Перейти к:
Атипическая аденома околощитовидной железы в сочетании с папиллярным раком щитовидной железы: два клинических наблюдения
https://doi.org/10.14341/ket9497
Аннотация
Наиболее часто первичный гиперпаратиреоз (ПГПТ) в сочетании с раком (как правило, медуллярным) щитовидной железы (ЩЖ) встречается при синдромах множественных эндокринных неоплазий. Сочетание немедуллярных карцином ЩЖ и ПГПТ отмечается у 3% пациентов. Доля папиллярного рака (ПР) ЩЖ достигает 87% от всех ее злокачественных опухолей. Атипическая аденома (АА) околощитовидной железы (ОЩЖ) – это новообразование, в котором отсутствуют достоверные признаки инвазивного роста, но есть морфологические критерии, подозрительные в отношении их злокачественного потенциала. Распространенность АА ОЩЖ как причины ПГПТ составляет около 0,5–4%. АА ОЩЖ относятся к опухолям неопределенного злокачественного потенциала. Клиническое значение и отдаленные результаты, а также объем оперативного вмешательства и продолжительность наблюдения за пациентами с АА ОЩЖ из-за редкости опухоли и отсутствия стандартов диагностики данной патологии не определены.
В настоящей статье авторы сообщают о двух случаях сочетания АА ОЩЖ и ПР ЩЖ у 63-летней женщины и 57-летнего мужчины. У одного из пациентов, в отличие от второго, были классические симптомы ПГПТ, в том числе тяжелая остеодистрофия и нефропатия. Предоперационный уровень кальция составил 3,48 и 4,1 (2,12–2,6) мкмоль/л, паратиреоидного гормона – 1300 и 1533 (15–65) пг/мл соответственно. В обоих случаях ультразвуковое исследование ЩЖ не выявило достоверно злокачественных новообразований. Рак ЩЖ был заподозрен только во время интраоперационной ревизии, в связи с чем пациентам была проведена тиреоидэктомия и удаление опухоли ОЩЖ. Гистологическое исследование выявило папиллярную микрокарциному ЩЖ (в первом случае одностороннюю, во втором – двустороннюю) и АА ОЩЖ.
Большая осведомленность специалистов о сочетании ПРЩЖ с атипической аденомой ОЩЖ позволит расширить настороженность эндокринологов и хирургов, своевременно оценить возможную патологию ЩЖ у пациентов с ПГПТ, тем самым применить адекватный объем вмешательства в ходе одной операции.
Ключевые слова
Для цитирования:
Воронкова И.А., Лапшина А.М., Гуревич Л.Е., Рожинская Л.Я., Бритвин Т.А., Кривошеев А.В., Ким И.В., Кузнецов С.Н., Мокрышева Н.Г. Атипическая аденома околощитовидной железы в сочетании с папиллярным раком щитовидной железы: два клинических наблюдения. Клиническая и экспериментальная тиреоидология. 2017;13(4):40-48. https://doi.org/10.14341/ket9497
For citation:
Voronkova I.A., Lapshina A.M., Gurevich L.E., Rozhinskaya L.Ya., Britvin T.A., Krivosheev A.V., Kim I.V., Kuznetsov S.N., Mokrysheva N.G. Two cases synchronous atypical parathyroid adenomas and papillary thyroid carcinoma. Clinical and experimental thyroidology. 2017;13(4):40-48. (In Russ.) https://doi.org/10.14341/ket9497
Введение
Наиболее часто первичный гиперпаратиреоз (ПГПТ) в сочетании с раком щитовидной железы (ЩЖ) встречается при синдромах множественных эндокринных неоплазий (МЭН), при этом патология ЩЖ представлена, как правило, медуллярным раком. Не более 3% аденом околощитовидной железы (ОЩЖ) сочетаются с папиллярным раком (ПР) ЩЖ [1]. При этом ПР наиболее распространен среди злокачественных опухолей ЩЖ и среди них составляет 87% [2]. Атипическая аденома (АА) ОЩЖ – редкая патология, встречающаяся примерно в 0,5–4% всех случаев ПГПТ, характеризующаяся отсутствием достоверных признаков инвазивного роста, но имеющая морфологические критерии, подозрительные в отношении их злокачественного потенциала [3–5]. К таким критериям относятся: широкие фиброзные тяжи, митозы, сращение с соседними структурами (но не прорастание в них), наличие опухолевых комплексов в окружающей аденому капсуле, солидный или трабекулярный тип строения, ядерная атипия, четкие ядрышки [6]. Мы сообщаем о двух случаях этой редкой патологии: синхронного ПР ЩЖ и АА ОЩЖ у 63-летней женщины и 57-летнего мужчины.
