Атипические опухоли в структуре множественного поражения околощитовидных желез у пациента с МЭН-1 синдромом
https://doi.org/10.14341/ket12811
Аннотация
Синдром множественной эндокринной неоплазии 1 типа (МЭН-1) — наследственная патология, ассоциированная с мутациями в гене MEN1 и характеризующаяся «классической триадой»: поражением околощитовидных желез (ОЩЖ), островковых клеток поджелудочной железы и передней доли гипофиза. Пенетрантность первичного опухолевого поражения ОЩЖ в рамках МЭН-1 с возрастом достигает 90–100%. Первичный гиперпаратиреоз (ПГПТ) в рамках МЭН-1 синдрома сопровождается полигландулярным поражением, причем опухоли не всегда развиваются синхронно, что обуславливает высокую частоту послеоперационных рецидивов заболевания. При МЭН-1-ассоциированном ПГПТ наиболее часто определяются гиперплазии, реже встречаются множественные аденомы. Рост гиперплазированных клеток при этом может быть диффузным, узловым или диффузно-узловым, что затрудняет дифференциальную диагностику между аденомой и диффузно-узловой гиперплазией с наличием одного доминантного узла. Карциномы и атипические опухоли при МЭН-1 встречаются казуистически редко. Мы представляем описание уникального случая молодого пациента с герминальной мутацией в гене MEN1 (c.684dup), клинически «агрессивным» течением ПГПТ вследствие атипических опухолей ОЩЖ.
Ключевые слова
Об авторах
Х. В. БагироваРоссия
Багирова Ханум Вугаровна
117292, Москва, ул. Дм. Ульянова, д. 11
Конфликт интересов:
Авторы декларируют отсутствие явных и потенциальных конфликтов интересов, связанных с содержанием настоящей статьи
Е. И. Калетник
Россия
Калетник Елена Игоревна
Москва
Конфликт интересов:
Авторы декларируют отсутствие явных и потенциальных конфликтов интересов, связанных с содержанием настоящей статьи
Е. И. Ким
Россия
Ким Екатерина Игоревна
Москва
Конфликт интересов:
Авторы декларируют отсутствие явных и потенциальных конфликтов интересов, связанных с содержанием настоящей статьи
Е. Е. Бибик
Россия
Бибик Екатерина Евгеньевна, к.м.н.
Москва
Конфликт интересов:
Авторы декларируют отсутствие явных и потенциальных конфликтов интересов, связанных с содержанием настоящей статьи
Д. А. Пастухова
Россия
Пастухова Дария Алексеевна
Москва
Конфликт интересов:
Авторы декларируют отсутствие явных и потенциальных конфликтов интересов, связанных с содержанием настоящей статьи
Н. В. Тарбаева
Россия
Тарбаева Наталья Викторовна, к.м.н.
Москва
Конфликт интересов:
Авторы декларируют отсутствие явных и потенциальных конфликтов интересов, связанных с содержанием настоящей статьи
Л. С. Урусова
Россия
Урусова Лилия Сергеевна, д.м.н.
Москва
Конфликт интересов:
Авторы декларируют отсутствие явных и потенциальных конфликтов интересов, связанных с содержанием настоящей статьи
А. К. Еремкина
Россия
Еремкина Анна Константиновна, к.м.н.
