Перейти к:
ТТГ-секретирующая аденома гипофиза в сочетании с первичным гипотиреозом в исходе хронического аутоиммунного тиреоидита: трудности диагностики
Аннотация
Несмотря на то, что аденомы гипофиза являются одними из самых частых образований головного мозга, ТТГ-секретирующие аденомы гипофиза (тиреотропиномы) составляют менее 1% от всех аденом. Из-за повышения свободных фракций тиреоидных гормонов при нормальном или повышенном уровне тиреотропного гормона (ТТГ) у большинства пациентов с данными образованиями гипофиза имеет место длительный анамнез тиреотоксикоза, требующий проведения дифференциальной диагностики с патологией щитовидной железы (болезнь Грейвса, токсическая аденома, функциональная автономия щитовидной железы). Диагностика тиреотропином представляет значительные трудности для врача-клинициста. В данной работе описывается случай сочетания тиреотропиномы с первичным гипотиреозом в исходе хронического аутоиммунного тиреоидита, особенностью которого является отсутствие типичной клинической картины тиреотоксикоза в сочетании с повышенным уровнем ТТГ на фоне постоянно повышаемой заместительной терапии первичного гипотиреоза. Картина объемного образования гипофиза по данным МРТ головного мозга позволила заподозрить гормонально активную аденому (макроаденому). В результате проведенного оперативного лечения (трансназальнойтранссфеноидальной аденомэктомии гипофиза) в послеоперационном периоде отмечена нормализация уровня ТТГ и свободных фракций тиреоидных гормонов. Гистологическое и иммуногистохимическое исследование послеоперационного материала подтвердило диагноз тиреотропиномы.
Ключевые слова
Для цитирования:
Ткачук А.В., Гребенникова Т.А., Лапшина А.М., Владимирова В.П., Белая Ж.Е., Мельниченко Г.А. ТТГ-секретирующая аденома гипофиза в сочетании с первичным гипотиреозом в исходе хронического аутоиммунного тиреоидита: трудности диагностики. Клиническая и экспериментальная тиреоидология. 2018;14(3):162-168.
For citation:
Tkachuk A.V., Grebennikova T.A., Lapshina A.M., Vladimirova V.P., Belaya Zh.E., Melnichenko G.A. TSH-secreting pituitary adenoma in combination with primary hypothyroidism in the outcome of Hashimoto’s disease: diagnostic difficulties. Clinical and experimental thyroidology. 2018;14(3):162-168. (In Russ.)
Актуальность
Аденомы гипофиза являются одними из самых частых образований головного мозга. По современным данным, в некоторых популяциях их распространенность доходит до 75–94 случаев на 100 тыс. человек [1–3]. Тиреотрофы составляют всего 5% клеток передней доли гипофиза, в связи с чем ТТГ-секретирующая аденома гипофиза (тиреотропинома) является редким заболеванием, составляющим менее 1% от всех аденом гипофиза [4]. Распространенность данных образований головного мозга в общей популяции – 1–2 случая на 1 млннаселения [5]. Ввиду появления и широкого внедрения в практическую медицину высокочувствительных методов определения уровня тиреотропного гормона (ТТГ), количество описаний тиреотропином в последнее время значительно возросло [6, 7]. Данные образования характеризуются повышением свободных фракций Т3 и Т4 при нормальном либо повышенном уровне ТТГ и клинической симптоматикой тиреотоксикоза, сходной с таковой при патологии щитовидной железы (болезнь Грейвса, токсическая аденома, функциональная автономия щитовидной железы) [7].
В настоящее время тиреотропиномы остаются труднодиагностируемыми заболеваниями в связи с низкой распространенностью и малой осведомленностью врачей об этой патологии. В статье представлено клиническое наблюдение пациентки с первичным гипотиреозом в исходе хронического аутоиммунного тиреоидита и тиреотропиномой.
Описание случая
Пациентка Е., 42 лет, обратилась в ФГБУ “НМИЦ эндокринологии” Минздрава России с жалобами на нарушение менструального цикла и периодические головные боли. При осмотре: рост 147 см, масса тела 43 кг, индекс массы тела 19,8 кг/м2. Наследственный анамнез не отягощен.