Описание клинических случаев
Пациент А.
В возрасте 57 лет в феврале 2015 г. пациент А. поступил в ФГБУ “НМИЦ эндокринологии” Минздрава России с жалобами на сухость во рту, периодические ощущения сердцебиений, повышение артериального давления (АД) до 200/100 мм рт.ст., снижение веса на 7 кг за последние 3 мес, общую слабость.
Считает себя больным с 2012 г., когда впервые обнаружил опухолевое образование нижней челюсти. В связи с этим обратился в медицинское учреждение по месту жительства, где было заподозрено злокачественное новообразование и проведена резекция нижней челюсти слева. Гистологический диагноз: гигантоклеточная опухоль. В 2014 г. проведено повторное хирургическое лечение опухолеподобного образования нижней челюсти – субтотальная резекция левой верхней челюсти, краевая резекция нижней челюсти. Гистологический диагноз: репаративные гигантоклеточные гранулемы. По данным КТ шеи и лицевого скелета от 2015 г. определяются новые очаги разрежения в позвонках, левой ключице, некоторые из ранее определявшихся очагов разрежения костной ткани увеличились в размерах. Повышение АД стал отмечать с 47 лет, максимально до 200/100 мм рт.ст., адаптирован к 130/80 мм рт.ст. Постоянную гипотензивную терапию не получал. По данным обследования, проведенного в ФГБУ “НМИЦ эндокринологии” Минздрава России, кальций крови общий (Са) – 4,28 ммоль/л (2,10–2,55), ионизированный (Са++) – 1,91 ммоль/л (1,03–1,29), фосфор (Р) – 0,87 ммоль/л (0,74–1,52), щелочная фосфатаза – 374 Ед/л (40,0–150,0), паратиреоидный гормон (ПТГ) – 1533 (15–65) пг/мл, креатинин – 134,6 мкмоль/л. При ультразвуковом исследовании (УЗИ) органов шеи лоцировалось образование правой нижней ОЩЖ размерами 2,6 × 1,4 × 1,9 см, в ткани ЩЖ – признаки хронического тиреоидита. При денситометрии снижения костной плотности в поясничном отделе позвоночника и проксимальном отделе бедренной кости не выявлено. По данным УЗИ почек выявлены эхографические признаки гидронефроза справа, пиелоэктазии справа, кисты левой почки, конкремента левой почки, диффузных изменений паренхимы обеих почек, признаки микролитов обеих почек. В анализе мочи по Нечипоренко лейкоцитурия 3900 в 1 мл. Для исключения конкремента мочеточника как причины гидронефроза справа выполнена мультиспиральная компьютерная томография (МСКТ): обнаружен конкремент в нижней трети правого мочеточника овоидной формы, с ровными четкими контурами, умеренно высокой нативной плотности (1140 HU), размерами 9,5 × 6,5 × 8,5 мм, признаки снижения функции почек и распространенное очаговое поражение всех костей, вошедших в зону исследования (с учетом анамнеза наиболее вероятно – гиперпаратиреоидная остеодистрофия). Начато лечение α-адреноблокаторами (тамсулозин 0,4 мг/сут) в сочетании со спазмолитиками (дротаверин 160 мг/сут), антибактериальная терапия (ципрофлоксацин 500 мг/сут). Таким образом, состояние расценено как первичный гиперпаратиреоз, костно-висцеральная форма с развитием тяжелой гиперпаратиреоидной остеодистрофии (фиброзного остеита). Учитывая выраженность метаболических нарушений (гиперкальциемия более 4 ммоль/л), пациенту по жизненным показаниям выполнено хирургическое лечение. При ревизии установлено, что ЩЖ в размерах не увеличена, отмечается плотный узел в правой доле диаметром до 0,5 см, к нему подпаяна грудино-щитовидная мышца, при дальнейшей ревизии за нижним полюсом правой доли ЩЖ определяется образование размерами до 3,5 см в диаметре. Выполнено удаление опухоли правой нижней ОЩЖ. Далее, учитывая инвазию грудино-щитовидной мышцы, решено выполнить гемитиреоидэктомию справа – материал отправлен на срочное гистологическое исследование. Выявлен ПР правой доли ЩЖ. Хирургическое вмешательство было выполнено в объеме экстрафасциальной тиреоидэктомии и удаления новообразования правой нижней ОЩЖ.