Москва
Конфликт интересов:
Авторы декларируют отсутствие явных и потенциальных конфликтов интересов, связанных с содержанием настоящей статьи
Н. Г. Мокрышева
Россия
Мокрышева Наталья Георгиевна, д.м.н., профессор, член-корр. РАН
Москва
Конфликт интересов:
Авторы декларируют отсутствие явных и потенциальных конфликтов интересов, связанных с содержанием настоящей статьи
Список литературы
1. Brandi ML, Agarwal SK, Perrier ND, Lines KE, Valk GD, Thakker R V. Multiple Endocrine Neoplasia Type 1: Latest Insights. Endocr Rev. 2021;42(2):133-170. doi: https://doi.org/10.1210/ENDREV/BNAA031
2. Chandrasekharappa SC, Guru SC, Manickam P, et al. Positional cloning of the gene for multiple endocrine neoplasia-type 1. Science. 1997;276(5311):404-406. doi: https://doi.org/10.1126/SCIENCE.276.5311.404
3. Nelakurti DD, Pappula AL, Rajasekaran S, Miles WO, Petreaca RC. Comprehensive Analysis of MEN1 Mutations and Their Role in Cancer. Cancers (Basel). 2020;12(9):1-19. doi: https://doi.org/10.3390/CANCERS12092616
4. Singh G, Mulji NJ, Jialal I. Multiple Endocrine Neoplasia Type 1 (MEN I, Wermer Syndrome). StatPearls. Published online 2020. Accessed November 25, 2024. https://www.researchgate.net/publication/350807815_4112021_Multiple_Endocrine_Neoplasia_Type_1_-StatPearls_-NCBI_Bookshelf_Multiple_Endocrine_Neoplasia_Type_1_Continuing_Education_Activity
5. Thakker R V, Newey PJ, Walls GV, et al. Clinical practice guidelines for multiple endocrine neoplasia type 1 (MEN1). J Clin Endocrinol Metab. 2012;97(9):2990-3011. doi: https://doi.org/10.1210/JC.2012-1230
6. Eller-Vainicher C, Chiodini I, Battista C, et al. Sporadic and MEN1- related primary hyperparathyroidism: differences in clinical expression and severity. J Bone Miner Res. 2009;24(8):1404-1410. doi: https://doi.org/10.1359/JBMR.090304
7. Lourenço DM, Coutinho FL, Toledo RA, Gonçalves TD, et al. Biochemical, bone and renal patterns in hyperparathyroidism associated with multiple endocrine neoplasia type 1. Clinics (Sao Paulo). 2012;67 Suppl 1(Suppl 1):99-108. doi: https://doi.org/10.6061/CLINICS/2012(SUP01)17
