Перейти к:
Клиническая анатомия и особенности невозвратного гортанного нерва в хирургии щитовидной железы. Клинический случай
https://doi.org/10.14341/ket2016331-36
Аннотация
В последние десятилетия отмечается значительный успех в хирургии щитовидной железы, однако частота развития пареза гортани вследствие повреждения возвратного гортанного нерва остается высокой. Детальное изучение разных вариантов топики нерва – одно из направлений, дающих возможность снизить его травматизацию. Невозвратный нижний гортанный нерв является редкой анатомической особенностью, которая выявляется при операциях на щитовидной железе в 0,3–1% случаев. Несмотря на такую редкую встречаемость, к сожалению, атипичное расположение невозвратного гортанного нерва создает предпосылки для его ятрогенного повреждения. В статье проведен анализ литературы, описаны причины возникновения, связь с аномалией магистральных сосудов и клиническое значение. Описаны два случая выявления невозвратного нижнего гортанного нерва в хирургической клинике ФГБУ РНЦРР МЗ РФ.
Для цитирования:
Галушко Д.А., Асмарян А.Г., Пасько М.А. Клиническая анатомия и особенности невозвратного гортанного нерва в хирургии щитовидной железы. Клинический случай. Клиническая и экспериментальная тиреоидология. 2016;12(3):31-36. https://doi.org/10.14341/ket2016331-36
For citation:
Galushko D.A., Asmaryan H.G., Pasko M.A. Clinical anatomy and features non-recurrent inferior laryngeal nerve in thyroid surgery. Case report. Clinical and experimental thyroidology. 2016;12(3):31-36. (In Russ.) https://doi.org/10.14341/ket2016331-36
Актуальность
Возвратный нижний гортанный нерв (ВНГН) является парным нервом, иннервирующим мышцы гортани и голосовые связки. Повреждение этого нерва может привести к парезу или параличу голосовой складки на той же стороне, что проявляется осиплостью голоса. Если повреждение двустороннее, в результате смыкания паралитических голосовых связок может полностью закрыться голосовая щель, что обычно проявляется афонией и опасной для жизни одышкой, которая требует немедленного выполнения трахеостомии. Несмотря на значительные успехи в хирургии щитовидной железы, по некоторым данным литературы, частота развития пареза гортани вследствие повреждения возвратного гортанного нерва может доходить до 20%. В среднем это осложнение развивается у 2,9% больных при первичных и 8,2% – при повторных операциях. Практически всеми исследователями было продемонстрировано, что визуализация ВНГН во время хирургического вмешательства значительно снижает риск повреждения нерва [1]. Чтобы достигнуть этого, нужно иметь твердые знания нормальных и различных форм топики ВНГН.
ВНГН традиционно называют так вследствие того, что, отходя от блуждающего нерва, он, как правило, формирует петлю, поворачивая вверх, проходя под подключичной артерией справа и под дугой аорты слева, и поднимается вверх, располагаясь в борозде между пищеводом и трахеей. Возвратный нерв отдает чувствующие и двигательные ветви к мышцам пищевода и подходит к гортани. На уровне нижнего края перстневидного хряща возвратный нерв успевает отдать почти все свои чувствующие волокна. Остается лишь небольшая чувствующая ветвь, которая иннервирует слизистую оболочку в области угла и двух передних третей пластинок щитовидного хряща ниже голосовых складок. Двигательная часть нижнего гортанного нерва вступает в гортань сзади от сочленения малого рожка щитовидного хряща с дугой перстневидного и снабжает двигательными ветвями все внутренние мышцы гортани, за исключением передней перстнещитовидной мышцы, которая получает иннервацию от верхнего гортанного нерва.