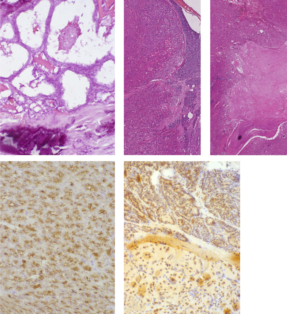
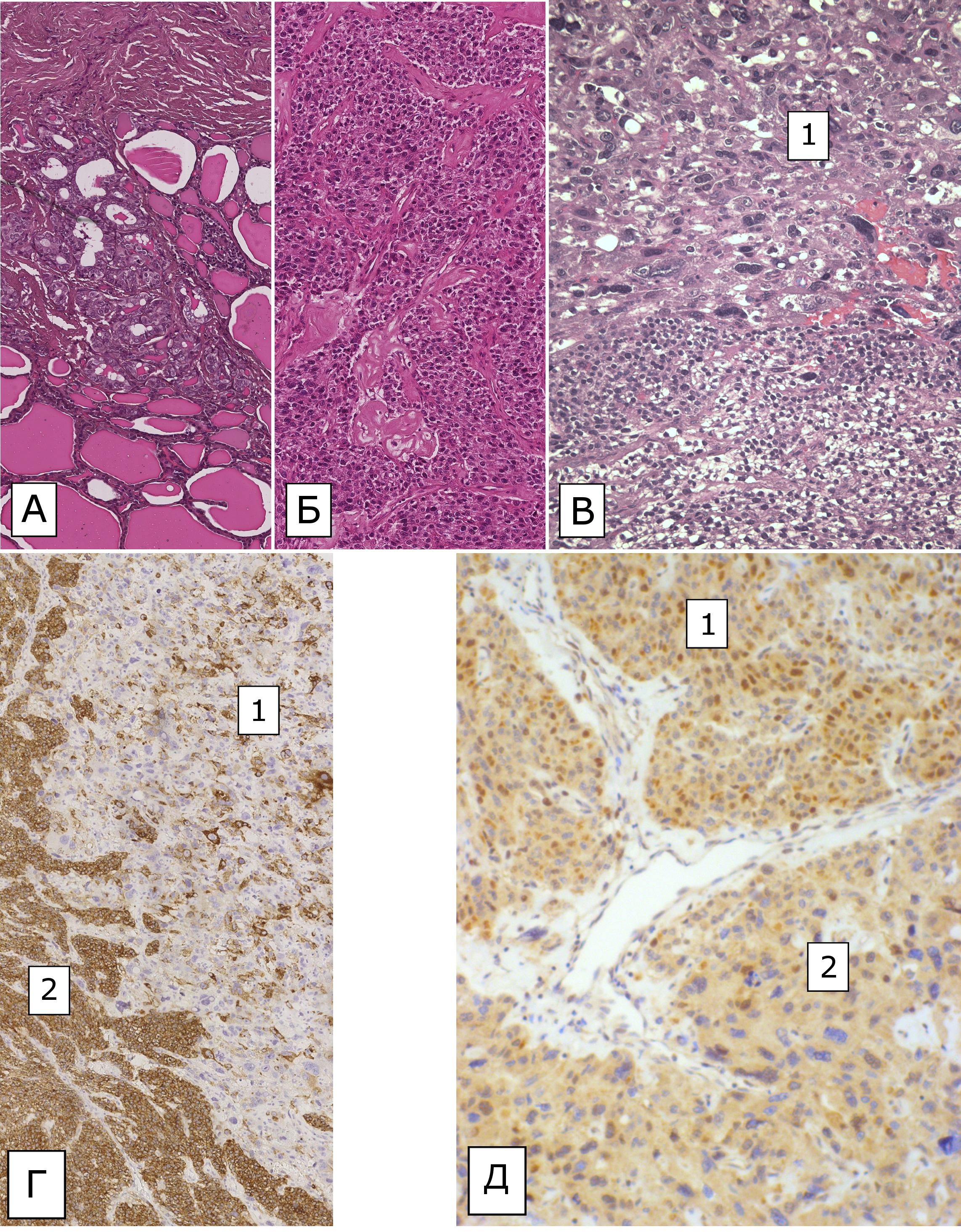
Плановое гистологическое исследование определило наличие в правой доле ЩЖ неинкапсулированной папиллярной микрокарциномы без признаков инвазивного роста за пределы капсулы органа. В левой доле участок склероза стромы с комплексом клеток ПР, спаянный с волокнами поперечно-полосатой мышцы, а также обнаружено несколько микрофокусов ПР в различных участках левой доли, ассоциированных со склерозом стромы. Гистологически опухоль ОЩЖ была представлена АА ОЩЖ с очагами резко полиморфных опухолевых клеток и с наличием двух патологических митозов в них, фокусами опухолевых клеток, замурованных в капсулу образования. Достоверных признаков инвазивного роста за пределы капсулы выявлено не было. При иммуногистохимическом (ИГХ) исследовании с антителами к эндотелиальному маркеру CD31 признаков сосудистой инвазии не обнаружено. Экспрессия ПТГ вариабельна: диффузная и интенсивная в главных клетках, близких по структуре к клеткам нормальной ОЩЖ, и фокальная – в очагах клеточного полиморфизма. Индекс метки маркера пролиферации Ki-67 варьировал в разных участках опухоли, с максимальным значением 3%. Экспрессия парафибромина неравномерная, полностью исчезает в очагах клеточного полиморфизма. Заключение: папиллярный рак щитовидной железы рТ3b mNх, атипическая аденома околощитовидной железы рTisNx (рTNM указаны согласно 8-му пересмотру классификации TNM; AJCC, 2017) (рис. 1).
