Сложности диагностики карцином околощитовидных желез при нетипичном взаиморасположении со щитовидной железой
https://doi.org/10.14341/ket12787
Аннотация
Среди всех злокачественных новообразований карцинома околощитовидной железы (ОЩЖ) составляет 0,005% и как правило характеризуется неблагоприятным прогнозом. Наибольше трудности в диагностики возникают при нетипичном расположении новообразований ОЩЖ. Распространенность эктопического расположения ОЩЖ составляет от 2 до 43%, при этом частота встречаемости этой аномалии у пациентов с первичным гиперпаратиреозом — 16–30%. В статье на примере двух клинических случаев проанализированы сложности диагностики карцином при нетипичном расположении со щитовидной железой и предложены дополнительные методы персонализированного подхода.
Ключевые слова
Об авторах
Ф. М. АбдулхабироваРоссия
Абдулхабирова Фатима Магомедовна - к.м.н., заведующая лабораторией цитологии и цитогенетики отдела фундаментальной патоморфологии.
Москва
Конфликт интересов:
Нет
Е. В. Бондаренко
Россия
Бондаренко Екатерина Владимировна - к.м.н., руководитель Центра биобанкирования.
117292, Москва, ул. Дм. Ульянова, д. 11
Конфликт интересов:
Нет
М. И. Фадеева
Россия
Фадеева Мария Игоревна - врач-эндокринолог отделения патологии околощитовидных желез и нарушений минерального обмена, руководитель отдела по вопросам анализа и стратегического развития здравоохранения, реорганизации первичного звена Координационного совета.
Москва
Конфликт интересов:
Нет
К. А. Комшилова
Россия
Комшилова Ксения Андреевна - врач-эндокринолог, к.м.н. отделения терапии заболеваний щитовидной железы, надпочечников и ожирения Отдела терапевтической эндокринологии.
Москва
Конфликт интересов:
Нет
Л. С. Урусова
Россия
Урусова Лилия Сергеевна - к.м.н., зав. отделом фундаментальной патоморфологии.
Москва
Конфликт интересов:
Нет
Э. Э. Порубаева
Россия
Порубаева Эрика Эдуардовна.
Москва
Конфликт интересов:
Нет
А. А. Матросова
Россия
Матросова Алина Антоновна - лаборант-исследователь лаборатории общей, молекулярной и популяционной генетики.
Москва
Конфликт интересов:
Нет
Н. Г. Мокрышева
Россия
Мокрышева Наталья Георгиевна - д.м.н., профессор, член-корреспондент Российской академии наук, директор НМИЦ эндокринологии.
Москва
Конфликт интересов:
Нет
Список литературы
1. Мокрышева Н.Г., Ковалева Е.В., Еремкина А.К. Регистры заболеваний околощитовидных желез в Российской Федерации // Проблемы эндокринологии. — 2021. — Т. 67. — №4. — С. 4-7. doi: https://doi.org/10.14341/probl12803
