Preview

Клиническая и экспериментальная тиреоидология

Расширенный поиск

Тиреотропинома — опыт 20-летнего наблюдения

https://doi.org/10.14341/ket12430

Аннотация

Тиреотропинома — редкая опухоль гипофиза, являющаяся причиной развития синдрома тиреотоксикоза вследствие гиперпродукции тиреотропного гормона (ТТГ). В отечественной литературе за последние 10 лет описан один случай тиреотропиномы у ребенка, четыре случая ТТГ-продуцирующей аденомы гипофиза у женщин и только один — у мужчины. В статье представлен уникальный клинический случай 20-летней истории наблюдения больного с тиреотропиномой. Редкость данного заболевания привела к тому, что для постановки правильного диагноза потребовалось более 10 лет, даже после обнаружения сочетания аденомы гипофиза и тиреотоксикоза диагноз тиреотропиномы был установлен только через 6 лет. Категорический отказ пациента от нейрохирургической операции, непереносимость терапии аналогами соматостатина, низкий комплаенс привели к длительной персистенции тиреотоксикоза. Отсутствие зрительных дефектов, гипопитуитаризма, головных болей подтверждает данные о медленном росте ТТГ-секретирующих аденом гипофиза, даже при крупных размерах последних. Длительное влияние повышенного уровня ТТГ привело к развитию диффузного зоба с компрессией органов шеи, необходимости выполнения оперативного лечения щитовидной железы. После тиреоидэктомии у пациента с ранее диагностированным сахарным диабетом 2 типа отмечается стойкая нормогликемия, что должно привлечь внимание эндокринологов к поиску причин вторичной гипергликемии. Длительная персистенция тиреотоксикоза привела к развитию сердечной патологии в виде кардиомиопатии и фибрилляции предсердий, сохранившейся и после полного удаления щитовидной железы. Данный факт является главным аргументом в пользу своевременного радикального лечения пациентов с тиреотропиномами для устранения тиреотоксикоза и достижения стойкого эутиреоза.

Об авторах

Дина Владимировна Реброва
Клиника высоких медицинских технологий им. Н.И. Пирогова Санкт-Петербургского государственного университета
Россия

Реброва Дина Владимировна, врач-эндокринолог, кандидат медицинских наук

190103, Санкт-Петербург, набережная реки Фонтанки, д. 154

eLibrary SPIN: 6284-9008


Конфликт интересов:

Автор декларирует отсутствие явных и потенциальных конфликтов интересов, связанных с публикацией настоящей статьи.



Илья Валерьевич Слепцов
Клиника высоких медицинских технологий им. Н.И. Пирогова Санкт-Петербургского государственного университета
Россия

Слепцов Илья Валерьевич, доктор медицинских наук, профессор кафедры хирургии с курсом хирургической эндокринологии Института усовершенствования врачей, главный специалист 

Санкт-Петербург

eLibrary SPIN: 2481-4331


Конфликт интересов:

Автор декларирует отсутствие явных и потенциальных конфликтов интересов, связанных с публикацией настоящей статьи.



Роман Анатольевич Черников
Клиника высоких медицинских технологий им. Н.И. Пирогова Санкт-Петербургского государственного университета
Россия

Черников Роман Анатольевич, доктор медицинских наук, заведующий отделением эндокринологии и эндокринной хирургии

Санкт-Петербург

eLibrary SPIN: 7093-1088


Конфликт интересов:

Автор декларирует отсутствие явных и потенциальных конфликтов интересов, связанных с публикацией настоящей статьи.



Анна Алексеевна Успенская
Клиника высоких медицинских технологий им. Н.И. Пирогова Санкт-Петербургского государственного университета
Россия

Успенская Анна Алексеевна, хирург-эндокринолог

Санкт-Петербург

 


Конфликт интересов:

Автор декларирует отсутствие явных и потенциальных конфликтов интересов, связанных с публикацией настоящей статьи.



