Орбитальные проявления гиперкортицизма
https://doi.org/10.14341/ket12699
Аннотация
В настоящее время синдром Кушинга и его проявления хорошо изучены. При этом основными симптомами гиперкортицизма остаются ожирение, остеопороз, кардиомиопатия, атрофия мышц, истончение кожного покрова и образование багровых полос (стрий) на теле.
На практике самые частые из них — ожирение и остеопороз — встречаются в 90% случаев. Однако есть ряд пациентов с неявной клинической картиной гиперкортицизма. Часть изменений, наблюдаемых у них, затрагивает глаза. В данной обзорной статье рассматривается редкий симптом гиперкортицизма — экзофтальм. Экзофтальм — это патологическое смещение глазного яблока вперед. Этот симптом известен нам в рамках эндокринной орбитопатии, развивающейся при аутоиммунной патологии щитовидной железы. В статье проводится сравнение механизмов развития глазных симптомов при синдроме Кушинга и болезнях щитовидной железы, в особенности при болезни Грейвса. Обсуждаются возможные молекулярные механизмы, приводящие к экзофтальму у пациентов с синдромом Кушинга. Изучаются факторы, влияющие на адипогенез in vitro и in vivo, в частности факторы, приводящие к увеличению жировой клетчатки орбит на фоне повышенного уровня кортизола. Представлены гормональные сигнальные и транскрипционные каскады, отвечающие за дифференцировку адипоцитов в зрелые жировые клетки. Также в статье рассмотрены другие орбитальные проявления гиперкортицизма, встречающиеся на практике относительно редко. К ним относятся глаукома, а также катаракта, узелки Лиша и центральная серозная хориоретинопатия. Рассмотрены клинические случаи синдрома Кушинга с различными глазными проявлениями и сделаны соответствующие выводы.
Об авторах
Мария Олеговна КорчагинаРоссия
eLibrary SPIN:7834-5652
117186, Москва, ул. Нагорная, д. 17, к. 3; телефон: 89153375125
Конфликт интересов:
отсутствие явных и потенциальных конфликтов интересов
Алексей Андреевич Трухин
Россия
eLibrary SPIN: 4398-9536
Москва
Конфликт интересов:
отсутствие явных и потенциальных конфликтов интересов
Наталья Юрьевна Свириденко
Россия
Доктор медицинских наук, профессор; eLibrary SPIN: 5889-6484.
Москва
Конфликт интересов:
отсутствие явных и потенциальных конфликтов интересов
Список литературы
1. Российская ассоциация эндокринологов и нейрохирургов. Болезнь Иценко-Кушинга. Клинические рекомендации. — М.: Министерство здравоохранения Российской Федерации; 2016.
2. Мельниченко Г.А., Дедов И.И., Белая Ж.Е., и др. Болезнь Иценко-Кушинга: клиника, диагностика, дифференциальная диагностика, методы лечения // Проблемы эндокринологии. — 2015. — Т. 61. — №2. — С. 55-77. doi: https://doi.org/10.14341/probl201561255-77
3. Findling JW, Raff H. Screening and diagnosis of Cushing's syndrome. Endocrinol Metab Clin North Am. 2005;34(2):385-x. doi: https://doi.org/10.1016/j.ecl.2005.02.001
4. Clinicaltrials [Internet]: U.S. National Library of Medicine; 2020 — Hypercorticism, Russia. Available from: https://clinicaltrials.gov/ct2/results?cond=Hypercorticism&term=&cntry=RU&state=&city=&dist=&Search=Search
5. Giugni AS, Mani S, Kannan S, Hatipoglu B. Exophthalmos: A Forgotten Clinical Sign of Cushing's Syndrome. Case Rep Endocrinol. 2013;2013(2):1-3. doi: https://doi.org/10.1155/2013/205208
6. Дедов И.И., Мельниченко Г.А., Свириденко Н.Ю., и др. Федеральные клинические рекомендации по диагностике и лечению эндокринной офтальмопатии при аутоиммунной патологии щитовидной железы // Проблемы эндокринологии. — 2015. — Т. 61. — №1. — С. 61-74. doi: https://doi.org/10.14341/probl201561161-74
7. Durrani O.M, Onyimba CU, Bujalska IJ, et al. Thyroid Associated Ophthalmopathy — Cushing's Disease of the Orbit? Invest. Ophthalmol. Vis. Sci. 2007;48(13):3573.
8. Cushing H. The basophil adenomas of the pituitary body and their clinical manifestation. Bulletin Johns Hopkins Hospital. 1932;50:173-195.