В 33 года у пациентки появилось ощущение “кома в горле” при глотании. При обследовании впервые было выявлено повышение концентрации ТТГ в сочетании со сниженным содержанием свободных фракций Т3 и Т4, увеличение содержания антител к тиреоидной пероксидазе (ТПО) – 1180 МЕ/мл (0–5,6 МЕ/мл) (табл. 1). При УЗИ щитовидной железы выявлены эхографические признаки аутоиммунного поражения. По совокупности данных был поставлен диагноз “первичный гипотиреоз в исходе хронического аутоиммунного тиреоидита”, назначена заместительная терапия левотироксином натрия в дозе 50 мкг/сут с постепенным увеличением дозы препарата. В 38 лет на фоне приема левотироксина натрия в дозе 125 мкг/сут содержание ТТГ оставалось повышенным, в связи с чем доза препарата была увеличена до 175 мкг/сут. На фоне коррекции терапии нормализации содержания ТТГ не отмечалось.
Таблица 1. Результаты лабораторного обследования
|
Показатель |
До оперативного лечения |
После оперативного лечения |
Референсный интервал |
|
ТТГ, мМЕ/л |
17,55 |
0,152 |
0,25–3,5 |
|
Свободный Т4, пмоль/л |
23,46 |
10,84 |
9–20 |
|
Свободный Т3, пмоль/л |
5,67 |
2,79 |
2,5–5,5 |
|
Антитела к ТПО, МЕ/мл |
1180 |
– |
0–5,6 |
|
СССГ, нмоль/л |
77,2 |
– |
26–110 |
|
Остеокальцин, нг/мл |
17,44 |
– |
11–43 |
|
С-концевой телопептид коллагена 1 типа, нг/мл |
0,45 |
– |
0,01–0,69 |
|
Пролактин, мЕд/л |
657 |
– |
90–540 |
|
Пролактин биоактивный, мЕд/л |
280 |
– |
64–395 |
|
ИРФ-1, нг/мл |
94,59 |
– |
60–280 |
|
ЛГ, Ед/л |
7,7 |
– |
|
|
ФСГ, Ед/л |
5,73 |
– |
|
|
Эстрадиол, пмоль/л |
580,9 |
– |
|
|
АКТГ (утро), пг/мл |
– |
1,93 |
7–66 |
|
Кортизол (утро), нмоль/л |
– |
17,18 |
123–626 |
В течение последних двух лет (с 40 лет) пациентку стали беспокоить головные боли, плохо поддающиеся купированию анальгетиками. Кроме того, пациентка стала отмечать нарушение менструального цикла по типу олигоменореи.
При обследовании в стационаре ФГБУ “НМИЦ эндокринологии” в возрасте 42 лет (в 2018 г.) на фоне приема левотироксина натрия в дозе 175 мкг/сут отмечено повышение свободных фракций тиреоидных гормонов при отсутствии подавления секреции ТТГ: ТТГ 17,55 мМЕ/л (0,25–3,5 мМЕ/л), свободный Т4 – 23,46 пмоль/л (9– 20 пмоль/л), свободный Т3 – 5,67 пмоль/л (2,5–5,5 пмоль/л) (см. табл. 1).
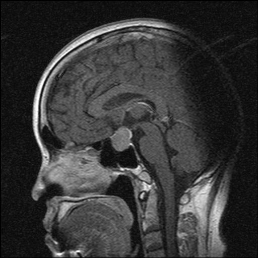
После пятидневной отмены левотироксина натрия зафиксировано снижение свободных фракций Т3 и Т4 до референсных значений, в то время как содержание ТТГ увеличилось с 17,5 до 35,6 мМЕ/л (0,25–3,5 мМЕ/л). При МРТ гипофиза с контрастированием верифицирована макроаденома гипофиза (20 × 25 × 15 мм) с супра-, пара-, инфраселлярным распространением (рис. 1). Пациентка осмотрена офтальмологом: данных за хиазмальный синдром не получено. Дополнительно было проведено УЗИ щитовидной железы: объем железы 9 см3 с эхографическими признаками аутоиммунного поражения.
Рис. 1. МРТ гипофиза: а – макроаденома гипофиза, сагиттальный срез; б – макроаденома гипофиза, фронтальный срез.