2. Ким И.В., Кузнецов Н.С., Кузнецов С.Н. Рак околощитовидных желез // Клиническая и экспериментальная тиреоидология. — 2011. — Т. 7. — №3. — С. 22-29. doi: https://doi.org/10.14341/ket20117322-29
3. Романчишен А.Ф., Гостимский А.В., Матвеева З.С., Карпатский И.В., Вабалайте К.В., Сериков А.А. Злокачественные новообразования околощитовидных желез // Голова и шея. — 2021. — Т. 9. — №3. С. 8–14. doi: https://doi.org/10.25792/HN.2021.9.3.8–14
4. Ким Е.И., Крупинова Ю.А., Белоусов П.В., Трутнева К.А., Мокрышева Н.Г. Лечение рака околощитовидных желез: текущее состояние и ближайшие перспективы // Вестник Российской академии медицинских наук. — 2022. — Т. 77. — №5. — C. 362-370. doi: 10.15690/vramn2132
5. Мокрышева Н.Г., Крупинова Ю.А., Мирная С.С. Клинические и лабораторно-инструментальные возможности предоперационной диагностики рака околощитовидных желез // Эндокринная хирургия. — 2017. — Т. 11. — №3. — С. 136-145 doi: https://doi.org/10.14341/serg20173136-145
6. Benali K, Aarab J, Benmessaoud H, et al. Intrathyroidal parathyroid carcinoma: a case report and literature review. Radiat Oncol J. 2021;39(2):145-151. doi: https://doi.org/10.3857/roj.2020.01060
7. LoPinto M, Rubio GA, Khan ZF, Vaghaiwalla TM, Farra JC, Lew JI. Location of abnormal parathyroid glands: lessons from 810 parathyroidectomies. J Surg Res. 2017;207:22-26. doi: https://doi.org/10.1016/j.jss.2016.08.045
8. Noussios G, Anagnostis P, Natsis K. Ectopic parathyroid glands and their anatomical, clinical and surgical implications. Exp Clin Endocrinol Diabetes. 2012. doi: https://doi.org/10.1055/s-0032-1327628
9. Аллахвердиев А.К., Малкина Н.А., Носкова К.К., Гриневич В.Н. и др. Рак эктопированной околощитовидной железы: от диагностики до лечения (клинический случай) // Современная онкология. — 2020. — Т. 22. — №4. — C. 115-119 doi: https://doi.org/10.26442/18151434.2020.4.200293
10. Vila Duckworth L, Winter WE, Vaysberg M, Moran CA, Al-Quran SZ. Intrathyroidal parathyroid carcinoma: report of an unusual case and review of the literature. Case Rep Pathol. 2013;2013:198643. doi: https://doi.org/10.1155/2013/198643
11. Tejera Hernández AA, Gutiérrez Giner MI, Vega Benítez V, Fernández San Millan D, Hernández Hernández JR. Intrathyroidal parathyroid carcinoma. A case report and review of literature. Endocrinol Nutr. 2016;63:46–48. doi: https://doi.org/10.1016/J.ENDONU.2015.09.004