9. Giugni AS, Mani S, Kannan S, et al. Exophthalmos: A Forgotten Clinical Sign of Cushing's Syndrome. Case Rep Endocrinol. 2013;2013:205-208. doi: https://doi.org/10.1155/2013/205208
10. Kelly W. Exophthalmos in Cushing's syndrome. Clin Endocrinol (Oxf). 1996;45(2):167-170. doi: https://doi.org/10.1046/j.1365-2265.1996.d01-1559.x
11. Lee M-J, Pramyothin P, Karastergiou K, Fried SK. Deconstructing the roles of glucocorticoids in adipose tissue biology and the development of central obesity. Biochim Biophys Acta - Mol Basis Dis. 2014;1842(3):473-481. doi: https://doi.org/10.1016/j.bbadis.2013.05.029
12. Paredes S, Ribeiro L. Cortisol: the villain in Metabolic Syndrome? Rev Assoc Med Bras. 2014;60(1):84-92. doi: https://doi.org/10.1590/1806-9282.60.01.017
13. Gomez-Sanchez CE. What is the role of the adipocyte mineralocorticoid receptor in the metabolic syndrome? Hypertension. 2015;66(1):17-19. doi: https://doi.org/10.1161/HYPERTENSIONAHA.115.05148
14. Артемова Е.В. Особенности синтеза, активации и дезактивации глюкокортикоидов. Биологическая роль кортизола в метаболических нарушениях // Ожирение и метаболизм. — 2017. — Т. 14. — №2. — 48-52. doi: https://doi.org/10.14341/omet2017248-52
15. Morgan S, McCabe E, Gathercole L, et al. 11-HSD1 is the major regulator of the tissue-specific effects of circulating glucocorticoid excess. Proceedings of the National Academy of Sciences. 2014;111(24):E2482-E2491. doi: https://doi.org/10.1073/pnas.1323681111
16. Lee J-E, Schmidt H, Lai B, Ge K. Transcriptional and Epigenomic Regulation of Adipogenesis. Mol Cell Biol. 2019;39(11). doi: https://doi.org/10.1128/MCB.00601-18
17. Rosen E, MacDougald O. Adipocyte differentiation from the inside out. Nature Reviews Molecular Cell Biology. 2006;7(12):885-896. doi: https://doi.org/10.1038/nrm2066
18. Lowe C, O'Rahilly S, Rochford J. Adipogenesis at a glance. J Cell Sci. 2011;124(21):3726-3726. doi: https://doi.org/10.1242/jcs.101741
19. Moseti D, Regassa A, Kim W-K. Molecular Regulation of Adipogenesis and Potential Anti-Adipogenic Bioactive Molecules. Int J Mol Sci. 2016;17(1):124. doi: https://doi.org/10.3390/ijms17010124
20. Егоров А.Д., Пеньков Д.Н., Ткачук В.А. Молекулярные и клеточные механизмы адипогенеза // Сахарный диабет. — 2015. — Т. 18. — №2. — C. 12-19. doi: https://doi.org/10.14341/DM2015212-19
21. Galitzky J, Bouloumie A. Human Visceral-Fat-Specific Glucocorticoid Tuning of Adipogenesis. Cell Metab. 2013;18(1):3-5. doi: https://doi.org/10.1016/j.cmet.2013.06.008
22. Luong Q, Huang J, Lee KY. Deciphering White Adipose Tissue Heterogeneity. Biology (Basel). 2019;8(2):23. doi: https://doi.org/10.3390/biology8020023
23. Chen J, Yang Y, Li S, et al. E2F1 Regulates Adipocyte Differentiation and Adipogenesis by Activating ICAT. Cells. 2020;9(4):1024. doi: https://doi.org/10.3390/cells9041024
24. Christodoulides C, Lagathu C, Sethi J, et al. Adipogenesis and WNT signalling. Trends in Endocrinology & Metabolism. 2009;20(1):16-24. doi: https://doi.org/10.1016/j.tem.2008.09.002
25. Peyster R, Ginsberg F, Silber J, et al, Exophthalmos caused by excessive fat: CT volumetric analysis and differential diagnosis. American Journal of Roentgenology. 1986;146(3):459-464.
26. Борзенок С.А., Гущина М.Б., Афанасьева Д.С., и др. Орбитальная жировая клетчатка — новый ресурс для трансплантологии // Вестник трансплантологии и искусственных органов. — 2015. — Т. 17. — №4. — С. 118-123. doi: https://doi.org/10.15825/1995-1191-2015-4-118-123
27. Onyimba C, Bujalska I, Durrani O, et al. Glucocorticoid metabolic pathways in human orbital adipose tissue: a comparison with subcutaneous and omental depots. Endocrine Abstracts. 2007;13:115.