Рис. 1. Гистологические особенности новообразований пациента А.: а – неинкапсулированная папиллярная микрокарцинома, фолликулярный вариант (Г-Э, ×100); б – атипическая аденома ОЩЖ из главных клеток с наличием полос фиброза (Г-Э, ×100); в – очаг клеточного и ядерного полиморфизма (1) в атипической аденоме ОЩЖ (Г-Э, ×200); г – экспрессия ПТГ в клетках атипической аденомы ОЩЖ: очаговая в клетках с выраженным полиморфизмом (1) и диффузная – в главных паратиреоцитах (2) (×100); д – экспрессия парафибромина в клетках атипической аденомы ОЩЖ: выраженная в главных паратиреоцитах (1) и отсутствие ядерной экспрессии в клетках с выраженным ядерным полиморфизмом (2) (×200).
В послеоперационном периоде состояние больного средней тяжести, что было обусловлено прежде всего нарастанием почечной недостаточности. Клинические признаки гипокальциемии не наблюдались, что, вероятно, было следствием прогрессирования почечной недостаточности в послеоперационном периоде. При повторном УЗИ почек: чашечно-лоханочные системы не расширены, в обеих почках мелкие конкременты до 0,3–0,5 см, диффузные изменения паренхимы почек, киста левой почки 0,8 см, мочевой пузырь содержит 251,3 мл жидкости, без объемных образований, дистальные отделы мочеточников с обеих сторон не расширены. На фоне инфузионной терапии и форсированного диуреза (1000 мл физраствора и 120 мг фуросемида) на 3-и сутки после операции диурез увеличился с 600 до 2600 мл. На фоне терапии уменьшились отеки, гемодинамика стабилизировалась (АД 150/90 мм рт.ст.), улучшилось общее состояние. Учитывая появление клинических признаков гипокальциемии (периодические парестезии в области пальцев рук), к терапии были добавлены препараты кальция в сочетании с активными метаболитами витамина D. Отмечалась положительная динамика выделительной функции почек: мочевина – 9 ммоль/л; креатинин – 203,2 мкмоль/л.
Пациент был выписан в удовлетворительном состоянии с рекомендациями: L-тироксин 125 мкг/сут, карбонат кальция 3000 мг/сут и колекальциферол 2400 МЕ/сут, альфакальцидол 2,5 мкг/сут, продолжить гипотензивную и гиполипидемическую терапию.
Наблюдение за пациентом в течение двух лет не выявило рецидива рака ЩЖ и ПГПТ.
Пациентка Б.