12. Takemoto N, Koyanagi A, Yasuda M, Yamamoto Y, Yamamoto H. A case of intrathyroid parathyroid tumor that was difficult to diagnose by ultrasonography. Ultrasound Journal. 2020;12:1–6. doi: https://doi.org/10.1186/S13089-020-00164-9/FIGURES/4
13. Zhao W, Lu R, Yin L, Wei B, Jin M, Zhang C, Guo R, Lv X. The Value of Preoperative and Intraoperative Ultrasound in the Localization of Intrathyroidal Parathyroid Adenomas. Journal of Investigative Surgery. 2022;35:752–757. doi: https://doi.org/10.1080/08941939.2021.1933273
14. Абдулхабирова Ф.М., Бондаренко Е.В., Фадеева М.И., Гадзыра А.Н. Сложности клинической и цитологической диагностики карциномы околощитовидной железы на дооперационном этапе. Клинический случай // Новости клинической цитологии. 2023. — Т. 27. — №2. — С. 30-34. doi: https://doi.org/10.24412/1562-4943-2023-2-0005
15. Landry C, Wang T, Asare E. Parathyroid. In: Amin M, editor. AJCC Cancer Staging Manual. 8th e d n New York, NY: Springer International Publishing; 2017:903.
16. Park H-S, Lee YH, Hong N, Won D and Rhee Y. Germline Mutations Related to Primary Hyperparathyroidism Identified by Next-Generation Sequencing. Front. Endocrinol. 2022;13:853171. doi: https://doi.org/10.3389/fendo.2022.853171
17. Северская Н. В., Ильин А. А., Чеботарева И. В. и др. Рак паращитовидной железы: опыт лечения 15 больных и обзор литературы // Опухоли головы и шеи. — 2020. — Т.10. — №3. — С.19–26. doi: https://doi.org/10.17650/2222-1468-2020-10-3-19-26
18. Ferraro V, Sgaramella LI, Di Meo G, et al. Current concepts in parathyroid carcinoma: a single centre experience. BMC Endocr Disord. 2019;19(Suppl 1):46. doi: https://doi.org/10.1186/s12902-019-0368-1
19. Крупинова Ю.А., Воронкова И.А., Айнетдинова А.Р., Абросимов А.Ю., Крюкова И.В., и др. Многоцентровое ретроспективное исследование клинико-лабораторных предикторов и морфологических характеристик рака околощитовидной железы. Вестник РАМН. — 2021. — Т. 76. — №1. — C. 111-124 doi: https://doi.org/10.15690/vramn1458
Дополнительные файлы
|
|
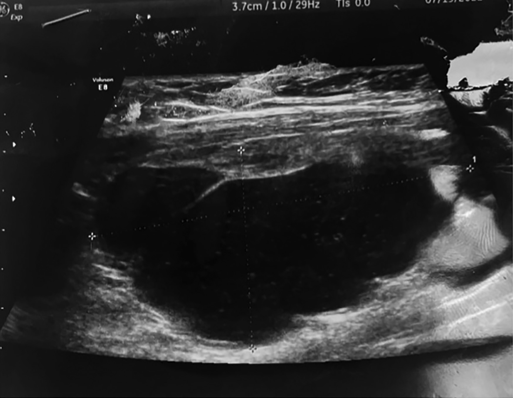
1. Рисунок 1. Ультрасонограмма ЩЖ. В правой доле ЩЖ определяется новообразование с нечеткими контурами пониженной эхогенности, анэхогенными зонами и кальцинатами в капсуле. | |
| Тема | ||
| Тип | Исследовательские инструменты | |
Посмотреть
(309KB)
|
Метаданные ▾ | |
|
|
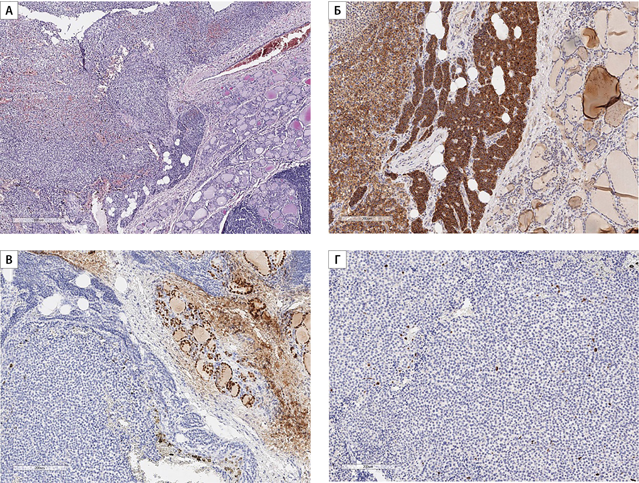
