Гидроперикард при гипотиреозе. Особенности клиники, диагностики и лечения
https://doi.org/10.14341/ket12778
Аннотация
ОБОСНОВАНИЕ. Дефицит тиреоидных гормонов отрицательно сказывается на состоянии сердечно-сосудистой системы, вызывая формирование «микседематозного сердца».
ЦЕЛЬ. Изучить особенности клиники, диагностики и лечения гидроперикарда при гипотиреозе.
МАТЕРИАЛЫ И МЕТОДЫ. Ретроспективно проанализирована частота и особенности клиники первичного гипотиреоза у 84 пациентов, выписанных из эндокринологического отделения ГБУЗ НСО ГНОКБ в 2017-2022 гг.
РЕЗУЛЬТАТЫ. Перикардиальный выпот зарегистрирован у 9 человек (10,7%). Массивный выпот с сепарацией листков перикарда от 30 до 50 мм и угрозой тампонады был у 4 из 9 пациентов. Даже при большом объеме перикардиального выпота классические симптомы, такие как одышка, ортопноэ, боль в груди, чувство наполнения отсутствовали или были слабо выражены. Потребовалась дифференциальная диагностика с заболеваниями, сопровождающимися накоплением жидкости в полости перикарда. Показатели тиреоидного статуса позволили связать гидроперикард с декомпенсацией или впервые возникшим гипотиреозом. Заместительная терапия тиреоидными гормонами привела к исчезновению симптомов гипотиреоза и уменьшению гидроперикарда. При высоком риске тампонады у 3 пациентов терапия была дополнена перикардиоцентезом. Представлено клиническое наблюдение успешного лечения тиреоидными гормонами в сочетании с проведением перикардиоцентеза тяжелого впервые выявленного гипотиреоза с массивным перикардиальным выпотом.
ЗАКЛЮЧЕНИЕ. Перикардиальный выпот при гипотиреозе встречался у 10,7% обследованных, что определяет необходимость проведения УЗИ сердца всем больным с гипотиреозом. Даже массивный выпот при гипотиреозе редко сопровождается симптомами сдавления окружающих тканей. Адекватная заместительная терапия нормализует уровень тиреоидных гормонов и способствует исчезновению гидроперикарда. При необходимости дифференциальной диагностики гидроперикарда или при опасности тампонады для разрешения выпота возможно выполнение перикардиоцентеза.
Об авторах
И. А. БондарьРоссия
Бондарь Ирина Аркадьевна, д.м.н., профессор
630091, г. Новосибирск, Красный проспект, 52
AuthorID: 155448
Конфликт интересов:
Авторы декларируют отсутствие явных и потенциальных конфликтов интересов, связанных с содержанием настоящей статьи
Л. И. Чесноченко
Россия
Чесноченко Людмила Ивановна, к.м.н.
Новосибирск
AuthorID: 473644
Конфликт интересов:
Авторы декларируют отсутствие явных и потенциальных конфликтов интересов, связанных с содержанием настоящей статьи
И. П. Краснопевцева
Россия
Краснопевцева Ирина Петровна, к.м.н.
Новосибирск
AuthorID: 1047129
Конфликт интересов:
Авторы декларируют отсутствие явных и потенциальных конфликтов интересов, связанных с содержанием настоящей статьи
Список литературы
1. Дедов И.И. Эндокринология: национальное руководство / Под ред. И.И. Дедова, Г.А. Мельниченко. — 2-е изд., перераб и доп. — М.: ГЭОТАР-Медиа, 2022. — 1112 с. — ISBN 978-5-9704-6751-0 //URL:https://www.rosmeddlib.ru/book/ISBN9785970467510.html
2. Бондарь И.А., Чесноченко Л.И., Зенкова Е.В., Краснопевцева И.П. Асцит при микседеме: клинический случай регресса асцита на фоне тиреоидной терапии // Эффективная фармакотерапия. — 2019. — Т. 15. — №25. — С. 12–18. doi: https://doi.org/10.33978/2307-3586-2019-15-25-12-18
3. Zondek H. Das Myxoedemherz [The myxedema heart] Minchen med.Wochenschr. 1918:43:1180-1182
4. Chahine J, Ala CK, Gentry JL, et al. Pericardial diseases in patients with hypothyroidism. Heart. 2019;0:1–7. doi: https://doi.org/10.1136/heartjnl-2018-314528
5. Kaur H, Chakwop Ngassa H, Elmenawi KA, Anil V, Gosal H, Mohammed L. Hypothyroidism-Related Cardiac Tamponade. Cureus. October 2021. doi: https://doi.org/10.7759/cureus.18611
6. Huang Y, Zhang J, Sun Y. Chronic massive pericardial effusion: a case report and literature review. J Int Med Res. 2020;48(11):030006052097309. doi: https://doi.org/10.1177/0300060520973091
7. Крючкова О.Н., Турна Э.Ю. Отечный синдром у больных гипотиреозом. Особенности диагностики и лечения // Крымский терапевтический журнал. — 2010. — №1(14). — С. 1–4.