Учитывая высокую концентрацию ТТГ, объемное образование гипофиза по результатам МРТ головного мозга, образование расценено как тиреотропинома, несмотря на отсутствие клинических и лабораторных признаков тиреотоксикоза. Исключена смешанная гормональная секреция аденомы гипофиза: концентрация в крови соматотропного гормона (СТГ), инсулиноподобного фактора роста – 1 (ИРФ-1), фолликулостимулирующего гормона (ФСГ), лютеинизирующего гормона (ЛГ), эстрадиола – в пределах целевых значений (см. табл. 1). При обследовании выявлено повышение концентрации пролактина до 657 мЕд/л (90–540 мЕд/л), однако в связи с нормальным содержанием в крови биоактивного пролактина – 280 мЕд/л (64–395 мЕд/л) – исключена дополнительная секреция пролактина аденомой гипофиза. С целью дифференциальной диагностики с синдромом резистентности к тиреоидным гормонам и оценки периферического действия свободных фракций Т3 и Т4проведен анализ таких показателей, как концентрация секс-стероидсвязывающего глобулина (СССГ), остеокальцина, С-концевого телопептида коллагена 1 типа – показатели в пределах референсных интервалов (см. табл. 1).
В мае 2018 г. проведена трансназальная транссфеноидальная аденомэктомия гипофиза: удалена опухоль кремового цвета с псевдокапсулой. В послеоперационном периоде у пациентки развилась клиническая картина вторичной надпочечниковой недостаточности, подтвержденная результатами гормональных исследований: концентрация адренокортикотропного гормона (АКТГ) (утро) – 1,93 пг/мл (7–66 пг/мл), кортизола (утро) – 17,18 нмоль/л (123–626 нмоль/л) (см. табл. 1). Надпочечниковая недостаточность купирована внутримышечным введением гидрокортизона, с последующим переводом пациентки на пероральный прием заместительной глюкокортикоидной терапии. На 5-е сутки после оперативного лечения развилась клиника несахарного диабета: диурез более 3 л в сутки, повышение концентрации натрия в крови до 150 ммоль/л (136–145 ммоль/л), осмоляльности плазмы до 308 мосмоль/кг (280–300 мосмоль/кг), снижение осмоляльности мочи до 114 мосмоль/кг (600–1200 мосмоль/кг). Назначена терапия десмопрессином, на фоне чего купировались полидипсия и полиурия, отмечена нормализация лабораторных показателей.
На 7-е сутки после трансназальной аденомэктомии гипофиза по данным гормонального обследования выявлено снижение свободных фракций тиреоидных гормонов (свободный Т4 10,84 пмоль/л (9–20 пмоль/л), свободный Т3 2,79 пмоль/л (2,5–5,5 пмоль/л)) и выраженное снижение концентрации ТТГ – 0,152 мМЕ/л (0,25–3,5 мМЕ/л) (см. табл. 1), подтверждено наличие гипотиреоза, назначена заместительная терапия левотироксином натрия в дозе 50 мкг/сут. Пациентка выписана из стационара в удовлетворительном состоянии на 11-е сутки после оперативного лечения аденомы гипофиза с диагнозом: “ТТГ-секретирующая макроаденома гипофиза, состояние после трансназальной аденомэктомии от 04.05.2018. Вторичная надпочечниковая недостаточность, медикаментозная компенсация. Центральный несахарный диабет, медикаментозная компенсация. Первичный гипотиреоз в исходе хронического аутоиммунного тиреоидита, медикаментозная компенсация”.