2. Рисунок 2. Гистограммы. Новообразование правой доли ЩЖ, представленное клетками с гиперхромными ядрами, участками фиброза, признаками инвазии широкой фиброзной капсулы и сосудов; тесно прилежащая ткань ЩЖ микронормофолликулярного строения с лимфоцитарной инфильтрацией, формированием немногочисленных лимфоидных фолликулов с центрами размножения (А). Отмечается диффузная экспрессия ПТГ и хромогранина А (Б). Отсутствует экспрессия TTF-1 (В). Индекс пролиферационной активности по ki67 в горячих точках максимально до 3% (Г). | |
| Тема | ||
| Тип | Исследовательские инструменты | |
Посмотреть
(1MB)
|
Метаданные ▾ | |
|
|
3. Рисунок 3. Ультрасонограмма ЩЖ. В левой доле ЩЖ визуализировано жидкостное новообразование с перегородками, густым содержимым, четкими ровными контурами. | |
| Тема | ||
| Тип | Исследовательские инструменты | |
Посмотреть
(208KB)
|
Метаданные ▾ | |
|
|
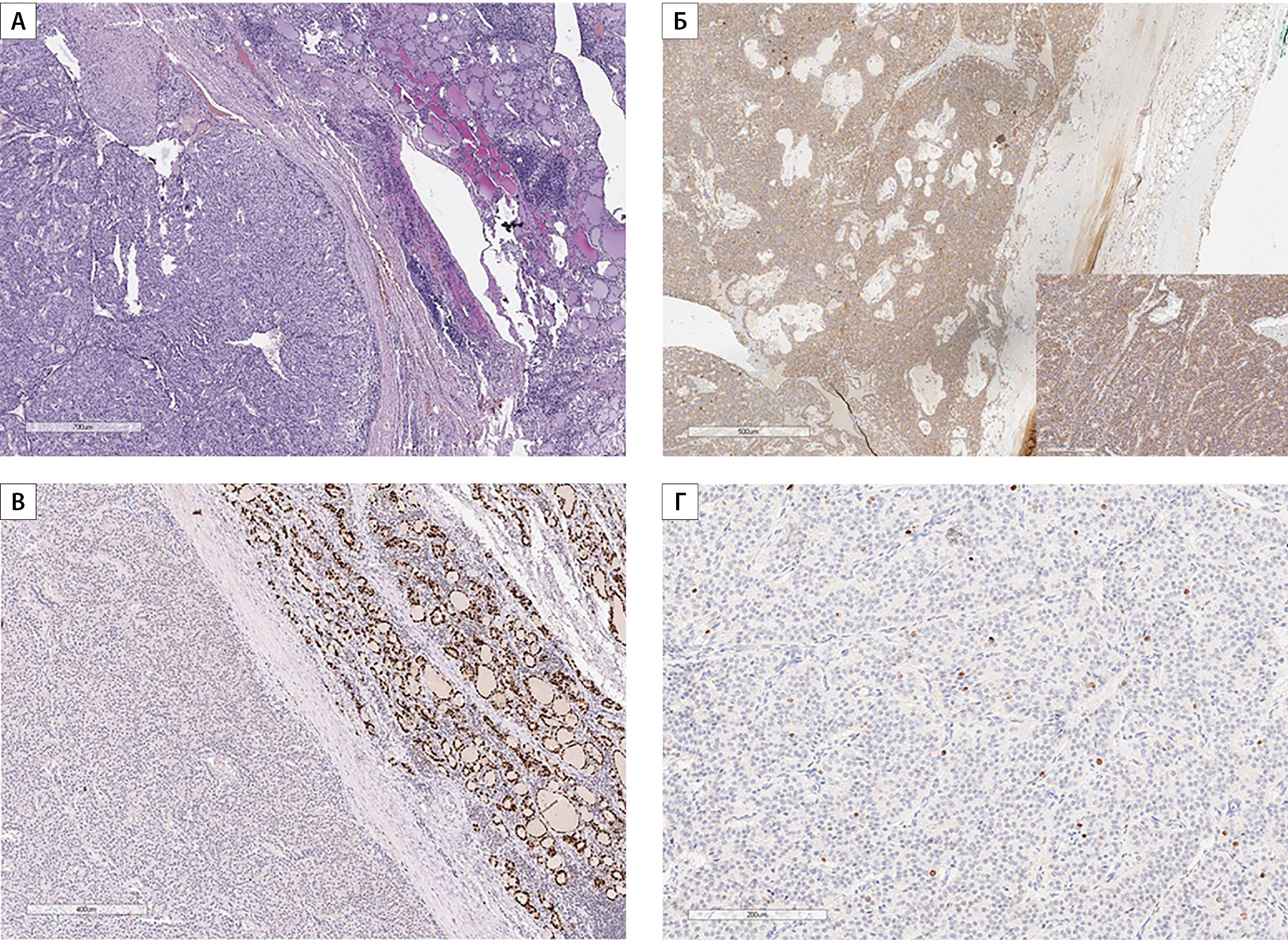
4. Рисунок 4. Гистограммы. Карцинома ОЩЖ представлена клетками с оптически пустой цитоплазмой, окруженной неравномерной фиброзной капсулой с признаками ее инвазии и врастанием в прилежащую жировую клетчатку, с участками, подозрительными в отношении инвазии сосудов; капсула левой доли ЩЖ «спаяна» с опухолью за счет участков выраженного фиброза с фокусами, подозрительными в отношения инвазии (А). Отмечается диффузная экспрессия ПТГ (Б). Отсутствует экспрессия TTF-1 (В). Индекс пролиферационной активности по ki67 в горячих точках максимально до 5% (Г). | |
| Тема | ||
| Тип | Исследовательские инструменты | |
Посмотреть
(1MB)
|
Метаданные ▾ | |
Рецензия
Для цитирования:
Абдулхабирова Ф.М., Бондаренко Е.В., Фадеева М.И., Комшилова К.А., Урусова Л.С., Порубаева Э.Э., Матросова А.А., Мокрышева Н.Г. Сложности диагностики карцином околощитовидных желез при нетипичном взаиморасположении со щитовидной железой. Клиническая и экспериментальная тиреоидология. 2024;20(1):41-48. https://doi.org/10.14341/ket12787
For citation:
Abdulkhabirova F.M., Bondarenko E.V., Fadeeva M.I., Komshilova K.A., Urusova L.S., Porubaeva E.E., Matrosova A.A., Mokrysheva N.G. Difficulties in the diagnosis of parathyroid carcinomas due to atypical location with the thyroid gland. Clinical and experimental thyroidology. 2024;20(1):41-48. (In Russ.) https://doi.org/10.14341/ket12787
Контент доступен под лицензией Creative Commons Attribution-NonCommercial-NoDerivatives 4.0 International License (CC BY-NC-ND 4.0).
