Владимир Федорович Русаков
Клиника высоких медицинских технологий им. Н.И. Пирогова Санкт-Петербургского государственного университета
Россия

Русаков Владимир Федорович, кандидат медицинских наук, эндокринолог

Санкт-Петербург

eLibrary SPIN: 1345-3530


Конфликт интересов:

Автор декларирует отсутствие явных и потенциальных конфликтов интересов, связанных с публикацией настоящей статьи.



Леонид Михайлович Краснов
Клиника высоких медицинских технологий им. Н.И. Пирогова Санкт-Петербургского государственного университета
Россия

Краснов Леонид Михайлович, доктор медицинских наук, профессор

Санкт-Петербург


Конфликт интересов:

Автор декларирует отсутствие явных и потенциальных конфликтов интересов, связанных с публикацией настоящей статьи.



Елисей Александрович Федоров
Клиника высоких медицинских технологий им. Н.И. Пирогова Санкт-Петербургского государственного университета
Россия

Федоров Елисей Александрович, кандидат медицинских наук, хирург-эндокринолог

Санкт-Петербург

eLibrary SPIN: 5673-2633


Конфликт интересов:

Автор декларирует отсутствие явных и потенциальных конфликтов интересов, связанных с публикацией настоящей статьи



Илья Владимирович Саблин
Клиника высоких медицинских технологий им. Н.И. Пирогова Санкт-Петербургского государственного университета
Россия

Саблин Илья Владимирович, хирург-эндокринолог

Санкт-Петербург

eLibrarySPIN: 5479-0942


Конфликт интересов:

Автор декларирует отсутствие явных и потенциальных конфликтов интересов, связанных с публикацией настоящей статьи



Мария Сергеевна Ишейская
Клиника высоких медицинских технологий им. Н.И. Пирогова Санкт-Петербургского государственного университета
Россия

Ишейская Мария Сергеевна, врач-эндокринолог

Санкт-Петербург


Конфликт интересов:

Автор декларирует отсутствие явных и потенциальных конфликтов интересов, связанных с публикацией настоящей статьи



Ирина Владимировна Оловянишникова
Тольяттинская городская клиническая больница №1
Россия

Оловянишникова Ирина Владимировна, заведующий эндокринным отделением

Тольятти


Конфликт интересов:

Автор декларирует отсутствие явных и потенциальных конфликтов интересов, связанных с публикацией настоящей статьи



Юрий Николаевич Федотов
Клиника высоких медицинских технологий им. Н.И. Пирогова Санкт-Петербургского государственного университета
Россия

Федотов Юрий Николаевич, доктор медицинских наук, профессор

Санкт-Петербург


Конфликт интересов:

Автор декларирует отсутствие явных и потенциальных конфликтов интересов, связанных с публикацией настоящей статьи



Александр Николаевич Бубнов
Клиника высоких медицинских технологий им. Н.И. Пирогова Санкт-Петербургского государственного университета
Россия

Бубнов Александр Николаевич доктор медицинских наук, профессор

Санкт-Петербург


Конфликт интересов:

Автор декларирует отсутствие явных и потенциальных конфликтов интересов, связанных с публикацией настоящей статьи



Список литературы

1. Beck-Peccoz P, Brucker-Davis F, Persani L, et al. Thyrotropin-secreting pituitary tumors. Endocr Rev. 1996;17(6):610–638. doi: 10.1210/edrv-17-6-610.

2. Onnestam L, Berinder K, Burman P, et al. National incidence and prevalence of TSH-secreting pituitary adenomas in Sweden. J Clin Endocrinol Metab. 2013;98(2):626−635. doi: 10.1210/jc.2012-3362.

3. Brown RL, Muzzafar T, Wollman R, et al. A pituitary carcinoma secreting TSH and prolactin: a non-secreting adenoma gone awry. Eur J Endocrinol. 2006;154(5):639−643. doi: 10.1530/eje.1.02141.

4. Jailer JW, Holub DA. Remission of Graves’ disease following radiotherapy of a pituitary neoplasm. Am J Med. 1960;28(3):497−500. doi: 10.1016/0002-9343(60)90181-9.

