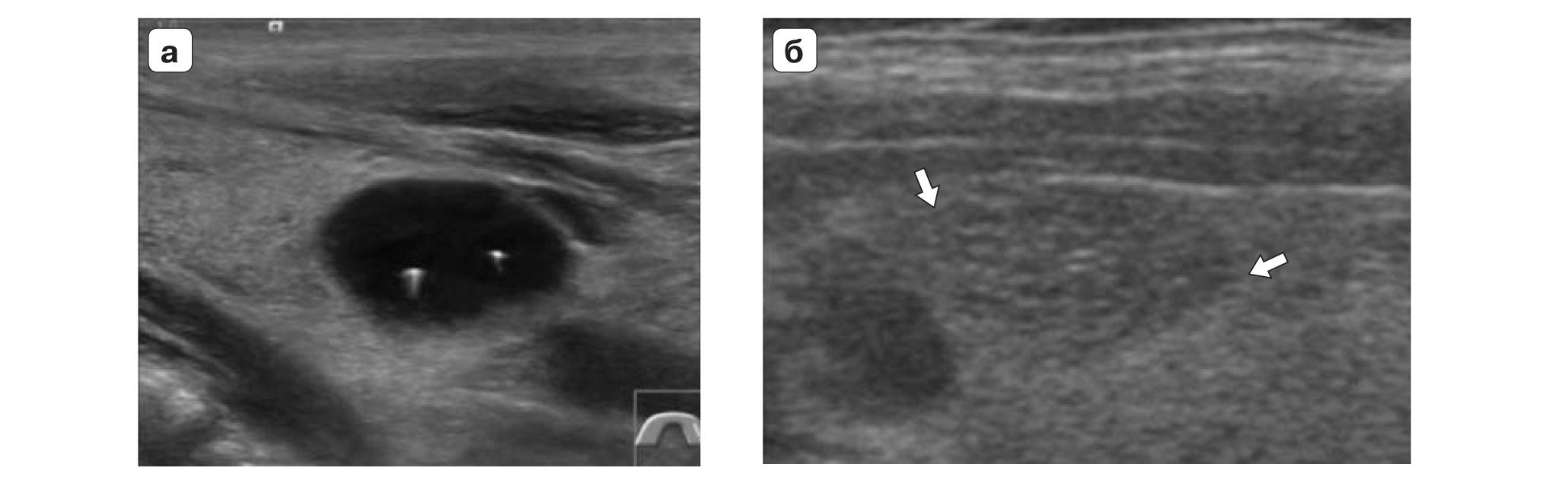
TI-RADS 3. Очаговые структуры, требующие динамического наблюдения без выполнения биопсии (гипер- или изоэхогенные образования с ровными контурами, в том числе на фоне аутоиммунного тиреоидита; кальцинированные узлы по типу “яичной скорлупы”) (рис. 2).
Пункция в категории TI-RADS 3 возможна по настоянию пациента или при наличии клинической необходимости по рекомендации лечащего врача.
При отрицательной динамике в процессе выполнения динамического мониторинга предполагается перевод в категорию TI-RADS 4 узлов, которые за 6–12 мес наблюдения значительно изменили свои характеристики в В-режиме:
– увеличились размеры узла (объем увеличился более чем на 30%);
– узлы приобрели шаровидную форму, появились кальцинаты, деформация капсулы узла (и/или капсулы ЩЖ);
– появились патологически измененные лимфатические узлы шеи, не выявляемые ранее.
Все гипоэхогенные узлы предлагается отнести в категории 4 и 5.
Рис. 1. Категория TI-RADS 2: а – кистозно расширенный или макрофолликул; б – губчатый узел (стрелки).
Рис. 2. Категория TI-RADS 3: а – изоэхогенный очаг (стрелки), окруженный тонким хало (узловой зоб); б – гиперэхогенный очаг округлой формы, с четкими контурами, тонким гипоэхогенным ободком на фоне аутоиммунного тиреоидита; в – кальцинированный узел по типу “яичной скорлупы”.