Есть разные теории, объясняющие, почему этот нерв имеет возвратную природу. Самая популярная из них – теория эволюциониста Ричарда Довкинса, который, исследуя расположение сердца у рыбоподобных предков современных четвероногих, показал, что с появлением и удлинением шеи меняется расположение сердца. Последнее в эволюционном развитии “спускается” все ниже и ниже. У человеческого эмбриона нервная трубка на начальных этапах развития имеет тесную связь с жаберными дугами. Из IV–VI жаберных дуг формируются щитовидный, перстневый, черпаловидные хрящи гортани, констрикторы гортани и пищевода. Кровоснабжение данных анатомических образований осуществляется за счет соответствующих IV–VI дуг жаберных артерий. ВНГН переплетается вокруг пятой дуги, далее в процессе онтогенеза данные дуги опускаются в каудальном направлении, “унося” с собой нижний гортанный нерв вниз. Слева пятая дуга представляет собой дугу аорты и артериальный проток. Справа пятая и шестая дуги исчезают, и петля нерва окружает IV дугу, из которой формируется подключичная артерия [2, 3]. Такое анатомическое расположение ВНГН характерно для большинства млекопитающих, так, наибольшая длина нерва отмечается у жирафа, достигая 4 метров.
У пациентов, у которых наблюдаются аномалии развития подключичных артерий, нижний гортанный нерв отходит от блуждающего нерва на уровне гортани – невозвратный нижний гортанный нерв (ННГН). Первое упоминание о ННГН датируется 1823 г., когда патологоанатом Д.В. Стедман описал случай аутопсии, где правый нижний гортанный нерв отходил от блуждающего нерва на уровне гортани [4]. Также в записях было описание аномалии отхождения правой подключичной артерии. Последняя отходила от дуги аорты слева отдельным стволом. Первый описанный случай аномалии подключичной артерии датируется более ранним периодом. Бейфорд в 1787 г. опубликовал случай дисфагии, обусловленный сдавлением пищевода аномальной правой подключичной артерией, назвав ее дисфагией люзория (lusoria – от латинского lusus nature – игры природы, загадки природы) [5]. Эта аномалия сосудистой системы, по разным сообщениям, встречается у 0,5–2% населения [6]. Описаны три анатомических варианта расположения данной артерии: позади пищевода (85% наблюдений), между пищеводом и трахеей (10% случаев), впереди трахеи (5% случаев). В большинстве случаев клинические проявления отсутствуют, и только у 5–7% пациентов проявляются симптомы, которые могут возникать при сдавлении a. lusoria пищевода и трахеи, – дисфагия, боль в грудной клетке, затруднение дыхания. Чрезвычайно редко встречаются случаи, когда a. lusoria отходит от аневризматически расширенной дуги аорты, которая получила название «дивертикул Коммереля» [6–8].
Невозвратный нижний гортанный нерв – более редкая аномалия, которая наблюдается в 0,3–0,9% случаев на правой стороне и в 0,004% – слева, хотя большинство исследователей утверждают, что истинных левосторонних невозвратных нервов не бывает и в описанных случаях имеет место транспозиция внутренних органов (situs inversus) [9, 10]. Различают два варианта расположения невозвратного гортанного нерва. При первом типе расположения ННГН отходит непосредственно от блуждающего нерва, располагается вместе с верхними щитовидными сосудами. При втором варианте расположения нерв лежит параллельно нижней щитовидной артерии (тип 2А – над стволом и тип 2B – под или между ветками нижней щитовидной артерии). При этом некоторые авторы сообщают о наличии еще одной атопии – медиального расположения блуждающего нерва (медиальнее общей сонной артерии), считая это “сигнальной лампочкой” для выявления невозвратного нерва [3, 11, 12].
Клинический случай №1
В клинику обратилась женщина 46 лет, у которой по месту жительства по данным УЗИ был выявлен узел правой доли щитовидной железы. При комплексном обследовании в РНЦРР у нее был установлен диагноз: папиллярный рак правой доли щитовидной железы T1N0M0. Пациентке была выполнена тиреоидэктомия с центральной шейной лимфодиссекцией. Интраоперационно был выявлен правый невозвратный нижний гортанный нерв – вариант 2А (рис. 1).
Рис. 1. Интраоперационный вид ННГН справа.
