Роль искусственного интеллекта в дифференциальной ультразвуковой диагностике узловых образований щитовидной железы
https://doi.org/10.14341/ket12730
Аннотация
Достижения в разработке средств обработки медицинских изображений дают возможность выделять клинически значимые характеристики, ранее не доступные классическим методам медицинской визуализации. Огромным потенциалом для анализа медицинских изображений обладает ультразвуковая диагностика узловых образований щитовидной железы. В статье представлен обзор существующих систем классификаций стратификации риска злокачественности узловых образований щитовидной железы при ультразвуковом исследовании TIRADS (Thyroid Imaging Reporting and Data System).
Ключевые слова
Об авторах
А. А. ТрухинРоссия
Трухин Алексей Андреевич; eLibrary SPIN: 4398-9536
117036 Москва, ул. Дм. Ульянова, д. 11, к. 2
Конфликт интересов:
Авторы декларируют отсутствие явных и потенциальных конфликтов интересов, связанных с публикацией настоящей статьи
С. М. Захарова
Россия
Захарова Светлана Михайловна - кандидат медицинских наук; eLibrary SPIN-код: 9441-4035.
Москва
Конфликт интересов:
Авторы декларируют отсутствие явных и потенциальных конфликтов интересов, связанных с публикацией настоящей статьи
М. Е. Дунаев
Россия
Дунаев Максим Евгеньевич
Москва
Конфликт интересов:
Авторы декларируют отсутствие явных и потенциальных конфликтов интересов, связанных с публикацией настоящей статьи
М. П. Исаева
Россия
Исаева Мария Петровна; eLibrary SPIN: 6205-5170.
Москва
Конфликт интересов:
Авторы декларируют отсутствие явных и потенциальных конфликтов интересов, связанных с публикацией настоящей статьи
А. А. Гармаш
Россия
Гармаш Александр Александрович
Москва
Конфликт интересов:
Авторы декларируют отсутствие явных и потенциальных конфликтов интересов, связанных с публикацией настоящей статьи
Е. А. Трошина
Россия
Трошина Екатерина Анатольевна - доктор медицинских наук, профессор, член-корр. РАН; eLibrary SPIN: 8821-8990.
Москва
Конфликт интересов:
Авторы декларируют отсутствие явных и потенциальных конфликтов интересов, связанных с публикацией настоящей статьи
Список литературы
1. Бельцевич Д.Г., Ванушко В.Э., Мельниченко Г.А., Румянцев П.О., Фадеев В.В. Клинические рекомендации Российской ассоциации эндокринологов по диагностике и лечению (много) узлового зоба у взрослых (2015 год) // Эндокринная хирургия. — 2016. — Т. 10. — №1. — С. 5-12. doi: https://doi.org/10.14341/serg201615-12
2. Guth S, Theune U, Aberle J, et al. Very high prevalence of thyroid nodules detected by high frequency (13 MHz) ultrasound examination. Eur J Clin Invest. 2009;39(8):699-706. doi: https://doi.org/10.1111/j.1365-2362.2009.02162.x
3. Злокачественные новообразования в России в 2020 году (заболеваемость и смертность) / Под ред. Каприна А.Д., Старинского В.В., Петровой Г.В. — М.: МНИОИ им. П.А. Герцена; 2021. – 252 с.