28. Habib SN, Lin Z, Puvanachandra N. Ocular hypertension secondary to high endogenous steroid load in Cushing's disease. BMJ Case Rep. 2019;12(1):bcr-2018-226738. doi: https://doi.org/10.1136/bcr-2018-226738
29. Bouzas EA, Mastorakos G, Friedman TC et al. Posterior subcapsular cataract in endogenous Cushing syndrome: an uncommon manifestation. Invest Ophthalmol Vis Sci. 1993;34(13):3497-3500.
30. Ibrahim IM, Al-Bermani A, James RA. Ophthalmic presentations of Cushing's syndrome. Presented at Society for Endocrinology BES, Glasgow, UK. Endocrine Abstracts 2006;11:79.
31. Appa S. Subclinical hypercortisolism in central serous chorioretinopathy. Retin Cases Brief Rep. 2014;8(4):310-313. doi: https://doi.org/10.1097/icb.0000000000000036
32. Clarke C, Smith SV, Lee AG. A rare association: Cushing disease and central serous chorioretinopathy. Can J Ophthalmol. 2017;52(2):e77-e79. doi: https://doi.org/10.1016/jjcjo.2016.09.002
33. Jacob J, Chopra R, Chander A. The eye as a window to rare endocrine disorders. Indian J Endocrinol Metab. 2012;16(3):331. doi: https://doi.org/10.4103/2230-8210.95659
Дополнительные файлы
|
|
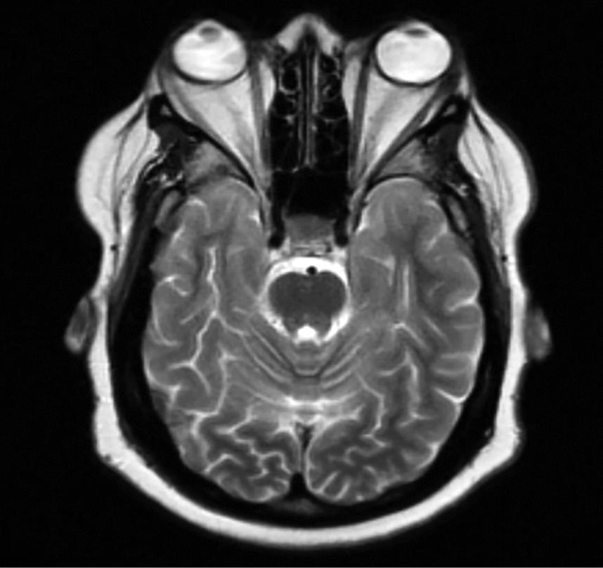
1. Рисунок 1. Билатеральный экзофтальм по данным магнитно-резонансной томографии у пациента с синдромом Кушинга [5] | |
| Тема | ||
| Тип | Исследовательские инструменты | |
Посмотреть
(132KB)
|
Метаданные ▾ | |
|
|
2. Рисунок 2. «Липогенный» вариант эндокринной офтальмопатии: (А) фото пациента с экзофтальмом; (В) мультиспиральная компьютерная томография орбит, аксиальная проекция (задний полюс глазного яблока расположен на межскуловой линии — белая линия) | |
| Тема | ||
| Тип | Исследовательские инструменты | |
Посмотреть
(159KB)
|
Метаданные ▾ | |
|
|
3. Рисунок 3. Роль кортизола в адипогенезе | |
| Тема | ||
| Тип | Исследовательские инструменты | |
Посмотреть
(115KB)
|
Метаданные ▾ | |
|
|
4. Рисунок 4. Набросок транскрипционного каскада, управляющего дифференцировкой адипоцитов | |
| Тема | ||
| Тип | Исследовательские инструменты | |
Посмотреть
(110KB)
|
Метаданные ▾ | |
Рецензия
Для цитирования:
Корчагина М.О., Трухин А.А., Свириденко Н.Ю. Орбитальные проявления гиперкортицизма. Клиническая и экспериментальная тиреоидология. 2020;16(4):4-13. https://doi.org/10.14341/ket12699
For citation:
Korchagina M.O., Trukhin A.A., Sviridenko N.Yu. Orbital manifestations of hypercorticism. Clinical and experimental thyroidology. 2020;16(4):4-13. (In Russ.) https://doi.org/10.14341/ket12699
Контент доступен под лицензией Creative Commons Attribution-NonCommercial-NoDerivatives 4.0 International License (CC BY-NC-ND 4.0).
