Нерв длиной около 4 см практически под прямым углом отходил от правого блуждающего нерва. Он мобилизован на всем протяжении и прослежен до впадения в гортань. Слева возвратный нижний гортанный нерв располагался в типичном для себя анатомическом месте (рис. 2).
Рис. 2. Интраоперационный вид ВНГН слева.
В послеоперационном периоде больная была дополнительно обследована: выполнена компьютерная томография шеи и органов грудной клетки с ангиографией (рис. 3 а, б) и прямая ангиография (рис. 4), по данным которых подтверждено наличие у пациентки аномалии развития ветвей аорты. Правая подключичная артерия отходит от уровня перешейка аорты по ее задней поверхности самостоятельным стволом, проходя между аортой и позвоночным столбом на уровне третьего позвонка, – a. lusoria. От правой подключичной артерии отходит правая позвоночная артерия. Правая общая сонная артерия отходила от аорты одним устьем вместе с левой общей сонной артерией, что наглядно демонстрируется на ангиограммах в виде симптома “бычьих рогов”. Послеоперационный период у больной протекал гладко, без осложнений. Фонация голосовых связок не была изменена.
Рис. 3. Результаты компьютерной томографии шеи и органов грудной клетки с ангиографией: а – аорта (вид сзади); б – предпозвоночное расположение правой подключичной артерии.
Рис. 4. Ангиография (селективное контрастирование сонных, левой и правой подключичных артерий).
Клинический случай №2
Пациент М., 54 г. Узлы в щитовидной железе выявлены при УЗИ в 2013 г. При контрольном УЗИ в 2015 г. отмечена отрицательная динамика в виде увеличения узла правой доли в размерах с 9 до 13 мм. В РНЦРР проведено комплексное обследование: произведена тонкоигольная аспирационная пункция, морфологически подтвержден папиллярный рак щитовидной железы. Регионарного и отдаленного метастазирования не выявлено. Также у пациента в анамнезе лечение по поводу рака левой молочной железы Т1N0М0: выполнена радикальная резекция левой молочной железы и проведена лучевая терапия. Непродолжительное время лечение антиэстрогенными препаратами. 13.10.2015 выполнена тиреоидэктомия с микрохирургическим невролизом возвратных гортанных нервов. Интраоперационно: при мобилизации выявлен правый невозвратный нижний гортанный нерв (вариант 2В). Выполнен невролиз правого ННГН: прослежен от правого блуждающего нерва на уровни гортани до впадения в гортань, сохранен (рис. 5).
Рис. 5. Интраоперационный вид. Белая стрелка – невозвратный нижний гортанный нерв.
В послеоперационном периоде проводились дополнительные исследования – по данным ангиографии и компьютерной томографии подтверждено наличие сосудистой аномалии в виде a. lusoria. Послеоперационный период у больной протекал гладко, без осложнений. Фонация голосовых связок не была изменена. Проведенные дополнительные исследования подтвердили наличия a. lusoria. По данным МСКТ-ангиографии правая подключичная артерия (a. lusoria) отходит отдельным стволом позади и левее от места отхождения левой подключичной артерии, расположение ее предпозвоночное позади пищевода, отмечается сдавление пищевода (рис. 6 а, б, в).
Рис. 6. Результаты рентгенологического исследования: а – МСКТ расположения a. lusoria; б – компьютерная ангиография (вид спереди); в – компьютерная ангиография (вид сзади).
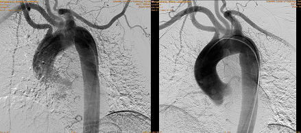
По данным ангиографии – ангиографическая картина a. lusoria. Справа налево от дуги аорты отходят устья правой и левой общих сонных артерий, левой подключичной артерии и правой подключичной артерии (последние два практически на одном уровне) (рис. 7).
Рис. 7. Ангиография.