8. Wang W, Kong J, Nie M, et al. Primary hyperparathyroidism in Chinese children and adolescents: A single-centre experience at Peking Union Medical College Hospital. Clin Endocrinol (Oxf ). 2017;87(6):865-873. doi: https://doi.org/10.1111/CEN.13453
9. Mitre N, Mack K, Babovic-Vuksanovic D, Thompson G, Kumar S. Ischemic Stroke as the Presenting Symptom of Primary Hyperparathyroidism Due to Multiple Endocrine Neoplasia Type 1. J Pediatr. 2008;153(4):582-585. doi: https://doi.org/10.1016/j.jpeds.2008.04.070
10. Marini F, Giusti F, Cioppi F, et al. Bone and Mineral Metabolism Phenotypes in MEN1-Related and Sporadic Primary Hyperparathyroidism, before and after Parathyroidectomy. Cells. 2021;10(8):1895. doi: https://doi.org/10.3390/cells10081895
11. Greenberg C, Kukreja SC, Bowser EN, Hargis GK, Henderson WJ, Williams GA. Parathyroid hormone secretion: Effect of estradiol and progesterone. Metabolism. 1987;36(2):151-154. doi: https://doi.org/10.1016/0026-0495(87)90009-6
12. Voronkova IA, Eremkina AK, Krupinova YuA, Gurevich LE, Mokrysheva NG. Neuroendocrine markers in parathyroid tumors. Arkh Patol. 2020;82(6):70. doi: https://doi.org/10.17116/patol20208206170
13. Cinque L, Pugliese F, Clemente C, et al. Rare Somatic MEN1 Gene Pathogenic Variant in a Patient Affected by Atypical Parathyroid Adenoma. Int J Endocrinol. 2020;2020:1-5. doi: https://doi.org/10.1155/2020/2080797
14. Christakis I, Busaidy NL, Cote GJ, et al. Parathyroid carcinoma and atypical parathyroid neoplasms in MEN1 patients; A clinicopathologic challenge. The MD Anderson case series and review of the literature. International Journal of Surgery. 2016;31:10-16. doi: https://doi.org/10.1016/j.ijsu.2016.05.035
15. Pylina SV, Kim EI, Bondarenko EV, Krupinova JA, Eremkina AK, Mokrysheva NG. Casuistic cases of parathyroid carcinoma with a verified mutation in the MEN1 gene. Problems of Endocrinology. 2023;69(1):15-27. doi: https://doi.org/10.14341/probl13176
16. DeLellis RA. Parathyroid tumors and related disorders. Modern Pathology. 2011;24:S78-S93. doi: https://doi.org/10.1038/modpathol.2010.132