4. Haugen BR, Alexander EK, Bible KC, et al. 2015 American Thyroid Association management guidelines for adult patients with thyroid nodules and differentiated thyroid cancer: What is new and what has changed? Cancer. 2017; 123(3):372-381. doi: https://doi.org/10.1002/cncr.30360
5. Russ G. Risk stratification of thyroid nodules on ultrasonography with the French TI-RADS: description and reflections. Ultrasonography. 2016;35(1):25-38. doi: https://doi.org/10.14366/usg.15027
6. Horvath E, Majlis S, Rossi R, et al. An Ultrasonogram reporting system for thyroid nodules stratifying cancer risk for clinical management. J Clin Endocrinol Metab. 2009;94(5):1748-1751. doi: https://doi.org/10.1210/jc.2008-1724
7. Russ G, Royer B, Bigorgne C, et al. Prospective evaluation of thyroid imaging reporting and data system on 4550 nodules with and without elastography. Eur J Endocrinol. 2013;168(5):649-655. doi: https://doi.org/10.1530/EJE-12-0936
8. Na DG, Baek JH, Sung JY, et al. Thyroid imaging reporting and data system risk stratification of thyroid nodules: Categorization based on solidity and echogenicity. Thyroid. 2016;26(4):562-572. doi: https://doi.org/10.1089/thy.2015.0460
9. Haugen BR, Alexander EK, Bible KC, et al. 2015 American Thyroid Association Management Guidelines for Adult Patients with Thyroid Nodules and Differentiated Thyroid Cancer: The American Thyroid Association Guidelines Task Force on Thyroid Nodules and Differentiated Thyroid Cancer. Thyroid. 2016;26(1):1-133. doi: https://doi.org/10.1089/thy.2015.0020
10. Gharib H, Papini E, Garber JR, et al. American Association of Clinical Endocrinologists, American College of Endocrinology, and Associazione Medici Endocrinologi Medical Guidelines for clinical practice for the diagnosis and management of thyroid nodules — 2016 update appendix. Endocr Pract. 2016;22(1):1-60. doi: https://doi.org/10.4158/EP161208.GL
11. Tessler FN, Middleton WD, Grant EG. Thyroid Imaging Reporting and Data System (TI-RADS): A User’s Guide. Radiology. 2018;287(1):29-36. doi: https://doi.org/10.1148/radiol.2017171240
12. Persichetti A, Di Stasio E, Coccaro C, et al. Inter- and Intraobserver Agreement in the Assessment of Thyroid Nodule Ultrasound Features and Classification Systems: A Blinded Multicenter Study. Thyroid. 2020;30(2):237-242. doi: https://doi.org/10.1089/thy.2019.0360
13. Choi, S.H.; Kim, E.K.; Kwak, J.Y.; Kim, M.J.; Son, E.J. Interobserver and intraobserver variations in ultrasound assessment of thyroid nodules. Thyroid 2010, 20, 167–172.