Обсуждение
Анатомическое расположение НВГН значительно увеличивает риск его ятрогенного повреждения при выполнении тиреоидэктомии. Возможна травма нерва при выполнении тракции щитовидной железы и трахеи; во время лимфодиссекции; также нерв может быть ошибочно принят за сосуд, при этом перевязан или сожжен. Анализ литературных данных показывает высокую чувствительность компьютерной томографии для выявления сосудистой аномалии у больных, что в какой-то мере может служить предоперационным методом диагностики ННГН. Однако редкость встречаемости такой анатомической особенности не дает возможности рекомендовать метод как обязательный в предоперационном обследовании. Но при назначении этого обследования по другим показаниям в обязательном порядке должны быть изучены варианты кровоснабжения и топическая анатомия крупных сосудов, в частности подключичных и сонных артерий. Некоторые авторы сообщают о пользе проведения ультразвукового триплексного сканирования сосудов головы и шеи, при этом отмечая, что визуализация этих аномалий очень трудна и зависит от уровня подготовки специалиста. И поэтому, к сожалению, единственным достоверным методом выявления невозвратного нерва остается интраоперационный. Надо отметить, что, несмотря на многочисленные рекомендации начинать поиски невозвратного гортанного нерва только после неудачной попытки обнаружения возвратного гортанного нерва в типичном для него месте, мы придерживаемся мнения тех авторов, которые рекомендуют в каждом случае идентифицировать все структуры зоны медиальнее сонной артерии до доли щитовидной железы (так называемый transversus path – поперечный путь). Особое внимание стоит уделять области нижней щитовидной артерии и медиальной вены щитовидной железы.
Заключение
Агрессивные вмешательства в области головы и шеи, которые могут поставить под угрозу целостность гортанных нервов, являются частью повседневной хирургической практики. Твердые знания нормальной морфологии и не самых частых вариантов топики нижних гортанных нервов, включая его невозвратный вариант, могут помочь врачам минимизировать риск ятрогенного повреждения этого нерва.
Дополнительная информация
Согласие пациента. Все пациенты добровольно подписали информированное согласие на публикацию персональной медицинской информации в рамках настоящей статьи.
Конфликт интересов. Авторы декларируют отсутствие явных и потенциальных конфликтов интересов, связанных с публикацией настоящей статьи.
Список литературы
1. Avisse C, Marcus C, Delattre JF, et al. Right nonrecurrent inferior laryngeal nerve and arteria lusoria: the diagnostic and therapeutic implications of an anatomic anomaly. Surg Radiol Anat. 1998;20(3):227-232. doi: 10.1007/bf01628900.
2. Guerreiro S, Lamas M, Candeias H, et al. The non-recurrent laryngeal nerve: An anatomical “trap”. Revista Portuguesa de Endocrinologia, Diabetes e Metabolismo. 2014;9(1):84-87. doi: 10.1016/j.rpedm.2014.05.001.
3. Noden DM. Embryonic origins and assembly of blood vessels. Am Rev Respir Dis. 1989;140(4):1097-1103. doi: 10.1164/ajrccm/140.4.1097.
4. Stedman GW. A singular distribution of some of the nerves and arteries of the neck and top of the thorax. Edin Med Surg. 1823;19:564-565.
5. Asherson N. David Bayford. His syndrome and sign of dysphagia lusoria. Ann R Coll Surg Engl. 1979;61(1):63-67. PMC 2494476.
6. Дьолог М.И. Аномалия сосудов, отходящих от аорты – артерия Люзория. // Радiологiческий вiсник. – 2012. – №1. – С. 24–25. [Diolog MI. Anomaliya sosudov, otkhodyashchikh ot aorty – arteriya Lyuzoriya. Radiologicheskiy visnik. 2012;(1):24-25.]
7. Shenoy AM, Nanjundappa A, Halkud R, et al. Retroesophageal right subclavian artery with nonrecurrent laryngeal nerve: unique variation of surgical importance. World Journal of Endocrine Surgery. 2013;5:33-38. doi: 10.5005/jp-journals-10002-1123.
8. Yang MH, Weng ZC, Weng YG, Chang HH. A right-sided aortic arch with Kommerell's diverticulum of the aberrant left subclavian artery presenting with syncope. J Chin Med Assoc. 2009;72(5):275-277. doi: 10.1016/S1726-4901(09)70070-X.