17. Erickson LA, Mete O, Juhlin CC, Perren A, Gill AJ. Overview of the 2022 WHO Classification of Parathyroid Tumors. Endocr Pathol. 2022;33(1):64-89. doi: https://doi.org/10.1007/S12022-022-09709-1
18. DeLellis RA. Parathyroid Carcinoma. Adv Anat Pathol. 2005;12(2):53-61. doi: https://doi.org/10.1097/01.pap.0000151319.42376.d4
19. Cetani F, Pardi E, Borsari S, et al. Genetic Analyses of the HRPT2 Gene in Primary Hyperparathyroidism: Germline and Somatic Mutations in Familial and Sporadic Parathyroid Tumors. J Clin Endocrinol Metab. 2004;89(11):5583-5591. doi: https://doi.org/10.1210/jc.2004-0294
20. Hosny Mohammed K, Siddiqui MT, Willis BC, et al. Parafibromin, APC, and MIB-1 Are Useful Markers for Distinguishing Parathyroid Carcinomas From Adenomas. Appl Immunohistochem Mol Morphol. 2017;25(10):731-735. doi: https://doi.org/10.1097/PAI.0000000000000378
21. Cetani F, Marcocci C, Torregrossa L, Pardi E. Atypical parathyroid adenomas: challenging lesions in the differential diagnosis of endocrine tumors. Endocr Relat Cancer. 2019;26(7):R441-R464. doi: https://doi.org/10.1530/ERC-19-0135
22. Kumari N, Chaudhary N, Pradhan R, Agarwal A, Krishnani N. Role of Histological Criteria and Immunohistochemical Markers in Predicting Risk of Malignancy in Parathyroid Neoplasms. Endocr Pathol. 2016;27(2):87-96. doi: https://doi.org/10.1007/s12022-016-9426-7
23. Karaarslan S, Yurum FN, Kumbaraci BS, et al. The role of parafibromin, Galectin-3, HBME-1, and Ki-67 in the differential diagnosis of parathyroid tumors. Oman Med J. 2015;30(6):421-427. doi: https://doi.org/10.5001/OMJ.2015.84
24. Fernandez-Ranvier GG, Khanafshar E, Tacha D, et al. Defining a molecular phenotype for benign and malignant parathyroid tumors. Cancer. 2009;115(2):334-344. doi: https://doi.org/10.1002/CNCR.24037
25. Woodard GE, Lin L, Zhang JH, Agarwal SK, Marx SJ, Simonds WF. Parafibromin, product of the hyperparathyroidismjaw tumor syndrome gene HRPT2, regulates cyclin D1/PRAD1 expression. Oncogene. 2005;24(7):1272-1276. doi: https://doi.org/10.1038/sj.onc.1208274