14. Eoin F. Cleere, Matthew G. Davey, Shane O’Neil, Mel Corbett, John P O’Donnell, Sean Hacking Ivan J. Keogh, Aoife J. Lowery, Michael J. Kerin. Radiomic Detection of Malignancy within Thyroid Nodules Using Ultrasonography—A Systematic Review and Meta-Analysis Diagnostics 2022 Mar 24;12(4):794
15. Havaei M, Davy A, Warde-Farley D, et al. Brain tumor segmentation with Deep Neural Networks. Med Image Anal. 2017;35:18-31. doi: https://doi.org/10.1016/j.media.2016.05.004
16. Cheng C-H, Liu W-X. Identifying Degenerative Brain Disease Using Rough Set Classifier Based on Wavelet Packet Method. J Clin Med. 2018;7(6):124. doi: https://doi.org/10.3390/jcm7060124
17. Hržić F, Štajduhar I, Tschauner S, et al. Local-Entropy Based Approach for X-Ray Image Segmentation and Fracture Detection. Entropy. 2019;21(4):338. doi: https://doi.org/10.3390/e21040338
18. Remonti LR, Kramer CK, Leitão CB, et al. Thyroid Ultrasound Features and Risk of Carcinoma: A Systematic Review and Meta-Analysis of Observational Studies. Thyroid. 2015;25(5):538-550. doi: https://doi.org/10.1089/thy.2014.0353
19. Virmani V, Hammond I. Sonographic Patterns of Benign Thyroid Nodules: Verification at Our Institution. Am J Roentgenol. 2011;196(4):891-895. doi: https://doi.org/10.2214/AJR.10.5363
20. Brito JP, Gionfriddo MR, Al Nofal A, et al. The Accuracy of Thyroid Nodule Ultrasound to Predict Thyroid Cancer: Systematic Review and Meta-Analysis. J Clin Endocrinol Metab. 2014;99(4):1253-1263. doi: https://doi.org/10.1210/jc.2013-2928
21. Nguyen DT, Kang JK, Pham TD, et al. Ultrasound Image-Based Diagnosis of Malignant Thyroid Nodule Using Artificial Intelligence. Sensors. 2020;20(7):1822. doi: https://doi.org/10.3390/s20071822
22. Varga B, Farkas J, Malis A, et al. RFC 9037. Deterministic Networking (DetNet) Data Plane: MPLS over IEEE 802.1 Time-Sensitive Networking (TSN) [Internet]. 2021. Available from: https://www.rfc-editor.org/info/rfc9037
23. Роннебергер О., Фишер Ф., Брокс Т. U-Net: сверточные сети для сегментации биомедицинских изображений. 2015. Доступно по: https://github.com/qubvel/segmentation_models.pytorch#examples
24. Zhou Z, Siddiquee MR, Tajbakhsh N, Liang J. UNet++: A Nested U-Net Architecture for Medical Image Segmentation. Arizona State University. 2018. Available from: https://arxiv.org/pdf/1807.10165.pdf