В 2017 г. пациентка Б., 63 года, поступила в ГБУЗ МО МОНИКИ им. М.Ф. Владимирского с жалобами на дискомфорт в области шеи. Из анамнеза известно, что в 2013 г. при обследовании у эндокринолога по поводу сахарного диабета 2 типа впервые выявлено повышение уровня Са крови. По данным УЗИ органов шеи в правой доле ЩЖ в передних отделах гипоэхогенное узловое образование размером 12 × 8 × 7 мм с четкими ровными контурами и макрокальцинатом в структуре, в верхнем полюсе левой доли – неоднородное гипоэхогенное образование без четких контуров размером 8 × 7 × 7 мм с микрокальцинатами, у нижнего полюса правой доли – неоднородное образование с четкими неровными контурами в форме “8” (возможно, два близкорасположенных образования) размером 30 × 22 × 15 мм. Была проведена тонкоигольная аспирационная биопсия (ТАБ) узлового образования ЩЖ справа: цитограмма коллоидного зоба (по системе Bethesda II группа). ТАБ образования левой доли ЩЖ решено не проводить ввиду малого размера (менее 1 см), с определением объема операционного вмешательства в ходе интраоперационной ревизии. При остеоденситометрии снижения минеральной плотности костной ткани не отмечено. Но наличие ПГПТ было подтверждено лабораторными данными: Са общий крови – 3,37 ммоль/л (2,10–2,55), Р – 0,74 ммоль/л (0,9–1,52), ПТГ – 1300 (15–65) пг/мл, экскреция Са с мочой – 9,76 (2,5–7,5).
УЗИ брюшной полости и забрюшинного пространства выявило диффузные изменения печени и поджелудочной железы, признаки хронического калькулезного холецистита, мелкие кисты левой почки.
На основании лабораторного и инструментального обследования установлен диагноз “первичный гиперпаратиреоз”, проведено хирургическое лечение. Во время интраоперационной ревизии обнаружено плотное образование в левой доле ЩЖ (рис. 2а), подозрительное в отношении злокачественной опухоли. У нижнего полюса правой доли определялось образование диаметром около 3 см (рис. 2б). Выполнено удаление образования правой нижней ОЩЖ и тиреоидэктомия.