26. Gill AJ, Clarkson A, Gimm O, et al. Loss of Nuclear Expression of Parafibromin Distinguishes Parathyroid Carcinomas and Hyperparathyroidism-Jaw Tumor (HPT-JT) Syndrome-related Adenomas From Sporadic Parathyroid Adenomas and Hyperplasias. Am J Surg Pathol. Published online September 2006:1140-1149. doi: https://doi.org/10.1097/01.pas.0000209827.39477.4f
27. Mehta A, Patel D, Rosenberg A, et al. Hyperparathyroidismjaw tumor syndrome: Results of operative management. Surgery. 2014;156(6):1315-1325. doi: https://doi.org/10.1016/j.surg.2014.08.004
28. Juhlin CC, Nilsson IL, Johansson K, et al. Parafibromin and APC as Screening Markers for Malignant Potential in Atypical Parathyroid Adenomas. Endocr Pathol. 2010;21(3):166-177. doi: https://doi.org/10.1007/s12022-010-9121-z
29. Kruijff S, Sidhu SB, Sywak MS, Gill AJ, Delbridge LW. Negative Parafibromin Staining Predicts Malignant Behavior in Atypical Parathyroid Adenomas. Ann Surg Oncol. 2014;21(2):426-433. doi: https://doi.org/10.1245/s10434-013-3288-8
30. Erickson LA, Mete O. Immunohistochemistry in Diagnostic Parathyroid Pathology. Endocr Pathol. 2018;29(2):113-129. doi: https://doi.org/10.1007/s12022-018-9527-6
31. Thomopoulou G, Tseleni-Balafouta S, Lazaris A, Koutselini H, Kavantzas N, Davaris P. Immunohistochemical detection of cell cycle regulators, Fhit protein and apoptotic cells in parathyroid lesions. Eur J Endocrinol. Published online January 1, 2003:81-87. doi: https://doi.org/10.1530/eje.0.1480081
32. Pal R, Bhadada SK, Dutta P, et al. Ectopic Atypical Parathyroid Neoplasm in a Patient With Multiple Endocrine Neoplasia Type I. AACE Clin Case Rep. 2018;4(5):e383-e387. doi: https://doi.org/10.4158/ACCR-2018-0002
33. Ippolito G, Palazzo FF, Sebag F, De Micco C, Henry JF. Intraoperative diagnosis and treatment of parathyroid cancer and atypical parathyroid adenoma. British Journal of Surgery. 2007;94(5):566-570. doi: https://doi.org/10.1002/bjs.5570