TI-RADS 4. Узлы более 1,0 см в диаметре с “малыми” признаками злокачественности для выполнения ПУНКЦИИ (рис. 3):
- солидные узлы, равномерно или неравномерно умеренно пониженной эхогенности;
- солидные узлы изо- или гиперэхогенные, имеющие “малые” признаки злокачественности:
– гипоэхогенные включения;
– округлая/шаровидная форма;
– неравномерно утолщенное хало;
– макрокальцинаты.
Рис. 3. TI-RADS 4: а – узел шаровидной формы, с ровными и четкими контурами, умеренно пониженной эхогенности, с участками более низкого эхо, с макрокальцинатом. Узел окружен тонким хало (фолликулярная неоплазия); б, в, г (поперечное и продольное сканирование левой доли ЩЖ) – изоэхогенные узлы с гипоэхогенными включениями, с четкими контурами, с тонким хало (фолликулярная аденома); д – изоэхогенный узел с гипоэхогенными включениями, с неравномерно утолщенным хало (фолликулярный рак).
TI-RADS 5. Солидные узлы с “большими” признаками злокачественности для выполнения ПУНКЦИИ:
- солидные узлы более 1,0 см в диаметре: при наличии хотя бы одного “большого” признака злокачественности (рис. 4):
– значительно сниженная эхогенность;
– вертикальная пространственная ориентация образования;
– неровный контур образования: бугристый, микродольчатый, лучистый;
– наличие в опухоли микрокальцинатов;
Рис. 4. TI-RADS 5. Узлы ЩЖ размером >1,0 см (папиллярные раки): а, б – узлы значительно пониженной эхогенности с микрокальцинатами, с неровными микродольчатыми контурами; в – узел вертикальной пространственной ориентации, с нечеткими, неровными контурами, значительно сниженной эхогенности, с множественными микрокальцинатами; г – узел с микродольчатыми нечеткими контурами, неравномерно пониженной эхогенности, с микрокальцинатами; д – узел значительно пониженной эхогенности, вертикальной пространственной ориентации, с нечеткими, неровными (лучистыми) контурами; е – узел с нечеткими контурами, с множественными микрокальцинатами.
- солидные узлы менее 1,0 см в диаметре: при наличии не менее двух “больших” признаков злокачественности (рис. 5), перечисленных выше.
Рис. 5. TI-RADS 5. Узлы ЩЖ размером <1,0 см: а – узел с нечеткими и неровными лучистыми контурами, вертикальной пространственной ориентации, значительно пониженной эхогенности, с микрокальцинатами; б – узел шаровидной формы, с нечеткими, размытыми, неровными микродольчатыми контурами, умеренно пониженной эхогенности, с микрокальцинатами, подрастает к капсуле ЩЖ, деформируя наружный контур доли. Цитологически и гистологичеки во всех представленных узлах диагностирован папиллярный рак.
При наличии измененных лимфатических узлов (шаровидная форма, исчезновение дифференцировки внутренних структур, кистозные изменения, кальцинаты) к указанию категории ТI-RADS целесообразно в заключении добавлять “ЛИМФАДЕНОПАТИЯ”. На основании заключения ультразвукового исследования и клинико-лабораторных данных врач-эндокринолог принимает окончательное решение о необходимости выполнения пункционной биопсии узла ЩЖ и измененных лимфатических узлов шеи.
Представленный вариант модификации TI-RADS наиболее близок к европейскому варианту [1]. Для работы в условиях нашей страны менее приемлемыми представляются варианты TI-RADS, предлагающие присвоение баллов каждому ультразвуковому признаку, с дальнейшим распределением узлов по категориям TI-RADS в зависимости от суммы баллов [2, 9].
Группой авторов проведено пилотное исследование по оценке воспроизводимости европейского варианта системы ТI-RADS и варианта, предложенного группой отечественных авторов, при помощи критерия Кохрейна [26]. Доля совпадений результатов (когда разные исследователи относили один и тот же узел к одинаковой категории) составила 79%, коэффициент Кохрейна составил 03–05 (p < 0,001), что свидетельствует о хорошей воспроизводимости данного метода оценки злокачественного потенциала узлов ЩЖ разными операторами.