Рис. 2. Макропрепарат операционного материала пациентки Б.: а – атипическая аденома ОЩЖ на разрезе серо- коричневого цвета с фокусом фиброза в центре; б – фокус папиллярной микрокарциномы ЩЖ с фиброзом и кальцификацией стромы.
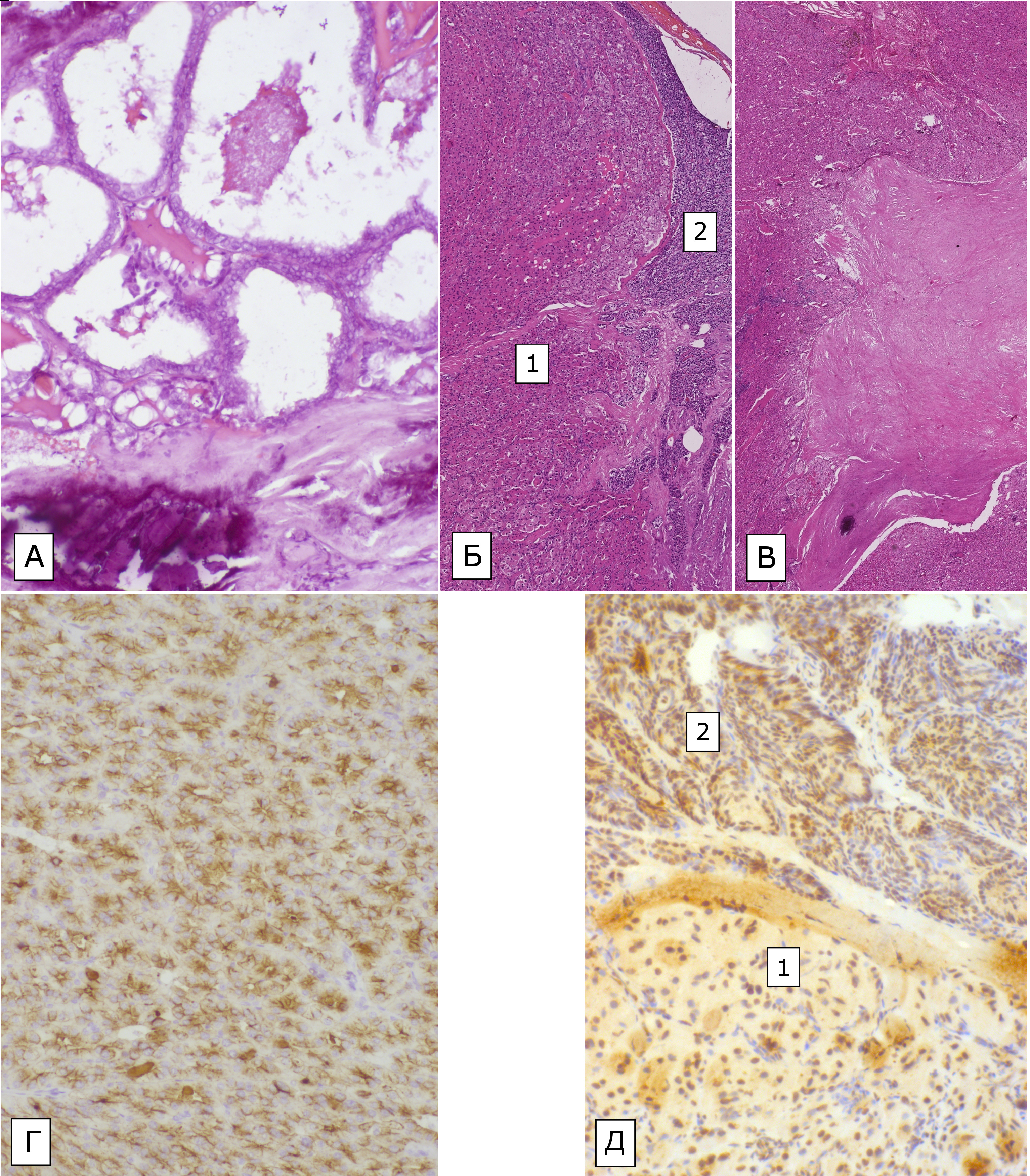
Плановое гистологическое исследование выявило в левой доле ЩЖ папиллярную микрокарциному ЩЖ с выраженным фиброзом и кальцинозом стромы, без достоверных признаков инвазивного роста. Опухоль ОЩЖ была представлена АА из оксифильных клеток и переходных онкоцитарных форм с наличием широких фиброзных тяжей, мелких очагов некроза и фокусов опухолевых клеток, замурованных в капсулу образования. Достоверных признаков инвазивного роста за пределы капсулы выявлено не было. При ИГХ-исследовании с антителами к эндотелиальному маркеру CD31 признаков сосудистой инвазии не обнаружено. Экспрессия ПТГ диффузная, интенсивная. Индекс метки маркера пролиферации Ki-67 варьирует в разных участках, максимальное значение 3%. Экспрессия парафибромина выражена равномерно. Заключение: папиллярный рак щитовидной железы рТ1aNх, атипическая аденома околощитовидной железы рTisNx (рTNM указаны согласно 8-му пересмотру классификации TNM; AJCC, 2017) (рис. 3).
Рис. 3. Гистологические особенности новообразований пациентки Б.: а – неинкапсулированная папиллярная микро- карцинома, фолликулярный вариант, с фиброзом и кальцификацией стромы (Г-Э, ×200); б – атипическая аденома ОЩЖ из оксифильных клеток (1), остаток ткани ОЩЖ из главных клеток оттеснен к периферии (2) (Г-Э, ×100); в) очаг фиброза в атипической аденоме ОЩЖ (Г-Э, ×50); г – экспрессия ПТГ в клетках атипической аденомы ОЩЖ (×100); д – диффузная экспрессия парафибромина в ядрах клеток атипической аденомы (1) и в остатке неизмененной ткани ОЩЖ (2) (×200).
В послеоперационном периоде появились клинические признаки гипокальциемии (периодические парестезии в области пальцев рук), проводилась терапия препаратами кальция и активными метаболитами витамина D.
Пациентка была выписана в удовлетворительном состоянии с рекомендациями: прием L-тироксина 125 мкг/сут, кальция карбоната 3000 мг/сут, колекальциферола 2500 МЕ/сут.