34. Sandelin K, Tullgren O, Farnebo LO. Clinical course of metastatic parathyroid cancer. World J Surg. 1994;18(4):594-598. doi: https://doi.org/10.1007/BF00353773
Дополнительные файлы
|
|
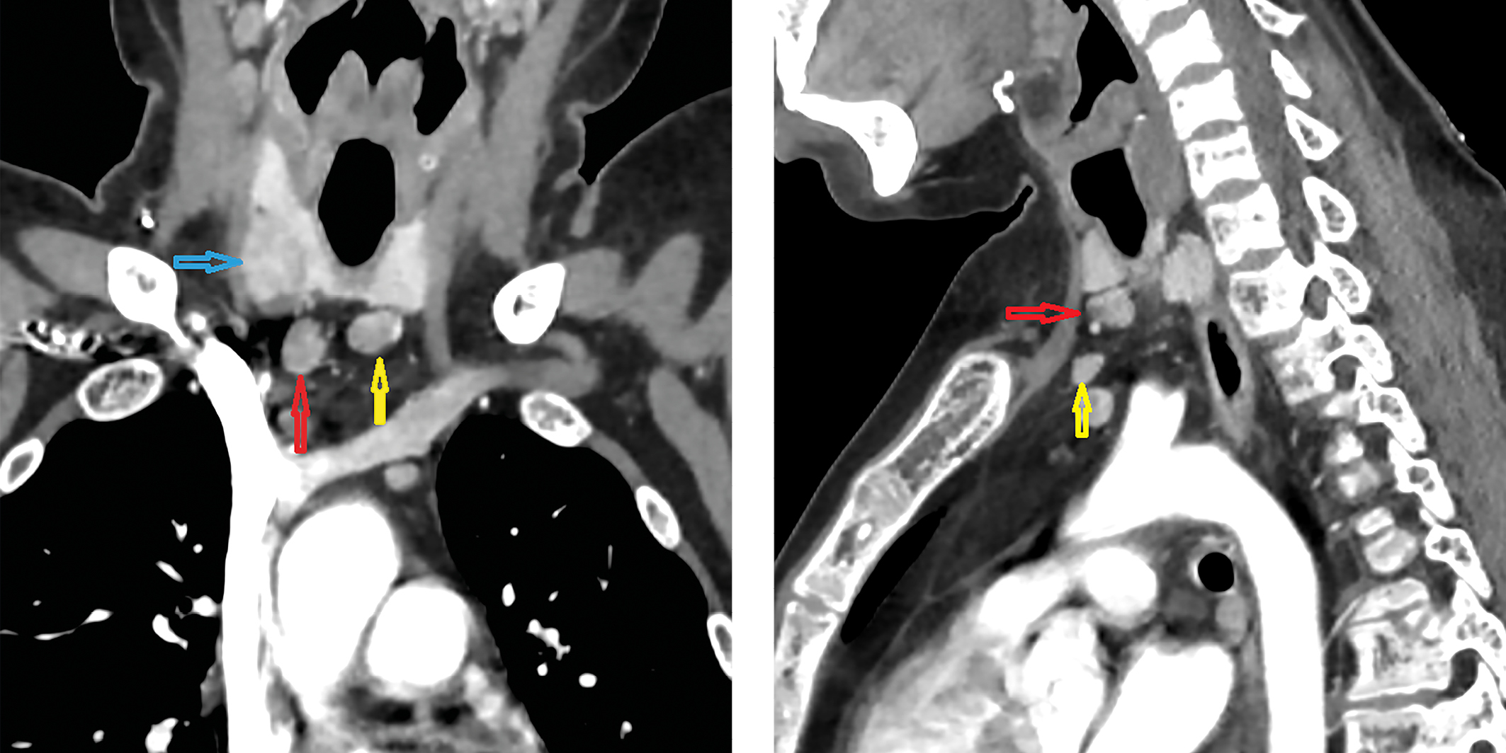
1. Рисунок 1. Мультиспиральная компьютерная томография шеи и верхнего средостения с внутривенным контрастированием (стрелками отмечены образования околощитовидных желез). | |
| Тема | ||
| Тип | Исследовательские инструменты | |
Посмотреть
(592KB)
|
Метаданные ▾ | |
|
|
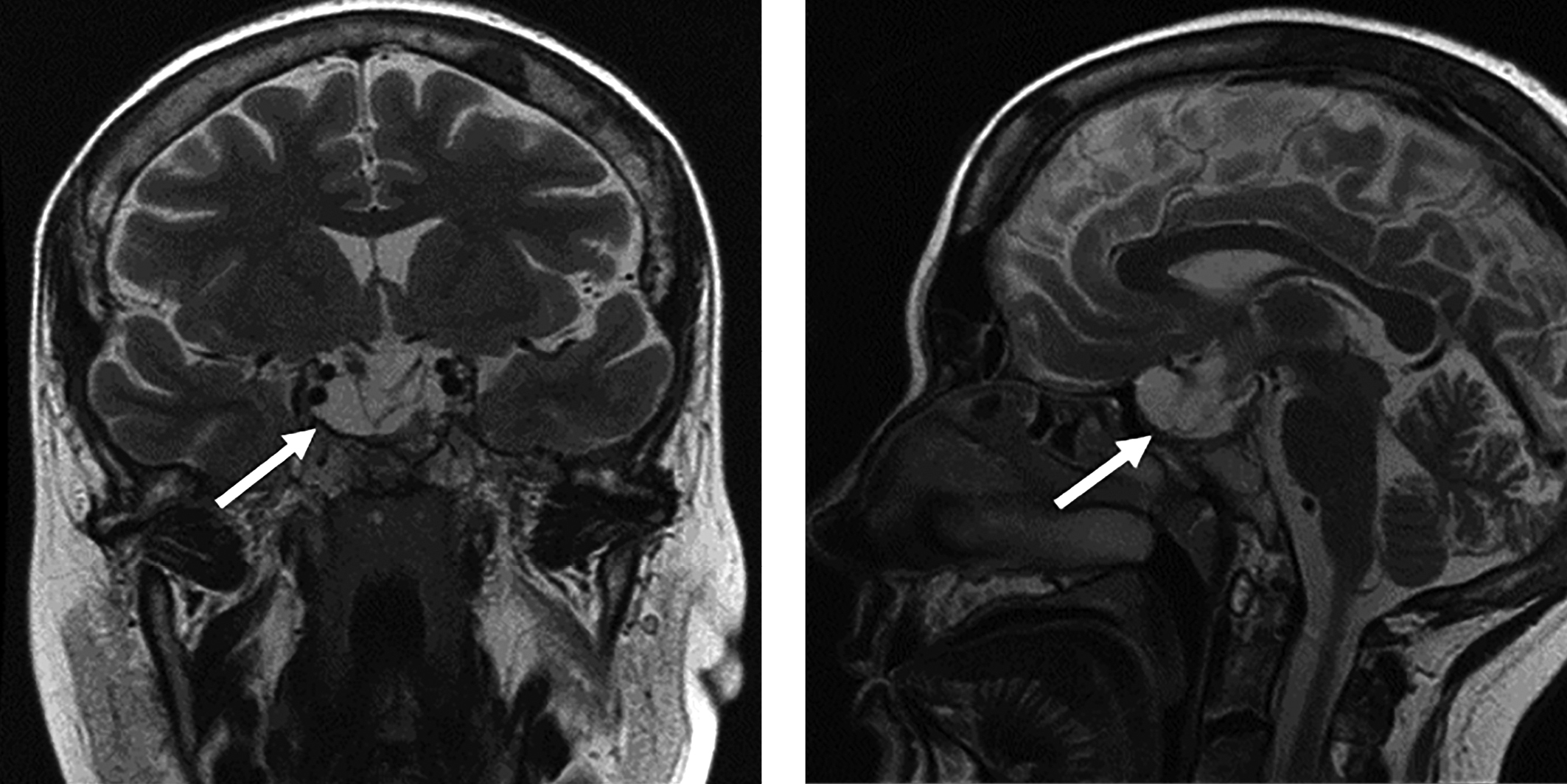
2. Рисунок 2. Магнитно-резонансная томография головного мозга с контрастированием. Стрелкой отмечено образование хиазмально-селлярной области. | |
| Тема | ||
| Тип | Исследовательские инструменты | |
Посмотреть
(737KB)
|
Метаданные ▾ | |
|
|
3. Рисунок 3. Атипическая опухоль правой верхней ОЩЖ. А — без признаков опухолевых эмболов в просветах при окрашивании с CD34; Б — умеренно выраженное окрашивание цитоплазмы антителами к паратиреодному гормону; В — умеренно выраженное ядерное окрашивание с антителами к парафибромину; Г — индекс пролиферативной активности (Ki-67) не превышал 2%. | |
| Тема | ||
| Тип | Исследовательские инструменты | |
Посмотреть
(737KB)
|
Метаданные ▾ | |
Рецензия
Для цитирования:
Багирова Х.В., Калетник Е.И., Ким Е.И., Бибик Е.Е., Пастухова Д.А., Тарбаева Н.В., Урусова Л.С., Еремкина А.К., Мокрышева Н.Г. Атипические опухоли в структуре множественного поражения околощитовидных желез у пациента с МЭН-1 синдромом. Клиническая и экспериментальная тиреоидология. 2024;20(3):21-28. https://doi.org/10.14341/ket12811
For citation:
Bagirova H.V., Kaletnik E.I., Kim E.I., Bibik E.E., Pastuhova D.А., Tarbaeva N.V., Urusova L.S., Eremkina A.K., Mokrysheva N.G. Typical tumors in multiple parathyroid gland lesions in a patient with MEN-1 syndrome. Clinical and experimental thyroidology. 2024;20(3):21-28. (In Russ.) https://doi.org/10.14341/ket12811
JATS XML
Контент доступен под лицензией Creative Commons Attribution-NonCommercial-NoDerivatives 4.0 International License (CC BY-NC-ND 4.0).