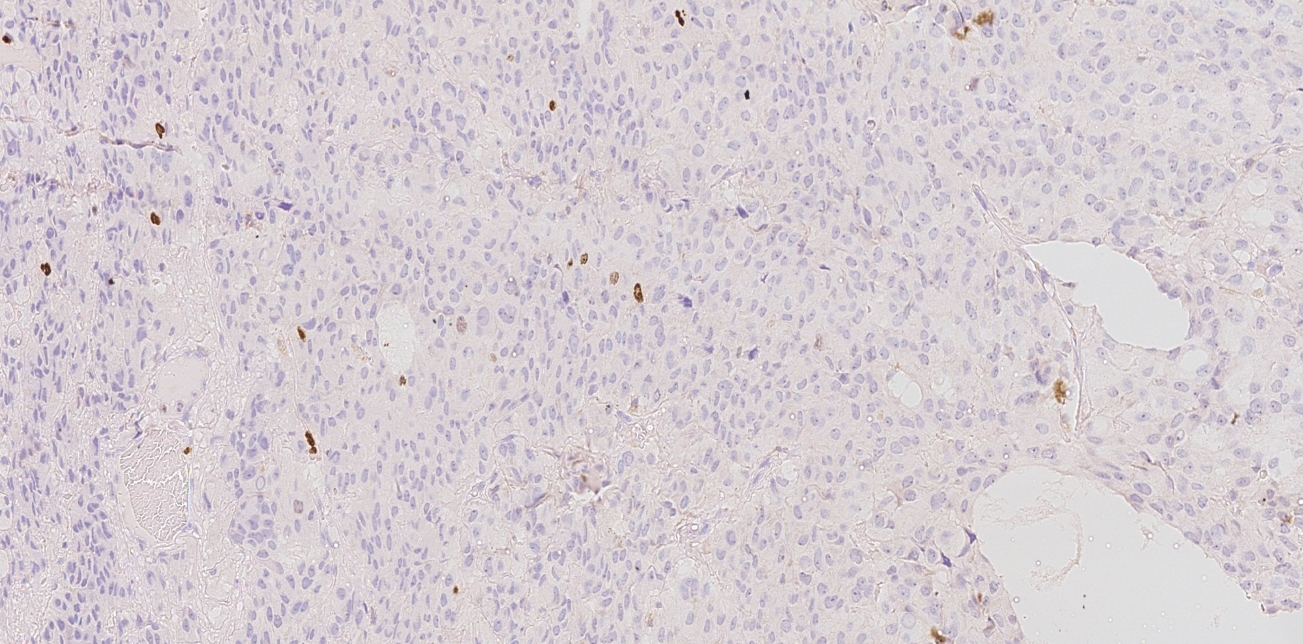
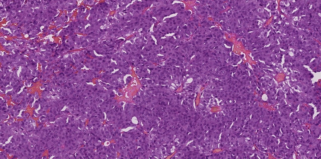
Диагноз тиреотропиномы подтвержден при гистологическом и иммуногистохимическом исследовании послеоперационного материала: экспрессия ТТГ выявлена у 80% опухолевых клеток, индекс метки Ki-67 равен 1,2% (рис. 2).
Рис. 2. а – гистологическое исследование послеоперационного материала: аденома гипофиза из хромофобных клеток (окраска гематоксилином и эозином, ×100); б – иммуногистохимическое исследование с антителами к ТТГ: экспрессия опухолевых клеток до 80% (×100); в – иммуногистохимическое исследование с антителами к Ki-67 (индекс пролиферативной активности): индекс метки Ki-67 равен 1,2% (×200).
Обсуждение
Большинство тиреотропином секретируют только ТТГ, однако в 20–25% наблюдений выявляются аденомы, характеризующиеся дополнительной гиперпродукцией пролактина и СТГ [8, 9].
Из-за повышения свободных фракций Т3 и Т4 при нормальном или повышенном содержании ТТГ у большинства пациентов имеет место длительный анамнез тиреотоксикоза. Как правило, тиреотропиномы клинически проявляются мягкими симптомами тиреотоксикоза, не коррелирующими с уровнем тиреоидных гормонов в сыворотке. Осложнения со стороны сердечно-сосудистой системы, такие как суправентрикулярные нарушения ритма и сердечная недостаточность, в отличие от первичного гипертиреоза встречаются редко. Кроме того, клинические проявления акромегалии и гиперпролактинемии могут скрывать симптомы тиреотоксикоза при смешанной гормональной секреции образования гипофиза. МРТ является “золотым стандартом” визуализации образований головного мозга. Несмотря на улучшение диагностики тиреотропином, в большинстве случаев данные образования выявляются на стадии макроаденом (80–85%), поэтому часто сопровождаются неврологической симптоматикой, а именно головной болью (20%), сужением полей зрения (40%); развитием частичного или тотального гипопитуитаризма [10].