Обсуждение
В обоих случаях пациенты имели яркую клинико-лабораторную картину ПГПТ. ПР ЩЖ стал находкой в ходе операционного вмешательства. Среднегодовая заболеваемость ПР ЩЖ составляет 13,5 случаев на 100000 населения в год (2008–2012 гг. в США) [2]. В одном из описанных случаев папиллярная микрокарцинома ЩЖ локализовалась в одной из долей ЩЖ, в другом мы наблюдали мультифокальный тип роста ПР ЩЖ, что встречается примерно в 20% случаев [2]. Как правило, ПР ЩЖ протекает бессимптомно и только в 20% случаев проявляется дисфонией, дисфагией и симптомами компрессии срединных структур шеи [2]. В связи с этим ПР ЩЖ, в частности микрокарцинома, как в описанных нами случаях, часто остается нераспознанным, особенно в случае наличия выраженных клинических проявлений ПГПТ. Данные о распространенности ПГПТ зависят от периода исследования, выборки и популяционных особенностей. В одном из масштабных исследований, включавшем 13 799 пациентов с ПГПТ, частота данного заболевания колебалась от 34 до 120 на 100000 человеко-лет (Me 66) среди женщин и от 13 до 36 (Me 25) на 100 000 человеко-лет среди мужчин (1995–2010 гг.; 13 799 наблюдений; США) [7], что согласуется с данными более ранней работы: от 57,8 до 146,0 на 100000 человеко-лет для женщин и от 22,8 до 79,5 на 100000 человеко-лет для мужчин (1997–2006 гг.; 2709 наблюдений; Шотландия) [8]. Полномасштабных исследований, позволяющих говорить о распространенности этой проблемы в российской популяции, проведено не было, но по результатам базы данных ФГБУ “НМИЦ эндокринологии” Минздрава России заболеваемость ПГПТ в Москве по обращаемости на 2012 г. достигала 5 на 100000 взрослого населения [9]. Наиболее частой причиной развития ПГПТ являются аденомы ОЩЖ (80–85% случаев) [10]. Данных о распространенности АА крайне мало, что связано с редкостью данной патологии и трудностью ее морфологической диагностики. Термин “атипическая аденома ОЩЖ” был включен в классификацию опухолей эндокринных органов Всемирной организации здравоохранения (ВОЗ) 2004 г., однако ввиду неоднозначности морфологических характеристик этих новообразований среди патологов проходили дискуссии о легитимности данного диагноза. Например, широкие фиброзные тяжи могут быть следствием предыдущей ТАБ ЩЖ и/или ОЩЖ [11, 12]. Высокая митотическая активность встречается и при третичном гиперпаратиреозе, и при синдромах МЭН, и в некоторых аденомах ОЩЖ [13–16]. Некроз часто является последствием предшествующей ТАБ, особенно в онкоцитарных новообразованиях ОЩЖ [14, 15]. Ядерный полиморфизм присущ многим новообразованиям эндокринных органов и имеет свою терминологию – “эндокринная атипия” [6]. Однако в атипических аденомах, как правило, наблюдается сочетание нескольких “подозрительных” критериев, а ядерный полиморфизм представлен широкими, сливающимися очагами.
Научные исследования последних лет свидетельствуют о том, что атипические аденомы по клинико-лабораторным показателям (уровню Са и ПТГ) занимают промежуточное положение между карциномой и аденомой ОЩЖ. Так, в работе K.L. McCoy и соавт. [3] средний уровень ПТГ для атипических аденом составил 172 (мин.–макс. 59–358) пг/мл и средний предоперационный Са был равен 2,94 (мин.–макс. 2,7–3,74) ммоль/л, что согласуется с данными наших двух наблюдений.
В 8-м пересмотре TNM-классификации Американского объединенного комитета по раку (AJCC) от 2017 г. атипические новообразования ОЩЖ, или новообразования с неопределенным потенциалом злокачественности, закодированы как Tis (карцинома in situ) [17]. Таким образом, данная классификация указывает на необходимость учитывать не только доброкачественные новообразования ОЩЖ (аденомы) и злокачественные (карциномы), но и новообразования с неопределенным потенциалом злокачественности (атипические аденомы, АА). Тем не менее 4-е издание классификации опухолей эндокринных органов ВОЗ (2017 г.) не выделяет АА в отдельную подгруппу и относит их к вариантам аденом. В комментариях к классификации ВОЗ опухолей эндокринных органов указывается, что АА ОЩЖ, как группа, могут считаться опухолями с неопределенным злокачественным потенциалом, и что большинство пациентов с АА ОЩЖ имеют хороший клинический прогноз, однако требуют более длительного и прицельного наблюдения [6]. В настоящее время опубликовано небольшое количество исследований, посвященных прогнозу при АА ОЩЖ, с противоречивыми результатами. Так, E.M. Ryhänen и соавт. [18], проанализировав 28 случаев АА ОЩЖ, выявили рецидив заболевания в 1 случае (3,5%) через 23 мес после паратиреоидэктомии. Еще у 1 пациента (3,5%) ПГПТ имел персистирующие течение вследствие разрыва капсулы атипической аденомы во время операции [18]. В работе S. Kruijff и соавт. [19] рецидив ПГПТ документирован в 3,7% (2/53) случаев. Стоит отметить, что в данном исследовании возврат болезни был зафиксирован только в 10% (2/21) парафибромин-негативных образований. Из описанных нами случаев, только в одном мы наблюдали частичную утрату экспрессии белка парафибромина, кодируемого геном-супрессором эндокринных опухолей CDC73. Наблюдение за пациентом в течение двух лет не выявило рецидива ПГПТ. В исследовании K.L. McCoy и соавт. [3], напротив, возврата ПГПТ не было зафиксировано ни в одном из 51 случая АА, при этом период наблюдения составил в среднем 59 мес (6–219; Ме 45). Однако данные, свидетельствующие о возможности рецидива ПГПТ при АА ОЩЖ, диктуют необходимость длительного мониторинга за состоянием данной группы пациентов, c целью раннего выявления возврата болезни.