5. Beck-Peccoz P, Lania A, Persani L. TSH-producing adenomas. In: Jameson JL, Degroot LJ, editors. Endocrinology. 7th ed. USA: W.B. Saunders Pub.; 2015. Р. 266−274.

6. Мазеркина Н.А., Трунин Ю.Ю., Горелышев С.К., и др. Тиреотропинома у ребенка: описание клинического случая и обзор литературы // Вопросы нейрохирургии им. Н.Н. Бурденко. — 2012. — Т.76. — №5. — C. 63−69.

7. Пржиялковская Е.Г., Газизова Д.О., Григорьев А.Ю., и др. Тиреотропинома: трудности дифференциальной диагностики (клинический случай) // Клиническая и экспериментальная тиреоидология. — 2011. — Т.7. — №2. — C. 68−73. doi: 10.14341/ket20117268-73.

8. Карапетян А.Р., Гормолысова Е.В., Галушко Е.В. Тиреотропинома. Описание двух клинических случаев // Клиническая и экспериментальная тиреоидология. — 2016. — Т.12. — №3. — С. 37−42. doi: 10.14341/ket2016337-42.

9. Петрик Г.Г., Космачева Е.Д., Полякова Ю.И., и др. Тиреотропинома: поздний диагноз и эффективность терапии // Проблемы эндокринологии. — 2017. — Т.63. — №1. — С. 39−45. doi: 10.14341/probl201763139-45.

10. Белякова Н.А., Васюткова О.А., Мухина Е.Б., и др. Тиреотропинома // Лечение и профилактика. — 2018. — Т.8. — №2. — С. 99−101.

11. Mouslech Z, Somali M, Sakali AK, et al. TSH-secreting pituitary adenomas treated by gamma knife radiosurgery: our case experience and a review of the literature. Hormones (Athens). 2016;15(1):122−128. doi: 10.14310/horm.2002.1640.

12. Ross DS, Burch HB, Cooper DS, et al. American Thyroid Association Guidelines for Diagnosis and Management of Hyperthyroidism and Other Causes of Thyrotoxicosis. Thyroid. 2016;26(10):1343−1421. doi: 10.1089/thy.2016.0229.

13. Beck-Peccoz P, Persani L, Mannavola D, et al. Pituitary tumours: TSH-secreting adenomas. Best Pract Res Clin Endocrinol Metab. 2009;23(5):597−606. doi: 10.1016/j.beem.2009.05.006.

14. Beck-Peccoz P, Lania A, Beckers A, et al. 2013 European Thyroid Association guidelines for the diagnosis and treatment of thyrotropin-secreting pituitary tumors. Eur Thyroid J. 2013;2(2):76−82. doi: 10.1159/000351007.

15. Corbetta S, Pizzocaro A, Peracchi M, et al. Multiple endocrine neoplasia type 1 in patients with recognized pituitary tumours of different types. Clin Endocrinol (Oxf). 1997;47(5):507−512. doi: 10.1046/j.1365-2265.1997.3311122.x.

16. Socin HV, Chanson P, Delemer B, et al: The changing spectrum of TSH-secreting pituitary adenomas: diagnosis and management in 43 patients. Eur J Endocrinol. 2003;148(4):433–442. doi: 10.1530/eje.0.1480433.

17. Daly AF, Tichomirowa MA, Petrossians P, et al. Clinical characteristics and therapeutic responses in patients with germ-line AIP mutations and pituitary adenomas: an international collaborative study. J Clin Endocrinol Metab. 2010;95(11):373−383. doi: 10.1210/jc.2009-2556.

18. Фадеев В.В. По материалам клинических рекомендаций Европейской тиреоидной ассоциации по диагностике и лечению ТТГ-продуцирующих опухолей гипофиза // Клиническая и экспериментальная тиреоидология. — 2016. — Т.12. — №4. — С. 4−10. doi: 10.14341/ket20164.