Наибольшие трудности при постановке диагноза связаны с дифференциальной диагностикой тиреотропином с синдромом резистентности к тиреоидным гормонам. Данный синдром характеризуется сходными лабораторными показателями (повышение свободных фракций Т3 и Т4, нормальным или повышенным содержанием ТТГ), однако отсутствует клиническая картина тиреотоксикоза. Состояние является наследственным и в большинстве случаев вызвано мутацией в гене, кодирующем бета-тип рецептора к тиреоидным гормонам. К настоящему времени, с первого упоминания о синдроме в 1967 г., описано более 100 мутаций в гене-рецепторе [11, 12]. Для дифференциальной диагностики может использоваться уровень СССГ. В случае тиреотропиномы уровень СССГ обычно повышен в противоположность синдрому резистентности к тиреоидным гормонам, когда уровень данного глобулина остается нормальным [13]. Кроме того, при отсутствии клинической симптоматики предположить наличие тиреотоксикоза вследствие тиреотропиномы позволяют повышенные маркеры костного метаболизма (С-концевой телопептид коллагена 1 типа и остеокальцин). Функциональные пробы также могут помочь в сложной диагностической ситуации: при стимуляции тиреолиберином в большинстве наблюдений тиреотропиномотсутствует адекватный выброс ТТГ так же, как и не происходит подавления ТТГ при приеме Т3. Однако в некоторых редких случаях синдром резистентности к тиреоидным гормонам может сочетаться с тиреотропиномой либо с инциденталомой гипофиза [14].
Заподозрить тиреотропиному следует в том случае, если симптомы умеренного тиреотоксикоза вследствие повышения уровня свободных фракций тиреоидных гормонов сочетаются c отсутствием супрессии ТТГ по принципу отрицательной обратной связи. Высокая концентрация ТТГ у пациентов, получающих адекватную заместительную терапию левотироксином натрия в связи с проведенной тиреоидэктомией или радиойодтерапией, также может быть признаком тиреотропиномы. Трудности диагностики данных аденом гипофиза в полной мере отражены в представленном клиническом наблюдении: разрушение тиреоцитов вследствие хронического аутоиммунного тиреоидита, исход заболевания в первичный гипотиреоз привели к отсутствию клинических и биохимических проявлений тиреотоксикоза. Однако доза тиреоидных гормонов постоянно повышалась с целью нормализации содержания ТТГ, ввиду чего пациентка находилась в состоянии медикаментозного тиреотоксикоза.
Первичный гипотиреоз в исходе хронического аутоиммунного тиреоидита может сочетаться с тиреотропиномой, однако такие случаи крайне редки. В литературе упоминается не более десятка подобных сочетаний. N.N. Ghannam и соавт. [15] описали клиническое наблюдение 46-летнего мужчины с первичным гипотиреозом и гигантской тиреотропиномой. Особенность данного случая состояла в том, что у пациента отсутствовали жалобы, характерные для гипотиреоза, и при лабораторном обследовании выявлена чрезвычайно высокая концентрация ТТГ (34,7 мМЕ/л). Дифференциальную диагностику проводили между тиреотропиномой и вторичной гиперплазией тиреотрофов вследствие длительного анамнеза первичного гипотиреоза. На фоне заместительной терапии левотироксином натрия в течение 6 недель было отмечено снижение концентрации ТТГ и 50%-е уменьшение аденомы в размере. Однако отсутствие дальнейшего уменьшения концентрации ТТГ позволило подтвердить тиреотропиному. Существует мнение, что данные образования гипофиза являются результатом длительного некомпенсированного гипотиреоза [16]. Однако в нашем случае у пациентки наблюдалось также повышение свободных фракций тиреоидных гормонов вследствие избыточного приема левотироксина, то есть можно говорить о самостоятельном развитии опухоли гипофиза.
Трансназальная аденомэктомия гипофиза является методом выбора в лечении тиреотропином, в том числе в случае сочетания данных образований гипофиза с патологией щитовидной железы. Добиться полной ремиссии заболевания удается в 60–70% случаев [17, 18]. Предоперационная медикаментозная терапия и смешанная гормональная секреция образований не оказывают существенного влияния на результат хирургического лечения, в то время как пациенты с большими размерами образований (макроаденомами) имели значительно более низкий процент ремиссий после оперативного лечения [19]. В случае отсутствия возможности хирургического удаления тиреотропиномы предполагается проведение лучевой терапии на область гипофиза в сочетании с медикаментозной терапией аналогами соматостатина либо использование терапии аналогами соматостатина пролонгированного действия как самостоятельной линии лечения.