Оба варианта TI-RADS имели одинаковую специфичность – 93%. Отечественный вариант несколько превышал европейский по показателям чувствительности: 94,2 против 91,0% соответственно, что можно объяснить учетом большего количества “малых” признаков злокачественности. Нам представляется важным обратить внимание на эти признаки. В ряде работ показано, что в 13,4% случаев в раковых узлах ЩЖ не удается выявить ни одного “большого” признака злокачественности; в 10,1% случаев выявляется только один “большой” признак рака; в 25,6% случаев определяется сочетание одного “большого” признака с несколькими “малыми”; в 13% случаев удается дифференцировать только “малые” признаки злокачественности [21, 27].
“Малые” признаки чаще возникают в узлах, приближающихся к 2,0 см в диаметре [21]. В настоящее время мы оперируем размерами узлов до 1,0 см и свыше 1,0 см, согласно ряду российских клинических рекомендаций [11, 28]. В последних западных вариантах TI-RADS размеры узлов разделяют от 0,5; 1,0; 1,5; 2,0 см и более [1, 2]. Возможно, нам также следует рассмотреть данные модификации.
Заключение
Мы предлагаем провести широкое обсуждение предложенного варианта классификации TI-RADS для его дальнейшей оптимизации и приемлемой стандартизации в обозримом будущем. Наш подход обусловлен желанием сблизить позиции отечественных специалистов ультразвуковой диагностики и российских эндокринологов. Переход на единую информационную диагностическую площадку этих двух специальностей, надеемся, будет положительно влиять на конечные показатели результатов ведения пациентов с узловыми новообразованиями ЩЖ.
Дополнительная информация
Источник финансирования. Работа выполнена без привлечения внешних источников финансирования на личные средства авторов.
Конфликт интересов. Авторы декларируют отсутствие явных и потенциальных конфликтов интересов, связанных с публикацией настоящей статьи.
Участие авторов: Фисенко Е.П. – концепция и инициатива создания публикации, анализ материалов, написание текста; Сыч Ю.П. – сбор и обработка материалов, анализ материалов, написание текста; Сенча А.Н. – сбор и анализ материалов, редактирование текста; Катрич А.Н. – сбор и анализ материалов, редактирование текста; Цветкова Н.В. – сбор и анализ материалов, редактирование текста; Борсуков А.В. – сбор и анализ материалов, редактирование текста; Костромина Е.В. – сбор и анализ материалов, редактирование текста. Все авторы внесли существенный вклад в проведение поисково-аналитической работы и подготовку статьи, прочли и одобрили итоговую версию до публикации.
Благодарности. Коллектив авторов выражает искреннюю благодарность коллегам, принявшим активное участие в обсуждении и подготовке материалов статьи: профессору кафедры ультразвуковой диагностики ФГБОУ ДПО РМАНПО Заболоцкой Наталье Владленовне, заведующей отделением ультразвуковой диагностики ФГБУ “НМИЦ эндокринологии” Минздрава России Солдатовой Татьяне Васильевне, заведующей отделением ультразвуковой диагностики НИИ клинической и экспериментальной радиологии ФГБУ “НМИЦ онкологии им. Н.Н. Блохина” Минздрава России, профессору Синюковой Галине Тимофеевне, старшему научному сотруднику НИИ клинической и экспериментальной радиологии ФГБУ “НМИЦ онкологии им. Н.Н. Блохина” Минздрава России Данзановой Татьяне Юрьевне, врачу отделения лучевой диагностики ФБУ здравоохранения “Центральная медико-санитарная часть № 141” ФМБА России, г. Удомля Тверской области, Пищугиной Алене Владимировне.
Список литературы
1. Russ G, Bonnema SJ, Erdogan MF, et al. European thyroid association guidelines for ultrasound malignancy risk stratification of thyroid nodules in adults: the EU-TIRADS. Eur Thyroid J. 2017;6(5):225-237. doi: https://doi.org/10.1159/000478927.