9. Kamath SP, Rathnakar P, Shetty K. Nonrecurrent laryngeal nerve: A rare entity. Nitte University Journal of Health Science. 2012;2(1):42-44.
10. Mahmodlou R, Aghasi MR, Sepehrvand N. Identifying the non-recurrent laryngeal nerve: preventing a major risk of morbidity during thyroidectomy. Int J Prev Med. 2013;4(2):237-240. PMC3604859.
11. Henry JF, Audiffret J, Denizot A, Plan M. The nonrecurrent inferior laryngeal nerve: review of 33 cases, including two on the left side. Surgery. 1988;104(6):977-984.
12. Uludag M, Isgor A, Yetkin G, Citgez B. Anatomic variations of the non-recurrent inferior laryngeal nerve. BMJ Case Rep. 2009;2009. doi: 10.1136/bcr.10.2008.1107.
Об авторах
Дмитрий Анатолевич ГалушкоРоссия
к.м.н.
Айк Гарникович Асмарян
Россия
кандидат медицинских наук
врач-хирург, онколог
Российский Научный Центр Рентгенорадиологии
отделение хирургии опухолей шеи
Максим Андреевич Пасько
Россия
к.м.н.
Дополнительные файлы
|
|
1. Рисунок №2 | |
| Тема | ||
| Тип | Исследовательские инструменты | |
Посмотреть
(311KB)
|
Метаданные ▾ | |
|
|
2. Рисунок №1 | |
| Тема | ||
| Тип | Исследовательские инструменты | |
Посмотреть
(325KB)
|
Метаданные ▾ | |
|
|
3. Рисунок №3а | |
| Тема | ||
| Тип | Исследовательские инструменты | |
Посмотреть
(164KB)
|
Метаданные ▾ | |
|
|
4. Рисунок №3б | |
| Тема | ||
| Тип | Исследовательские инструменты | |
Посмотреть
(217KB)
|
Метаданные ▾ | |
|
|
5. Рисунок №4 | |
| Тема | ||
| Тип | Исследовательские инструменты | |
Посмотреть
(79KB)
|
Метаданные ▾ | |
|
|
6. Рисунок №5 | |
| Тема | ||
| Тип | Исследовательские инструменты | |
Посмотреть
(418KB)
|
Метаданные ▾ | |
|
|
7. Рисунок №6а | |
| Тема | ||
| Тип | Исследовательские инструменты | |
Посмотреть
(178KB)
|
Метаданные ▾ | |
|
|
8. Рисунок №6б | |
| Тема | ||
| Тип | Исследовательские инструменты | |
Посмотреть
(81KB)
|
Метаданные ▾ | |
|
|
9. Рисунок №6в | |
| Тема | ||
| Тип | Исследовательские инструменты | |
Посмотреть
(83KB)
|
Метаданные ▾ | |
|
|
10. Рисунок №7 | |
| Тема | ||
| Тип | Исследовательские инструменты | |
Посмотреть
(116KB)
|
Метаданные ▾ | |
Рецензия
Для цитирования:
Галушко Д.А., Асмарян А.Г., Пасько М.А. Клиническая анатомия и особенности невозвратного гортанного нерва в хирургии щитовидной железы. Клинический случай. Клиническая и экспериментальная тиреоидология. 2016;12(3):31-36. https://doi.org/10.14341/ket2016331-36
For citation:
Galushko D.A., Asmaryan H.G., Pasko M.A. Clinical anatomy and features non-recurrent inferior laryngeal nerve in thyroid surgery. Case report. Clinical and experimental thyroidology. 2016;12(3):31-36. (In Russ.) https://doi.org/10.14341/ket2016331-36
Контент доступен под лицензией Creative Commons Attribution-NonCommercial-NoDerivatives 4.0 International License (CC BY-NC-ND 4.0).
