Заключение
Данное клиническое наблюдение демонстрирует трудности диагностики тиреотропином в условиях патологии щитовидной железы, такой как первичный гипотиреоз в исходе хронического аутоиммунного тиреоидита. Существование первичного гипотиреоза совместно с тиреотропиномой может маскировать характерные клинические проявления тиреотоксикоза, в результате чего увеличивается время постановки диагноза, что приводит к чрезмерному росту аденомы с формированием таких осложнений, как хиазмальный синдром и гипопитуитаризм, а постоянное повышение дозы тиреоидных гормонов с ориентацией только на уровень ТТГ приводит к развитию медикаментозного тиреотоксикоза, как описано в настоящем клиническом случае.
Дополнительная информация
Источник финансирования. Подготовка статьи осуществлена на личные средства авторского коллектива.
Согласие пациента. Пациент добровольно подписал информированное согласие на публикацию персональной медицинской информации в обезличенной форме в журнале “Клиническая и экспериментальная тиреоидология”.
Конфликт интересов. Авторы декларируют отсутствие явных и потенциальных конфликтов интересов, связанных с публикацией настоящей статьи.
Список литературы
1. Daly AF, Rixhon M, Adam C, et al. High prevalence of pituitary adenomas: a cross-sectional study in the province of Liege, Belgium. J Clin Endocrinol Metab. 2006;91(12):4769-4775. doi: https://doi.org/10.1210/jc.2006-1668.
2. Gruppetta M, Mercieca C, Vassallo J. Prevalence and incidence of pituitary adenomas: a population based study in Malta. Pituitary. 2013;16(4):545-553. doi: https://doi.org/10.1007/s11102-012-0454-0.
3. Fernandez A, Karavitaki N, Wass JA. Prevalence of pituitary adenomas: a community-based, cross-sectional study in Banbury (Oxfordshire, UK). Clin Endocrinol (Oxf). 2010;72(3):377-382. doi: https://doi.org/10.1111/j.1365-2265.2009.03667.x.
4. Kienitz T, Quinkler M, Strasburger CJ, Ventz M. Long-term management in five cases of TSH-secreting pituitary adenomas: a single center study and review of the literature. Eur J Endocrinol. 2007;157(1):39-46. doi: https://doi.org/10.1530/EJE-07-0098.
5. Amlashi FG, Tritos NA. Thyrotropin-secreting pituitary adenomas: epidemiology, diagnosis, and management. Endocrine. 2016; 52(3):427-440. doi: https://doi.org/10.1007/s12020-016-0863-3.
6. Петрик Г.Г., Космачева Е.Д., Полякова Ю.И., и др. Тиреотропинома: поздний диагноз и эффективность терапии. // Проблемы эндокринологии. – 2017. – Т. 63. – №1. – С. 39-45. [Petrik GG, Kosmacheva ED, Polyakova YI, et al. TSH-secreting pituitary adenoma: late diagnosis and effectiveness of therapy. Problems of endocrinology. 2017;63(1):39-45. (In Russ.)] doi: https://doi.org/10.14341/probl201763139-45.
7. Фадеев В.В. По материалам клинических рекомендаций Европейской тиреоидной ассоциации по диагностике и лечению ТТГ-продуцирующих опухолей гипофиза. // Клиническая и экспериментальная тиреоидология. – 2016. – Т. 12. – №4. – С. 39-45. [Fadeyev VV. Review of European Thyroid Association guidelines for the diagnosis and treatment of thyrotropin-secreting pituitary tumours. Clinical and experimental thyroidology. 2016;12(4):39-45. (In Russ.)] doi: https://doi.org/10.14341/ket2016439-45.
8. Beck-Peccoz P, Persani L, Mannavola D, Campi I. Pituitary tumours: TSH-secreting adenomas. Best Pract Res Clin Endocrinol Metab. 2009;23(5):597-606. doi: https://doi.org/10.1016/j.beem.2009.05.006.