2. Tessler FN, Middleton WD, Grant EG, et al. ACR thyroid imaging, reporting and data system (TI-RADS): White paper of the ACR TI-RADS committee. J Am Coll Radiol. 2017;14(5):587-595. doi: https://doi.org/10.1016/j.jacr.2017.01.046.
3. Бельцевич Д.Г., Ванушко В.Э. Современные аспекты диагностики узлового зоба // Эндокринная хирургия. – 2014. – Т. 8. – №3. – С. 5-13. [Bel’tsevich DG, Vanushko VE. Actual questions for thyroid nodes diagnostic. Endocrine surgery. 2014;8(3):5-13. (In Russ.)] doi: https://doi.org/10.14341/serg201435-13.
4. Велькоборски Х.-Ю., Йеккер П., Маурер Я., Манн В.Ю. Ультразвуковая диагностика заболеваний головы и шеи. Пер. с нем. / Под ред. В.Ю. Халатова. – М.: МЕДпресс-информ; 2016. – 174 с. [Vel’koborski Kh-Yu, Jekker P, Maurer Ya, Mann VYu. Ultraschall diagnostik Kopf-Hals. Translated from German. Ed by V.Yu. Khalatov. Moscow: MEDpress-inform; 2016. 174 p. (In Russ.)]
5. Park JY, Lee HJ, Jang HW, et al. A proposal for a Thyroid Imaging Reporting And Data System for ultrasound features of thyroid carcinoma. Thyroid. 2009;19(11):1257-1264. doi: https://doi.org/10.1089/thy.2008.0021.
6. Horvath E, Majlis S, Rossi R, et al. An ultrasonogram reporting system for thyroid nodules stratifying cancer risk for clinical management. J Clin Endocrinol Metab. 2009;94(5):1748-1751. doi: https://doi.org/10.1210/jc.2008-1724.
7. Зубов А.Д., Чирков Ю.Э., Чередниченко С.И., Губанов Д.М. THIRADS: ультразвуковая классификация узлов щитовидной железы [интернет]. [Zubov AD, Chirkov YuE, Cherednichenko SI, Gubanov DM. TIRADS: ul’trazvukovaya klassifikatsiya uzlov shchitovidnoi zhelezy [Internet]. (In Russ.)] Доступно по: https://refdb.ru/look/1704612.html. Ссылка активна на 12.05.2019.
8. Kwak JY, Han KH, Yoon JH, et al. Thyroid imaging reporting and data system for US features of nodules: a step in establishing better stratification of cancer risk. Radiology. 2011;260(3):892-899. doi: https://doi.org/10.1148/radiol.11110206.
9. Ko SY, Lee HS, Kim EK, Kwak JY. Application of the thyroid imaging reporting and data system in thyroid ultrasonography interpretation by less experienced physicians. Ultrasonography. 2014;33(1):49-57. doi: https://doi.org/10.14366/usg.13016.
10. Russ G, Royer B, Bigorgne C, et al. Prospective evaluation of thyroid imaging reporting and data system on 4550 nodules with and without elastography. Eur J Endocrinol. 2013;168(5):649-655. doi: https://doi.org/10.1530/EJE-12-0936.
11. Бельцевич Д.Г., Ванушко В.Э., Румянцев П.О., и др. Российские клинические рекомендации по диагностике и лечению высокодифференцированного рака щитовидной железы у взрослых, 2017 г. // Эндокринная хирургия. – 2017. – Т. 11. – №1. – С. 6-27. [Bel’tsevich DG, Vanushko VE, Rumiantsev PO, et al. 2017 Russian clinical practice guidelines for differentiated thyroid cancer diagnosis and treatment. Endocrine surgery. 2017; 11(1):6-27. (In Russ.)] doi: https://doi.org/10.14341/serg201716-27.
12. Popowicz B, Klencki M, Lewinski A, Slowinska-Klencka D. The usefulness of sonographic features in selection of thyroid nodules for biopsy in relation to the nodule’s size. Eur J Endocrinol. 2009;161(1):103-111. doi: https://doi.org/10.1530/EJE-09-0022.