25. Peng S, Liu Y, Lv W, et al. Deep learning-based artificial intelligence model to assist thyroid nodule diagnosis and management: a multicentre diagnostic study. Lancet Digit Heal. 2021;3(4):e250-e259. doi: https://doi.org/10.1016/S2589-7500(21)00041-8
26. Fan T, Wang G, Li Y, Wang H. MA-Net: A Multi-Scale Attention Network for Liver and Tumor Segmentation. IEEE Access. 2020;8(4):179656-179665. doi: https://doi.org/10.1109/ACCESS.2020.3025372
27. Chaurasia A, Culurciello E. LinkNet: Exploiting Encoder Representations for Efficient Semantic Segmentation, 2017. Available from: https://arxiv.org/abs/1707.03718
Дополнительные файлы
|
|
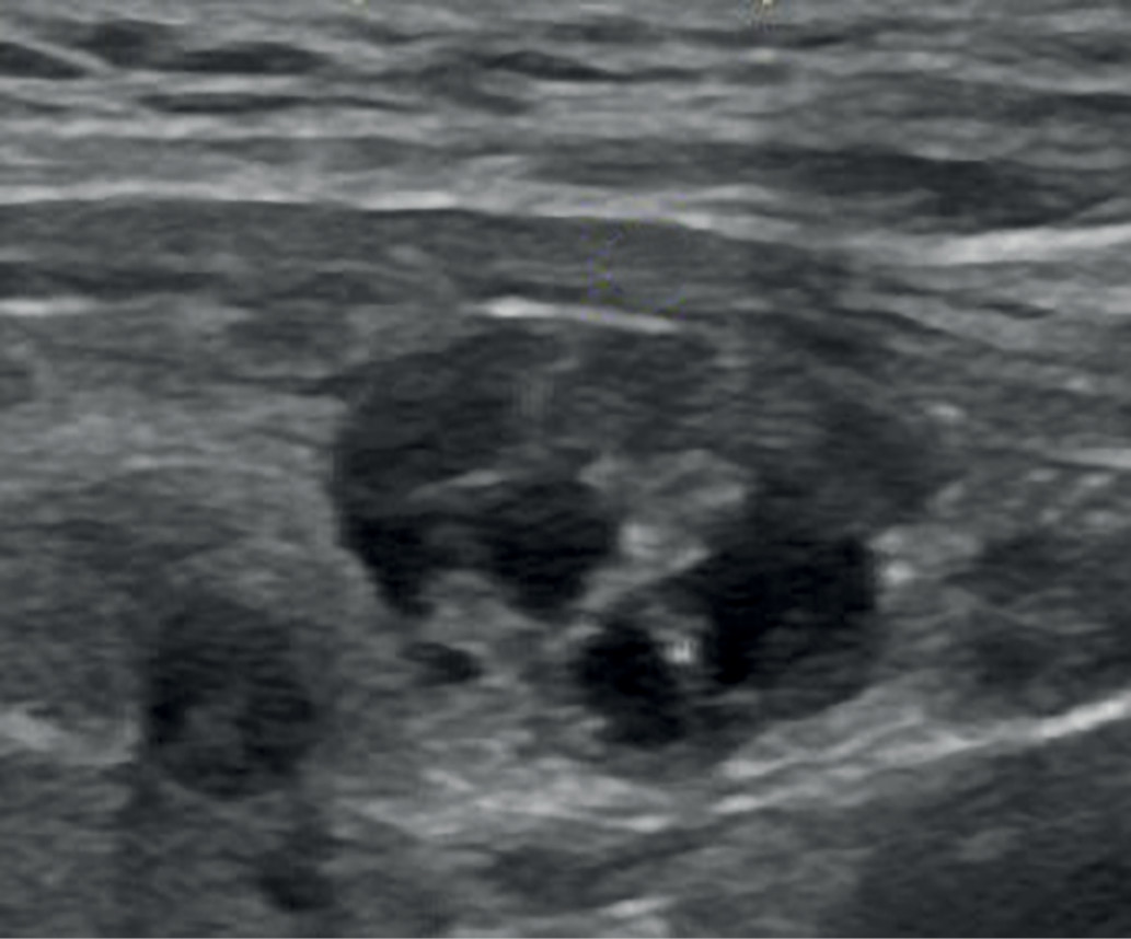
1. Рис. 1. Анэхогенное образование ЩЖ с перегородками (EU-TIRADS 2). | |
| Тема | ||
| Тип | Исследовательские инструменты | |
Посмотреть
(102KB)
|
Метаданные ▾ | |
|
|
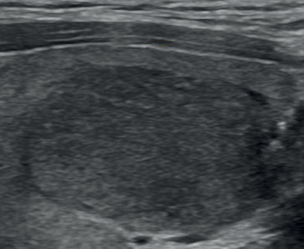
2. Рис. 2. Изоэхогенное образование ЩЖ с ровными контурами (EU-TIRADS 3). | |
| Тема | ||
| Тип | Исследовательские инструменты | |
Посмотреть
(103KB)
|
Метаданные ▾ | |
|
|
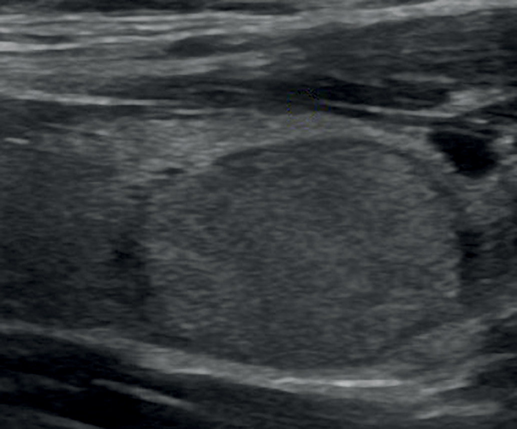
3. Рис. 3. Образование ЩЖ пониженной эхогенности с ровными контурами (EU-TIRADS 4). | |
| Тема | ||
| Тип | Исследовательские инструменты | |
Посмотреть
(103KB)
|
Метаданные ▾ | |
|
|
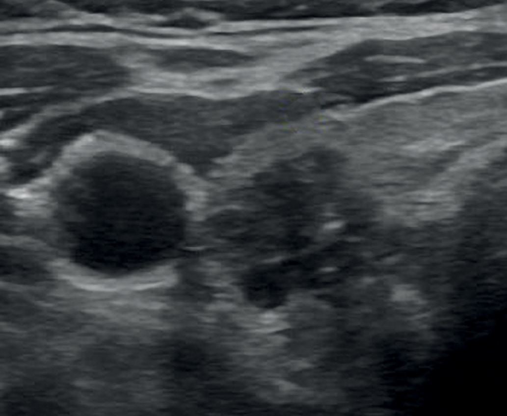
4. Рис. 4. Гипоэхогенное образование ЩЖ с неровными контурами и микрокальцинатами (EU-TIRADS 5). | |
| Тема | ||
| Тип | Исследовательские инструменты | |
Посмотреть
(100KB)
|
Метаданные ▾ | |
|
|
5. Рис. 5. Маска узлового образования щитовидной железы, категория 5 EU-TIRADS. | |
| Тема | ||
| Тип | Исследовательские инструменты | |
Посмотреть
(115KB)
|
Метаданные ▾ | |
Рецензия
Для цитирования:
Трухин А.А., Захарова С.М., Дунаев М.Е., Исаева М.П., Гармаш А.А., Трошина Е.А. Роль искусственного интеллекта в дифференциальной ультразвуковой диагностике узловых образований щитовидной железы. Клиническая и экспериментальная тиреоидология. 2022;18(2):32-38. https://doi.org/10.14341/ket12730
For citation:
Trukhin A.A., Zakharova S.M., Dunaev M.Y., Isaeva M.P., Garmash A.A., Troshina E.A. The role of artificial intelligence in the differential thyroid nodules ultrasound diagnostics. Clinical and experimental thyroidology. 2022;18(2):32-38. (In Russ.) https://doi.org/10.14341/ket12730
Контент доступен под лицензией Creative Commons Attribution-NonCommercial-NoDerivatives 4.0 International License (CC BY-NC-ND 4.0).
