9. Idiculla JM, Beckett G, Statham PFX, et al. Autoimmune hypothyroidism coexisting with a pituitary adenoma secreting thyroid-stimulating hormone, prolactin and α-subunit. Ann Clin Biochem. 2001;38(5):566-571. doi: https://doi.org/10.1258/0004563011901190.
10. Beck-Peccoz P, Persani L. TSH-induced hyperthyroidism caused by a pituitary tumor. Nat Clin Pract Endocrinol Metab. 2006;2(9): 524-528. doi: https://doi.org/10.1038/ncpendmet0276.
11. Refetoff S, Dumitrescu AM. Syndromes of reduced sensitivity to thyroid hormone: genetic defects in hormone receptors, cell transporters and deiodination. Best Pract Res Clin Endocrinol Metab. 2007;21(2):277-305. doi: https://doi.org/10.1016/j.beem.2007.03.005.
12. Weiss RE, Refetoff S. Resistance to thyroid hormone. Rev Endocr Metab Disord. 2000;1(1/2):97-108. doi: https://doi.org/10.1023/a:1010072605757.
13. Пржиялковская Е.Г., Газизова Д.О., Григорьев А.Ю., и др. Тиреотропинома: трудности дифференциальной диагностики (клинический случай). // Клиническая и экспериментальная тиреоидология. – 2011. – Т. 7. – №2. – С. 68-73. [Przhiyalkovskaya EG, Gazizova DO, Grigor’ev AY, et al. Thyrotropin-producing adenoma: diagnostic challenges (сase report). Clinical and experimental thyroidology. 2011;7(2):68-73. (In Russ.)] doi: https://doi.org/10.14341/ket20117268-73.
14. Teng X, Jin T, Brent GA, et al. A patient with a thyrotropin-secreting microadenoma and resistance to thyroid hormone (P453T). J Clin Endocrinol Metab. 2015;100(7):2511-2514. doi: https://doi.org/10.1210/jc.2014-3994.
15. Ghannam NN, Hammami MM, Muttair Z, Bakheet SM. Primary hypothyroidism-associated TSH-secreting pituitary adenoma/hyperplasia presenting as a bleeding nasal mass and extremely elevated TSH level. J Endocrinol Invest. 1999;22(6):419-423. doi: https://doi.org/10.1007/BF03343584.
16. Астафьева Л.И., Кадашев Б.А., Шишкина Л.В., и др. Тиреотропиномы и тиреотрофная гиперплазия (описание клинических случаев и обзор литературы). // Журнал “Вопросы нейрохирургии” имени Н.Н. Бурденко. – 2016. – Т. 80. – №3. – С. 82-90. [Astaf’eva LI, Kadashev BA, Shishkina LV, et al. Thyrotropin-producing adenomas and thyrotropic hyperplasia (clinical case reports and the review of the literature). Zh Vopr Neirokhir im NN Burdenko. 2016;80(3):82-90. (In Russ.)] doi: https://doi.org/10.17116/neiro201680382-90.
17. Onnestam L, Berinder K, Burman P, et al. National incidence and prevalence of TSH-secreting pituitary adenomas in Sweden. J Clin Endocrinol Metab. 2013;98(2):626-635. doi: https://doi.org/10.1210/jc.2012-3362.
18. Socin H, Chanson P, Delemer B, et al. The changing spectrum of TSH-secreting pituitary adenomas: diagnosis and management in 43 patients. Eur J Endocrinol. 2003;148(4):433-442. doi: https://doi.org/10.1530/eje.0.1480433.
19. Beck-Peccoz P, Lania A, Beckers A, et al. 2013 European thyroid association guidelines for the diagnosis and treatment of thyrotropin-secreting pituitary tumors. Eur Thyroid J. 2013;2(2):76-82. doi: https://doi.org/10.1159/000351007.