13. Gharib H, Papini E, Paschke R, et al. American Association of Clinical Endocrinologists, Associazione Medici Endocrinologi, and European Thyroid Association medical guidelines for clinical practice for the diagnosis and management of thyroid nodules: executive summary of recommendations. J Endocrinol Invest. 2010;33(5):287-291. doi: https://doi.org/10.1007/bf03346587.
14. Moon WJ, Baek JH, Jung SL, et al. Ultrasonography and the ultrasound-based management of thyroid nodules: consensus statement and recommendations. Korean J Radiol. 2011;12(1):1-14. doi: https://doi.org/10.3348/kjr.2011.12.1.1.
15. Moifo В, Takoeta ЕО, Tambe J, et al. Reliability of Thyroid Imaging Reporting and Data System (TIRADS) classification in differentiating benign from malignant thyroid nodules. Open J Radiol. 2013;3(3):103-107. doi: https://doi.org/10.4236/ojrad.2013.33016.
16. Remonti LR, Kramer CK, Leitao CB, et al. Thyroid ultrasound features and risk of carcinoma: a systematic review and meta-analysis of observational studies. Thyroid. 2015;25(5):538-550. doi: https://doi.org/10.1089/thy.2014.0353.
17. Shin JH, Baek JH, Chung J, et al. Ultrasonography diagnosis and imaging-based management of thyroid nodules: revised Korean society of thyroid radiology consensus statement and recommendations. Korean J Radiol. 2016;17(3):370-395. doi: https://doi.org/10.3348/kjr.2016.17.3.370.
18. Митьков В.В., Иванишина Т.В., Митькова М.Д. Эластография сдвиговой волной в мультипараметрической ультразвуковой диагностике рака щитовидной железы // Ультразвуковая и функциональная диагностика. – 2016. – №1. – С. 13-28. [Mitkov VV, Ivanishina TV, Mitkova MD. Shear wave elastography in multiparametric ultrasound of malignant thyroid nodules. Ultrasound and functional diagnostics. 2016;(1):13-28. (In Russ.)]
19. Фисенко Е.П., Сыч Ю.П., Захарова С.М. Стратификация ультразвуковых признаков узловых образований щитовидной железы // Ультразвуковая и функциональная диагностика. – 2016. – №4. – С. 18-25. [Fisenko EP, Sich JP, Zaharova SM. Stratification of thyroid nodules ultrasound signs. Ultrasound and functional diagnostics. 2016;(4):18-25. (In Russ.)]
20. Бэскин Г.Д., Дюик Д.С., Левин Р.Э. Ультразвуковое исследование щитовидной железы. Пер. с англ. / Под ред. В.Э. Ванушко, А.М. Артемовой, П.В. Белоусова. – М.: ГЭОТАР-Медиа; 2018. – 432 с. [Beskin GD, Duik DS, Levin RE. Thyroid ultrasound and ultrasound-guided FNA. Translated from English. Ed by V.E. Vanushko, A.M. Artemova, P.V. Belousov. Moscow: GEOTAR-Media; 2018. 432 p. (In Russ).]
21. Катрич А.Н., Квасова А.А., Фисенко Е.П., и др. К вопросу о влиянии размеров ракового узла щитовидной железы на его ультразвуковую характеристику и необходимость проведения морфологической оценки // Ультразвуковая и функциональная диагностика. – 2018. – №2. – С. 27-36. [Katrich AN, Kvasova AA, Fisenko EP, et al. Dependence of malignant thyroid nodules size on ultrasound pattern and need for biopsy. Ultrasound and functional diagnostics. 2018;(2):27-36. (In Russ.)]
22. Фисенко Е.П. Применение классификации BI-RADS при ультразвуковом скрининге рака молочной железы. – М.: ООО “Фирма СТРОМ”; 2013. – 33 с. [Fisenko EP. Primenenie klassifikatsii BI-RADS pri ul’trazvukovom skrininge raka molochnoi zhelezy. Moscow: OOO “Firma STROM”; 2013. 33 p. (In Russ.)]
