Компрессионный синдром при гигантском эутиреоидном зобе
https://doi.org/10.14341/ket12752
Аннотация
С учетом широкого распространения йодного дефицита, диффузный и диффузно-узловой эутиреоидный зоб является актуальной проблемой. Зоб крупных размеров нуждается в освещении с позиции как возможных осложнений для пациента, включающих снижение качества жизни и компрессионный синдром, так и сложности хирургического лечения, принимая во внимание техническую сложность операции и высокую вероятность развития интраоперационных и отдаленных осложнений. В статье описан клинический случай пациента, поступившего в отделение эндокринологии с диагнозом «диффузно-узловой зоб 2 степени» для обследования с жалобами на огромное деформирующее контуры шеи образование, затрудненное дыхание при ходьбе и во время сна. Из анамнеза известно, что пациент наблюдается около 10 лет у эндокринолога по поводу узлового зоба. Пациенту было неоднократно предложено оперативное лечение, от которого он категорически отказывался. В отделении эндокринологии пациенту было проведено комплексное обследование по оценке состояния и функции щитовидной железы, а также выявлению возможных осложнений.
Об авторах
Т. Ю. ДемидоваДемидова Татьяна Юльевна, доктор медицинских наук, профессор
Москва
eLibrary SPIN: 9600-9796
А. С. Кочина
Россия
Кочина Анна Сергеевна, ассистент кафедры эндокринологии лечебного факультета
117997, Москва, ул. Островитянова, д. 1
Х. Х. Иброхимов
Иброхимов Худойберди Хусанжон угли, клинический ординатор
Москва
А. П. Халилаева
Халилаева Айгул Парахат кызы, клинический ординатор
Москва
Список литературы
1. Куринова А.Н., Никитина Т.В., Трухина Д.А., и др. Становление эндокринологии Древнего мира // Проблемы Эндокринологии. — 2022. — Т. 68. — №1. — С. 4-7. doi: https://doi.org/10.14341/probl12878
2. Alkabban FM, Patel BC. Nontoxic Goiter. 2022 Aug 8. In: StatPearls [Internet]. Treasure Island (FL): StatPearls Publishing; 2023.
3. Hetzel B. Iodine deficiency disorders (IDD) and their eradication. Lancet. 1983;322(8359):1126-1129. doi: https://doi.org/10.1016/S0140-6736(83)90636-0
4. Zimmermann MB, Jooste PL, Pandav CS. Iodinedeficiency disorders. Lancet. 2008;372(9645):1251-1262. doi: https://doi.org/10.1016/S0140-6736(08)61005-3
5. Hintze G, Koebberling J. Treatment of iodine deficiency goiter with iodine, levothyroxine or a combination of both. Thyroidology. 1992;(4):37-40.
6. Gartner R, Dugrillon A, Bechtner G. Evidence that iodolactones are the mediators of growth inhibition by iodine on the thyroid. Acta Med Austriaca. 1996;23(1-2):47-51.
7. Российская ассоциация эндокринологов. Российская ассоциация врачей ультразвуковой диагностики. Заболевания и состояния, связанные с дефицитом йода. Клинические рекомендации. 2020 г. Доступно по: https://rae-org.ru/system/files/documents/pdf/zabolevaniya_i_sostoyaniya_svyazannye_s_deficitom_yoda.pdf Ссылка активна на 15.07.2023.
8. Carlé A, Krejbjerg A, Laurberg P. Epidemiology of nodular goitre. Influence of iodine intake. Best Pract Res Clin Endocrinol Metab. 2014;28(4):465-479. doi: https://doi.org/10.1016/j.beem.2014.01.001
9. Unlu MT, Kostek M, Aygun N, et al. Non-Toxic Multinodular Goiter: From Etiopathogenesis to Treatment. Sisli Etfal Hastan Tip Bul. 2022;56(1):21-40. doi: https://doi.org/10.14744/SEMB.2022.56514
10. Troshina EA, Platonova NM, Panfilova EA, Panfilov KO. The analytical review of monitoring of the basic epidemiological characteristics of iodine deficiency disorders among the population of the Russian Federation for the period 2009—2015. Problems of Endocrinology. 2018;64(1):21-37. doi: https://doi.org/10.14341/probl9308
11. Магомедов А.Г., Дибиров А.Д., Абдулхаликов А.С., и др. Гигантский зоб в практике эндокринного хирурга (описание серий наблюдений) // Вестник ДГМА. — 2014. — Т. 3. — №12. — С. 66-68.