19. Шестакова Т.П., Комердус И.В. Диагностика редких заболеваний щитовидной железы // Русский медицинский журнал. — 2015. — Т.23. — №8. — С. 458–460.

20. Калдымова В.А., Кияев А.В., Тюльпаков А.Н. Синдром резистентности к тиреоидным гормонам // Клиническая и экспериментальная тиреоидология. — 2013. — Т.9. — №1. — C. 51–53. doi: 10.14341/ket20139151-53.

21. Beck-Peccoz P, Persani L, Faglia G. Glycoprotein hormone α-subunit in pituitary adenomas. Trends Endocrinol Metab. 1992;3(2):41–45. doi: 10.1016/1043-2760(92)90041-x.

22. Nazato DM, Abucham J. Diagnosis and treatment of TSH-secreting adenomas: review of a longtime experience in a reference center. J Endocrinol Invest. 2018;41(4):447−454. doi: 10.1007/s40618-017-0770-3.

23. Malchiodi E, Profka E, Ferrante E, et al. Thyrotropin-secreting pituitary adenomas: outcome of pituitary surgery and irradiation. J Clin Endocrinol Metab. 2014;99(6):2069–2076. doi: 10.1210/jc.2013-4376.

24. Socin HV, Beck-Peccoz P, Brucker-Davis F, et al. Thyrotropin-secreting pituitary tumors. Endocr Rev. 1996;17(6):610–638. doi: 10.1210/edrv-17-6-610.

25. Wallace IR, Healy E, Cooke RS, et al. TSH-secreting pituitary adenoma: benefits of pre-operative octreotide. Endocrinol Diabetes Metab Case Rep. 2015;2015:150007. doi: 10.1530/EDM-15-0007.

26. Rimareix F, Grunenwald S, Vezzosi D, et al. Primary medical treatment of thyrotropin-secreting pituitary adenomas by first generation somatostatin analogs: a case study of seven patients. Thyroid. 2015;25(8):877–882. doi: 10.1089/thy.2015.0041.

27. Fukuhara N, Horiguchi K, Nishioka H, et al. Short-term preoperative octreotide treatment for TSH-secreting pituitary adenoma. Endocr J. 2015;62(1):21−27. doi: 10.1507/endocrj.EJ14-0118.