23. Сенча А.Н. Ультразвуковая диагностика. Поверхностно-расположенные органы: щитовидная железа, околощитовидные железы, молочные железы, слюнные железы, лимфатические узлы. – М.: Видар; 2015. – 509 с. [Sencha AN. Ul’trazvukovaya diagnostika. Poverkhnostno-raspolozhennye organy: shchitovidnaya zheleza, okoloshchitovidnye zhelezy, molochnye zhelezy, slyunnye zhelezy, limfaticheskie uzly. Moscow: Vidar; 2015. 509 р. (In Russ.)]
24. Фисенко Е.П., Борсуков А.В., Сыч Ю.П., и др. Валидация классификации TI-RADS в России (письмо главному редактору) // Ультразвуковая и функциональная диагностика. – 2018. – №1. – С. 74-82. [Fisenko EP, Borsukov AV, Sich JP, et al. Validation of TI-RADS classification in Russia (letter to the editor-in-chief). Ultrasound and functional diagnostics. 2018;(1): 74-82. (In Russ.)]
25. Борсуков А.В. Комментарии и обсуждение Всемирных рекомендаций 2015 года по эластографии щитовидной железы // Эндокринная хирургия. – 2017. – Т. 11. – №2. – С. 61-69. [Borsukov AV. Comments and discussion on the thyroid gland elastography World Recommendations 2015. Endocrine Surgery. 2017;11(2):61-69. (In Russ.)] doi: https://doi.org/10.14341/serg2017261-69.
26. Сыч Ю.П., Фисенко Е.П. Сравнительный анализ модификаций TI-RADS // Медицинская визуализация. – 2018. – Т. 22. – №5. – С. 14-21. [Sych YuP, Fisenko EP. Comparative analysis of TI-RADS modifications. Medical visualization. 2018;22(5):14-21. (In Russ.)] doi: https://doi.org/10.24835/1607-0763-2018-5-14-20.
27. Фисенко Е.П., Сыч Ю.П., Ветшева Н.Н. К вопросу о классификации TI-RADS и стратификации признаков рака щитовидной железы по данным ультразвукового исследования // Медицинская визуализация. – 2017. – Т. 21. – №5. – С. 29-38. [Fisenko EP, Sich YuP, Vetsheva NN. On the classification of TI-RADS and stratification of signs of thyroid cancer according to ultrasound data. Medical visualization. 2017;21(5):29-38. (In Russ.)] doi: https://doi.org/10.24835/1607-0763-2017-5-29-38.
28. Алиева С.Б., Алымов Ю.В., Кропотов М.А., и др. Клинические рекомендации по диагностике и лечению рака щитовидной железы (утв. на заседании правления Ассоциации онкологов России). – М.: Общероссийский союз общественных объединений “Ассоциация онкологов России”; 2014. – 27 с. [Alieva SB, Alymov YuV, Kropotov MA, et al. Klinicheskie rekomendatsii po diagnostike i lecheniyu raka shchitovidnoi zhelezy (utv. na zasedanii pravleniya Assotsiatsii onkologov Rossii). Moscow: Obshcherossijskii soyuz obshchestvennykh ob’edinenii “Assotsiatsiya onkologov Rossii”; 2014. 27 р. (In Russ.)] Доступно по: http://www.oncology.ru/association/clinical-guidelines/ 2014/56.pdf. Ссылка активна на 12.05.2019.
Об авторах
Елена Полиектовна ФисенкоФГБНУ “Российский научный центр хирургии им. академика Б.В. Петровского”; ФГАОУ ВО “Первый Московский государственный медицинский университет им. И.М. Сеченова (Сеченовский Университет)” Минздрава России
Россия
д.м.н.
Александр Николаевич Сенча
ФГБУ “Национальный медицинский исследовательский центр акушерства, гинекологии и перинатологии им. академика В.И. Кулакова” Минздрава России
Россия
д.м.н.
Алексей Николаевич Катрич
ГБУЗ “Научно-исследовательский институт – Краевая клиническая больница №1 им. профессора С.В. Очаповского” Минздрава Краснодарского края; ФГБОУ ВО “Кубанский государственный медицинский университет” Минздрава России
Россия
к.м.н.