12. Anders HJ. Compression syndromes caused by substernal goitres. Postgrad Med J. 1998;74(872):327-329. doi: https://doi.org/10.1136/pgmj.74.872.327
13. Din WBM, Farrar E, Liu C, Moor J. Cough syncope and tracheal compression secondary to a retrosternal goitre: looking for a pulmonary embolism. BMJ Case Rep. 2019;12(4):e228997. doi: https://doi.org/10.1136/bcr-2018-228997
14. Abdullah AS, Bahjat AS, Mohammed AA. Huge toxic goiter extending to the posterior mediastinum; Case report with literature review. Int J Surg Case Rep. 2019;62(1):69-72. doi: https://doi.org/10.1016/j.ijscr.2019.08.016
15. Anders HJ. Compression syndromes caused by substernal goitres. Postgrad Med J. 1998;74(872):327-329. doi: https://doi.org/10.1136/pgmj.74.872.327
16. Hamdan A-L, Jabbour J, Al Zaghal Z, Azar ST. Goiter and Laryngopharyngeal Reflux. ISRN Endocrinol. 2012;2012(1):1-6. doi: https://doi.org/10.5402/2012/208958
17. Agger-Nielsen H, Døssing H, Sørensen JR. Syncope due to giant goitre. Ugeskr Laeger. 2018;180(24):V01180048
18. Hauten P, Bleumink G, Hovens M, et al. Unexpected Complication of a Multinodular Goitre. Eur J Case Reports Intern Med. 2016;3(2):190-195. doi: https://doi.org/10.12890/2016_000363
19. McNeill CJ, Sinnott JD, Howlett D. Bilateral brachiocephalic vein compression: an unusual and rare presentation of multinodular goitre. BMJ Case Rep. 2016;3(2):bcr2016217074. doi: https://doi.org/10.1136/bcr-2016-217074
20. Manning PB, Thompson NW. Bilateral phrenic nerve palsy associated with benign thyroid goiter. Acta Chir Scand. 1989;(155):429-430
21. Bellantone R, Lombardi CP, Bossola M, et al. Total thyroidectomy for management of benign thyroid disease: Review of 526 cases. World J Surg. 2002;26(12):1468-1471. doi: https://doi.org/10.1007/s00268-002-6426-1
22. Vetshev PS, Yankin PL, Zhivotov VA, et al. Risk factors and prognosis of voice disorders after surgical treatment of thyroid and parathyroid diseases. Pirogov Russian Journal of Surgery. 2019;(4):5-14. doi: https://doi.org/10.17116/hirurgia20190415
23. Belokonev VI, Pushkin SYu, Kovaleva ZV, et al. Safe thyroidectomy for thyroid and parathyroid diseases. Pirogov Russian Journal of Surgery. 2022;(6):62-71. doi: https://doi.org/10.17116/hirurgia202206162
24. Shulutko AM, Semikov VI, Gryaznov SE, et al. Risk of hypocalcemia after thyroid surgery. Pirogov Russian Journal of Surgery. 2015;(11):35-40. doi: https://doi.org/10.17116/hirurgia20151135-40
Дополнительные файлы
|
|
1. Рис. 1. Внешний вид области шеи пациента | |
| Тема | ||
| Тип | Исследовательские инструменты | |
Посмотреть
(323KB)
|
Метаданные ▾ | |
|
|
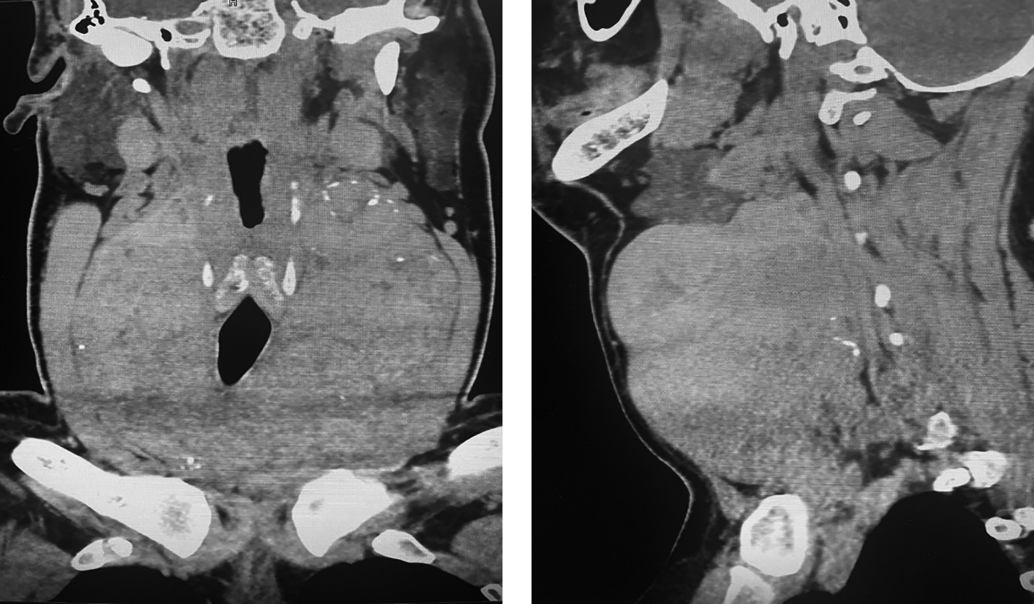
2. Рис. 2. Снимок компьютерной томографии | |
| Тема | ||
| Тип | Исследовательские инструменты | |
Посмотреть
(382KB)
|
Метаданные ▾ | |
Рецензия
Для цитирования:
Демидова Т.Ю., Кочина А.С., Иброхимов Х.Х., Халилаева А.П. Компрессионный синдром при гигантском эутиреоидном зобе. Клиническая и экспериментальная тиреоидология. 2022;18(4):14-19. https://doi.org/10.14341/ket12752
For citation:
Demidova T.Yu., Kochina A.S., Ibrokhimov Kh.Kh., Khalilaeva A.P. Compression syndrome in giant euthyroid goiter. Clinical and experimental thyroidology. 2022;18(4):14-19. (In Russ.) https://doi.org/10.14341/ket12752
Контент доступен под лицензией Creative Commons Attribution-NonCommercial-NoDerivatives 4.0 International License (CC BY-NC-ND 4.0).
