Дополнительные файлы

1. Рисунок 2. Сцинтиграфия щитовидной железы, 2016 г.
Тема
Тип Исследовательские инструменты
Посмотреть (352KB)    
Метаданные ▾
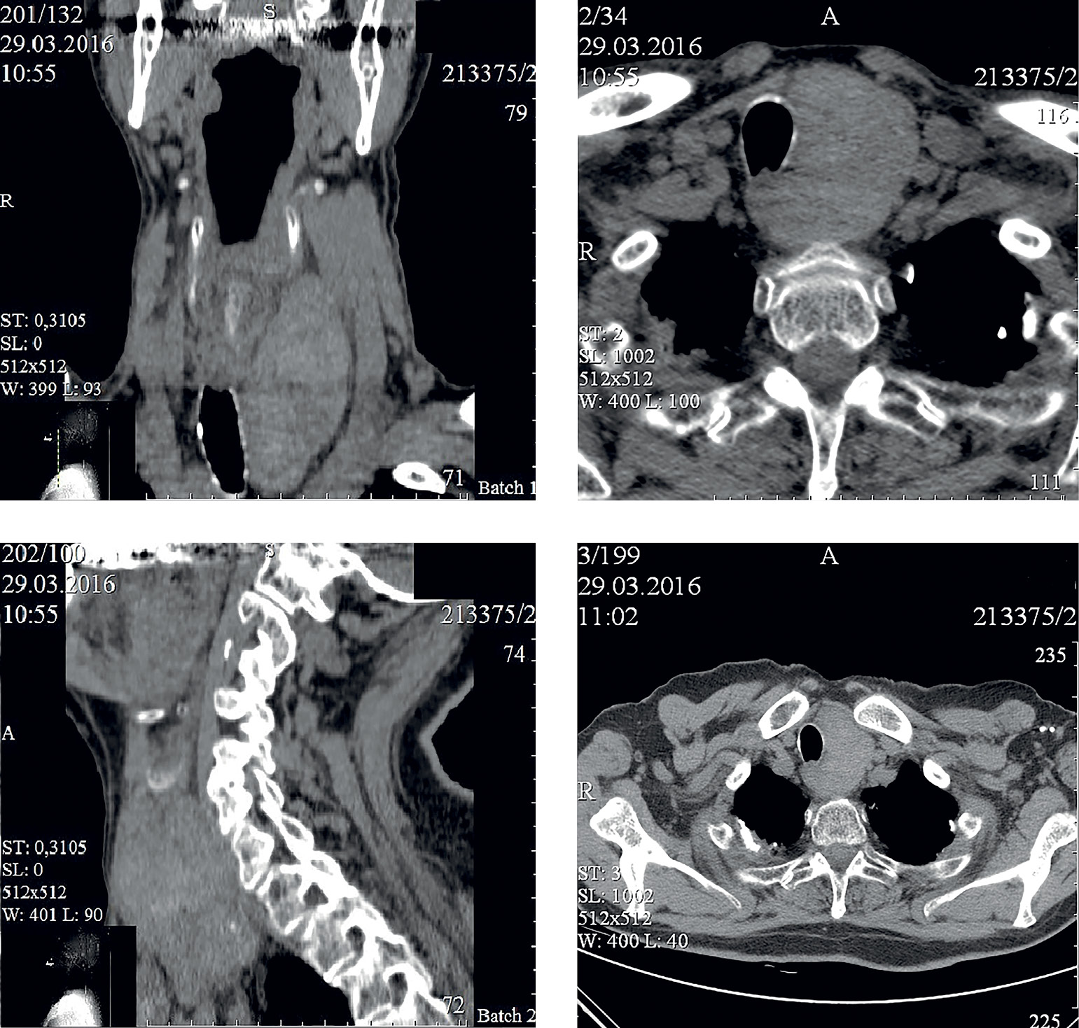
2. Рисунок 4. Компьютерная томография органов шеи, 2016 г.
Тема
Тип Исследовательские инструменты
Посмотреть (447KB)    
Метаданные ▾
3. Рисунок 1. Магнитно-резонансная томография хиазмально-селлярной области, 2010 г. Стрелкой отмечена аденома гипофиза.
Тема
Тип Исследовательские инструменты
Посмотреть (792KB)    
Метаданные ▾
4. Рисунок 3. Магнитно-резонансная томография хиазмально-селлярной области, 2016 г. Выделена аденома гипофиза.
Тема
Тип Исследовательские инструменты
Посмотреть (288KB)    
Метаданные ▾

Рецензия

Для цитирования:


Реброва Д.В., Слепцов И.В., Черников Р.А., Успенская А.А., Русаков В.Ф., Краснов Л.М., Федоров Е.А., Саблин И.В., Ишейская М.С., Оловянишникова И.В., Федотов Ю.Н., Бубнов А.Н. Тиреотропинома — опыт 20-летнего наблюдения. Клиническая и экспериментальная тиреоидология. 2020;16(2):31-41. https://doi.org/10.14341/ket12430

For citation:


Rebrova D.V., Sleptsov I.V., Chernikov R.A., Uspenskaya A.A., Rusakov V.F., Krasnov L.M., Fedorov E.A., Sablin I.V., Isheyskaya M., Olovyanishnikova I.V., Fedotov Yu.N., Bubnov A.N. TSH secreting pituitary tumor — an experience of 20 years follow-up. Clinical and experimental thyroidology. 2020;16(2):31-41. (In Russ.) https://doi.org/10.14341/ket12430

Просмотров: 3755

JATS XML

ISSN 1995-5472 (Print)
ISSN 2310-3787 (Online)