Юлия Петровна Сыч
ФГАОУ ВО “Первый Московский государственный медицинский университет им. И.М. Сеченова (Сеченовский Университет)” Минздрава России
Россия
к.м.н.
Надежда Васильевна Цветкова
ФГБОУ ВО “Тверской государственный медицинский университет” Минздрава России
Россия
к.м.н., доцент
Алексей Васильевич Борсуков
ФГБОУ ВО Смоленский государственный медицинский университет Минздрава России
Россия
Проблемная научно-исследовательская лаборатория “Диагностические исследования и малоинвазивные технологии”, д.м.н., профессор
Екатерина Викторовна Костромина
ФГБУ “Национальный медицинский исследовательский центр онкологии им. Н.Н. Петрова” Минздрава России; ФГБОУ ВО “Санкт-Петербургский государственный педиатрический медицинский университет” Минздрава России
Россия
к.м.н.
Дополнительные файлы
|
|
1. рисунок 1А к статье TIRADS_КЭТ | |
| Тема | ||
| Тип | Исследовательские инструменты | |
Посмотреть
(146KB)
|
Метаданные ▾ | |
|
|
2. рисунок 1Б к статье TIRADS_КЭТ | |
| Тема | ||
| Тип | Исследовательские инструменты | |
Посмотреть
(725KB)
|
Метаданные ▾ | |
|
|
3. рисунок 2А к статье TIRADS_КЭТ | |
| Тема | ||
| Тип | Исследовательские инструменты | |
Посмотреть
(62KB)
|
Метаданные ▾ | |
|
|
4. рисунок2Б к статье TIRADS_КЭТ | |
| Тема | ||
| Тип | Исследовательские инструменты | |
Посмотреть
(770KB)
|
Метаданные ▾ | |
|
|
5. рисунок 3А к статье TIRADS_КЭТ | |
| Тема | ||
| Тип | Исследовательские инструменты | |
Посмотреть
(43KB)
|
Метаданные ▾ | |
|
|
6. рисунок 3Б к статье TIRADS_КЭТ | |
| Тема | ||
| Тип | Исследовательские инструменты | |
Посмотреть
(41KB)
|
Метаданные ▾ | |
|
|
7. рисунок 3Вк статье TIRADS_КЭТ | |
| Тема | ||
| Тип | Исследовательские инструменты | |
Посмотреть
(1MB)
|
Метаданные ▾ | |
|
|
8. рисунок 3Г к статье TIRADS_КЭТ | |
| Тема | ||
| Тип | Исследовательские инструменты | |
Посмотреть
(474KB)
|
Метаданные ▾ | |
|
9. рисунок 4А к статье TIRADS_КЭТ | |
| Тема | ||
| Тип | Исследовательские инструменты | |
Скачать
(1MB)
|
Метаданные ▾ | |
|
|
10. рисунок 4Б к статье TIRADS_КЭТ | |
| Тема | ||
| Тип | Исследовательские инструменты | |
Посмотреть
(61KB)
|
Метаданные ▾ | |
|
|
11. рисунок 4B к статье TIRADS_КЭТ | |
| Тема | ||
| Тип | Исследовательские инструменты | |
Посмотреть
(158KB)
|
Метаданные ▾ | |
|
|
12. рисунок 4Г к статье TIRADS_КЭТ | |
| Тема | ||
| Тип | Исследовательские инструменты | |
Посмотреть
(66KB)
|
Метаданные ▾ | |
|
13. рисунок 4Д к статье TIRADS_КЭТ | |
| Тема | ||
| Тип | Исследовательские инструменты | |
Скачать
(1MB)
|
Метаданные ▾ | |
|
|
14. рисунок 5А к статье TIRADS_КЭТ | |
| Тема | ||
| Тип | Исследовательские инструменты | |
Посмотреть
(149KB)
|
Метаданные ▾ | |
|
15. рисунок 5Б к статье TIRADS_КЭТ | |
| Тема | ||
| Тип | Исследовательские инструменты | |
Скачать
(1MB)
|
Метаданные ▾ | |
|
|
16. Рис. 1. Категория TI-RADS 2: а – кистозно расширенный или макрофолликул; б – губчатый узел (стрелки). | |
| Тема | ||
| Тип | Исследовательские инструменты | |
Посмотреть
(245KB)
|
Метаданные ▾ | |
|
|