8. Арутюнов Г.П., Палеев Ф.Н., Тарловская Е.И., и др. Перикардиты. Клинические рекомендации 2022. // Российский кардиологический журнал. 2023. — Т. 28. — №3. — С. 5398. doi: https://doi.org/10.15829/1560-4071-2023-5398
9. Guidelines for the diagnosis and management of pericardial diseases: The Task Force for the Diagnosis and Management of Pericardial Diseases of the European Society of Cardiology (ESC) Endorsed by: The European Association for Cardio-Thoracic Surgery (EACTS) // Eur Heart J 2015;36:2921–64 doi: https://doi.org/10.1093/eurheartj/ehv318
10. Бойцов С.А., Карпов Ю.А. Рациональная фармакотерапия заболеваний сердца и сосудов: Compendium / Под общей ред. С.А. Бойцова, Ю.А. Карпова. — М.: Литтерра, 2024. — 720 с. (Серия «Рациональная фармакотерапия»). doi: https://doi.org/10.33029/4235-0397-0-SSZ-2024-1-720
11. Борисов Д.В., Губаева Д.Н., Праскурничий Е.А. Использование гормонов щитовидной железы в лечении сердечно-сосудистых заболеваний: обзор литературы // Проблемы эндокринологии. — 2020. — Т. 66. — №3. — С. 6-14. https://doi.org/10.14341/probl12471
12. Chahine J, Ala CK, Gentry JL, Pantalone KM, Klein AL. Pericardial diseases in patients with hypothyroidism. Heart. 2019. doi: https://doi.org/10.1136/heartjnl-2018-314528
13. Mujuni D, Swantek C, Requena Amas C, Chatterjee T. Pericardial Effusion with Tamponade in Untreated Hypothyroidism. Am J Case Rep. 2022;24. doi: https://doi.org/10.12659/AJCR.938520
14. Wang J-L, Hsieh M-J, Lee C-H, et al. Hypothyroid Cardiac Tamponade: Clinical Features, Electrocardiography, Pericardial Fluid and Management. Am J Med Sci. 2010;340(4):276-281. doi: https://doi.org/10.1097/MAJ.0b013e3181e664c6
15. Максимова О.В., Чобитько В.Г. Гипотиреоидная кома. Клиническое наблюдение // Терапевтический архив. — 2021. — Т. 93. — №10. — С. 1217–1220. doi: https://doi.org/10.26442/00403660.2021.10.201080
16. Вернигородский В.С., Власенко М.В., Паламарчук А.В., и др. Терапевтические маски гипотиреоза // Практикующему эндокринологу. — 2018. — Т. 14. — №5. — С. 503-507. doi: https://doi.org/10.22141/2224-0721.14.5.2018.142688
17. Omar S, Hadj Taeib S, Kanoun F, et al. Erythrocyte abnormalities in thyroid dysfunction. Tunis Med. 2010;88 (11):783–788.
18. Петунина Н.А., Мартиросян Н.С., Трухина Л.В. Дисфункция щитовидной железы и система кроветворения // Клиническая и экспериментальная тиреодология. — 2011. — Т. 7. — №4. — С. 27. doi: https://doi.org/10.14341/ket20117427-31
19. Connor A, Taylor JE. Renal impairment resulting from hypothyroidism. Clin Kidney J. 2008;1(6):440-441. doi: https://doi.org/10.1093/ndtplus/sfn158
20. Мунир А.Р., Говиндан Р., Анкудинов А.С., Калягин А.Н. Состояние коронарного русла и оценка роли заместительной гормональной терапии у пациентов с ишемической болезнью сердца на фоне первичного манифестного гипотиреоза // Кардиология. — 2020. — Т. 60. — №9. doi: https://doi.org/10.18087/cardio.2020.9.n1029
21. Wong PS, Lim SW, Tong CV, MOhamad M, Hussein Z. Use of Combination of Oral Levothyroxine and Liothyronine in Severe Hypothyroidism With Massive Pericardial Effusion. J ASEAN Fed Endocr Soc. 2022;37(2):106-112. doi: https://doi.org/10.15605/jafes.037.02.17
22. Гипотериоз: клинические рекомендации/Минздрав РФ. — М., 2021-2022-2023.