Об авторах
Арина Вадимовна ТкачукФГБУ “Национальный медицинский исследовательский центр эндокринологии” Минздрава России
Россия
клинический ординатор 2-го года обучения
Татьяна Алексеевна Гребенникова
ФГБУ “Национальный медицинский исследовательский центр эндокринологии” Минздрава России
Россия
Кандидат медицинских наук, научный сотрудник отделения нейроэндокринологии и остеопатий
Анастасия Михайловна Лапшина
ФГБУ “Национальный медицинский исследовательский центр эндокринологии” Минздрава России
Россия
Кандидат медицинских наук, врач-патологоанатом отдела фундаментальной патоморфологии
Виктория Павловна Владимирова
ФГБУ “Национальный медицинский исследовательский центр эндокринологии” Минздрава России
Россия
Кандидат медицинских наук, врач-рентгенолог, ведущий научный сотрудник отдела лучевой диагностики
Жанна Евгеньевна Белая
ФГБУ “Национальный медицинский исследовательский центр эндокринологии” Минздрава России
Россия
д.м.н., профессор
Галина Афанасьевна Мельниченко
ФГБУ “Национальный медицинский исследовательский центр эндокринологии” Минздрава России
Россия
д.м.н., профессор, академик РАН
Дополнительные файлы
|
|
1. Рис.1а. МРТ гипофиза: макроаденома гипофиза, сагиттальный срез. | |
| Тема | ||
| Тип | Исследовательские инструменты | |
Посмотреть
(37KB)
|
Метаданные ▾ | |
|
|
2. Рис.1б. МРТ гипофиза: макроаденома гипофиза, фронтальный срез. | |
| Тема | ||
| Тип | Исследовательские инструменты | |
Посмотреть
(28KB)
|
Метаданные ▾ | |
|
|
3. Рис. 3а. Гистологическое исследование послеоперационного материала: аденома гипофиза из хромофобных клеток, окраска гематоксилином и эозином (ув. ×100). | |
| Тема | ||
| Тип | Исследовательские инструменты | |
Посмотреть
(874KB)
|
Метаданные ▾ | |
|
|
4. Рис. 3б. Иммуногистохимическое исследование с антителами к ТТГ: экспрессия опухолевых клеток до 80% (ув. ×100). | |
| Тема | ||
| Тип | Исследовательские инструменты | |
Посмотреть
(2MB)
|
Метаданные ▾ | |
|
|
5. Рис. 3в. Иммуногистохимическое исследование с антителами к Ki-67: индекс метки Ki-67 = 1,2% (ув. ×200). | |
| Тема | ||
| Тип | Исследовательские инструменты | |
Посмотреть
(744KB)
|
Метаданные ▾ | |
|
|
6. Рис. 1. МРТ гипофиза: а – макроаденома гипофиза, сагиттальный срез; б – макроаденома гипофиза, фронтальный срез. | |
| Тема | ||
| Тип | Исследовательские инструменты | |
Посмотреть
(623KB)
|
Метаданные ▾ | |
|
|
7. Рис. 2. а – гистологическое исследование послеоперационного материала: аденома гипофиза из хромофобных клеток (окраска гематоксилином и эозином, ×100); б – иммуногистохимическое исследование с антителами к ТТГ: экспрессия опухолевых клеток до 80% (×100); в – иммуногистохимическое исследование с антителами к Ki-67 (индекс пролиферативной активности): индекс метки Ki-67 равен 1,2% (×200). | |
| Тема | ||
| Тип | Исследовательские инструменты | |
Посмотреть
(1MB)
|
Метаданные ▾ | |
Рецензия
Для цитирования:
Ткачук А.В., Гребенникова Т.А., Лапшина А.М., Владимирова В.П., Белая Ж.Е., Мельниченко Г.А. ТТГ-секретирующая аденома гипофиза в сочетании с первичным гипотиреозом в исходе хронического аутоиммунного тиреоидита: трудности диагностики. Клиническая и экспериментальная тиреоидология. 2018;14(3):162-168.
For citation:
Tkachuk A.V., Grebennikova T.A., Lapshina A.M., Vladimirova V.P., Belaya Zh.E., Melnichenko G.A. TSH-secreting pituitary adenoma in combination with primary hypothyroidism in the outcome of Hashimoto’s disease: diagnostic difficulties. Clinical and experimental thyroidology. 2018;14(3):162-168. (In Russ.)
