17. Рис. 2. Категория TI-RADS 3: а – изоэхогенный очаг (стрелки), окруженный тонким хало (узловой зоб); б – гиперэхогенный очаг округлой формы, с четкими контурами, тонким гипоэхогенным ободком на фоне аутоиммунного тиреоидита; в – кальцинированный узел по типу “яичной скорлупы”. | |
| Тема | ||
| Тип | Исследовательские инструменты | |
Посмотреть
(548KB)
|
Метаданные ▾ | |
|
|
18. Рис. 3. TI-RADS 4: а – узел шаровидной формы, с ровными и четкими контурами, умеренно пониженной эхогенности, с участками более низкого эхо, с макрокальцинатом. Узел окружен тонким хало (фолликулярная неоплазия); б, в, г (поперечное и продольное сканирование левой доли ЩЖ) – изоэхогенные узлы с гипоэхогенными включениями, с четкими контурами, с тонким хало (фолликулярная аденома); д – изоэхогенный узел с гипоэхогенными включениями, с неравномерно утолщенным хало (фолликулярный рак). | |
| Тема | ||
| Тип | Исследовательские инструменты | |
Посмотреть
(711KB)
|
Метаданные ▾ | |
|
|
19. Рис. 4. TI-RADS 5. Узлы ЩЖ размером >1,0 см (папиллярные раки): а, б – узлы значительно пониженной эхогенности с микрокальцинатами, с неровными микродольчатыми контурами; в – узел вертикальной пространственной ориентации, с нечеткими, неровными контурами, значительно сниженной эхогенности, с множественными микрокальцинатами; г – узел с микродольчатыми нечеткими контурами, неравномерно пониженной эхогенности, с микрокальцинатами; д – узел значительно пониженной эхогенности, вертикальной пространственной ориентации, с нечеткими, неровными (лучистыми) контурами; е – узел с нечеткими контурами, с множественными микрокальцинатами. | |
| Тема | ||
| Тип | Исследовательские инструменты | |
Посмотреть
(741KB)
|
Метаданные ▾ | |
|
|
20. Рис. 5. TI-RADS 5. Узлы ЩЖ размером <1,0 см: а – узел с нечеткими и неровными лучистыми контурами, вертикальной пространственной ориентации, значительно пониженной эхогенности, с микрокальцинатами; б – узел шаровидной формы, с нечеткими, размытыми, неровными микродольчатыми контурами, умеренно пониженной эхогенности, с микрокальцинатами, подрастает к капсуле ЩЖ, деформируя наружный контур доли. Цитологически и гистологичеки во всех представленных узлах диагностирован папиллярный рак. | |
| Тема | ||
| Тип | Исследовательские инструменты | |
Посмотреть
(246KB)
|
Метаданные ▾ | |
Рецензия
Для цитирования:
Фисенко Е.П., Сенча А.Н., Катрич А.Н., Сыч Ю.П., Цветкова Н.В., Борсуков А.В., Костромина Е.В. О необходимости внедрения классификации TI-RADS в России. Клиническая и экспериментальная тиреоидология. 2019;15(2):55-63. https://doi.org/10.14341/ket10115
For citation:
Fisenko E.P., Sencha A.N., Katrich A.N., Sych Yu.P., Tsvetkova N.V., Borsukov A.V., Kostromina E.V. Оn the need to introduce the TI-RADS classification in Russia. Clinical and experimental thyroidology. 2019;15(2):55-63. (In Russ.) https://doi.org/10.14341/ket10115
JATS XML
Контент доступен под лицензией Creative Commons Attribution-NonCommercial-NoDerivatives 4.0 International License (CC BY-NC-ND 4.0).
