Дополнительные файлы
|
1. Рисунок 1. Электрокардиограмма пациента. | |
Тема | ||
Тип | Исследовательские инструменты | |
Посмотреть
(898KB)
|
Метаданные ▾ |
|
2. Рисунок 2. УЗИ сердца. Гидроперикард в области верхушки. | |
Тема | ||
Тип | Исследовательские инструменты | |
Посмотреть
(186KB)
|
Метаданные ▾ |
|
3. Рисунок 3. УЗИ сердца. Гидроперикард по задним отделам сердца. | |
Тема | ||
Тип | Исследовательские инструменты | |
Посмотреть
(196KB)
|
Метаданные ▾ |
|
4. Рисунок 4. УЗИ сердца. Гидроперикард за правыми отделами сердца. | |
Тема | ||
Тип | Исследовательские инструменты | |
Посмотреть
(205KB)
|
Метаданные ▾ |
|
5. Рисунок 5. РКТ грудной клетки. | |
Тема | ||
Тип | Исследовательские инструменты | |
Посмотреть
(333KB)
|
Метаданные ▾ |
|
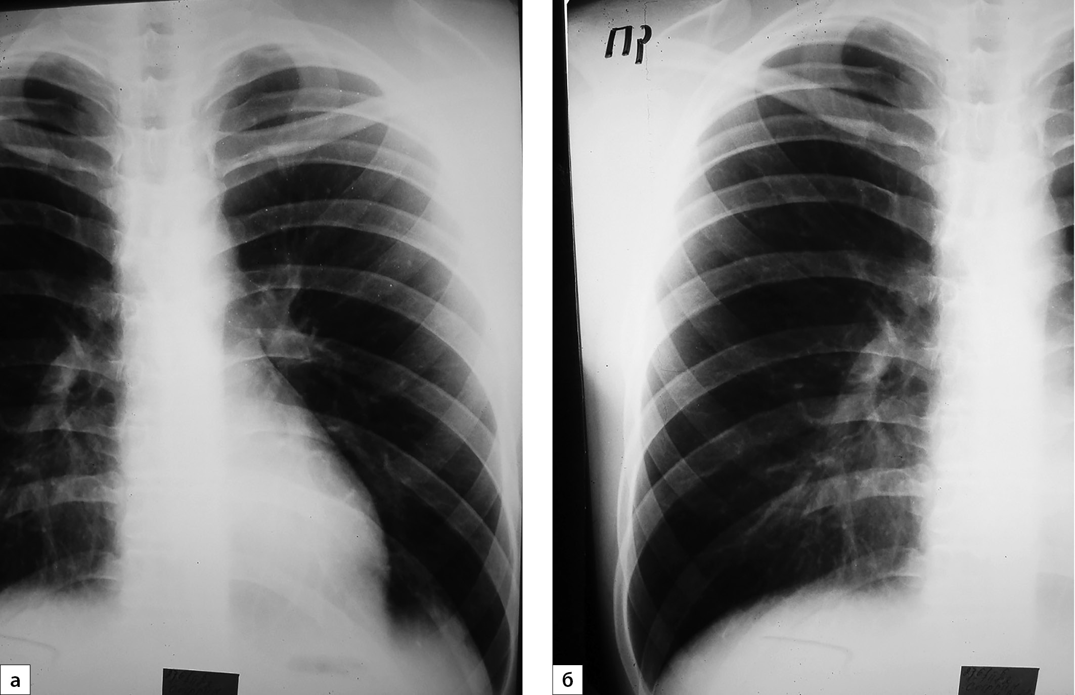
6. Рисунок 6 (а, б). Обзорные рентгенограммы органов грудной клетки в динамике. | |
Тема | ||
Тип | Исследовательские инструменты | |
Посмотреть
(266KB)
|
Метаданные ▾ |
Рецензия
Для цитирования:
Бондарь И.А., Чесноченко Л.И., Краснопевцева И.П. Гидроперикард при гипотиреозе. Особенности клиники, диагностики и лечения. Клиническая и экспериментальная тиреоидология. 2023;19(3):4-13. https://doi.org/10.14341/ket12778
For citation:
Bondar I.A., Chesnochenko L.I., Krasnopevtseva I.P. Hydropericardium in hypothyroidism. Features of the clinic, diagnosis and treatment. Clinical and experimental thyroidology. 2023;19(3):4-13. (In Russ.) https://doi.org/10.14341/ket12778

Контент доступен под лицензией Creative Commons Attribution-NonCommercial-NoDerivatives 4.0 International License (CC BY-NC-ND 4.0).