Заключение
Папиллярный рак щитовидной железы – не редкая злокачественная опухоль, однако выраженная клиническая картина ПГПТ, вызванная атипической аденомой ОЩЖ, может приводить к недооценке риска подобной комбинированной патологии. Осведомленность о возможном сочетании ПР ЩЖ с АА ОЩЖ позволит оценить возможные риски и определить объем оперативного вмешательства. При сочетании ПР ЩЖ и АА ОЩЖ с целью раннего выявления рецидива заболевания необходимо проводить мониторинг гормональной активности не только ЩЖ, но и ОЩЖ.
Дополнительная информация
Согласие пациентов. Пациенты добровольно подписали информированное согласие на публикацию персональной медицинской информации в обезличенной форме в данном периодическом издании.
Конфликт интересов. Авторы декларируют отсутствие явных и потенциальных конфликтов интересов, связанных с публикацией настоящей статьи.
Информация о вкладе каждого автора: Воронкова И.А. – анализ данных, работа с литературными источниками, написание текста, подготовка иллюстраций; Лапшина А.М. – анализ данных, редактирование текста; Гуревич Л.Е. – редактирование текста, подготовка иллюстраций; Рожинская Л.Я. – анализ данных, редактирование текста; Бритвин Т.А. – анализ данных, подготовка текста; Кривошеев А.В. – анализ данных, написание текста; Ким И.В. – анализ данных, коррекция текста; Кузнецов С.Н. – анализ данных, подготовка текста; Мокрышева Н.Г. – анализ данных, концепция и дизайн работы, редактирование текста.
Список литературы
1. Vysetti S, Sridhar P, Theckedath B, et al. Synchronous papillary thyroid carcinoma and primary hyperparathyroidism: diagnosis and management issues. Hosp Pract (1995). 2012;40(4):16-19. doi: 10.3810/hp.2012.10.998.
2. Rosai J, Albores Saavedra J, Asioli S, et al. Papillary thyroid carcinoma. In: Lloyd RV, Osamura RY, Kloppel G, Rosai J, editors. WHO classification of tumours of endocrine organs. Lyon: IARC; 2017. р. 81-91.
3. McCoy KL, Seethala RR, Armstrong MJ, et al. The clinical importance of parathyroid atypia: is long-term surveillance necessary? Surgery. 2015;158(4):929-935; discussion 935-926. doi: 10.1016/j.surg.2015.06.022.
4. Christakis I, Busaidy NL, Cote GJ, et al. Parathyroid carcinoma and atypical parathyroid neoplasms in MEN1 patients; A clinico-pathologic challenge. The MD Anderson case series and review of the literature. Int J Surg. 2016;31:10-16. doi: 10.1016/j.ijsu.2016.05.035.
5. Dobrinja C, Santandrea G, Giacca M, et al. Effectiveness of Intraoperative Parathyroid Monitoring (ioPTH) in predicting a multiglandular or malignant parathyroid disease. Int J Surg. 2017; 41 Suppl 1:S26-S33. doi: 10.1016/j.ijsu.2017.02.063.
6. DeLellis RA, Arnold A, Eng C, et al. Parathyroid adenoma. In: Lloyd RV, Osamura RY, Kloppel G, Rosai J, editors. WHO classification of tumours of endocrine organs. Lyon: IARC; 2017. р. 153-158.
7. Yeh MW, Ituarte PH, Zhou HC, et al. Incidence and prevalence of primary hyperparathyroidism in a racially mixed population. J Clin Endocrinol Metab. 2013;98(3):1122-1129. doi: 10.1210/jc.2012-4022.
8. Yu N, Donnan PT, Murphy MJ, Leese GP. Epidemiology of primary hyperparathyroidism in Tayside, Scotland, UK. Clin Endocrinol (Oxf). 2009;71(4):485-493. doi: 10.1111/j.1365-2265.2008.03520.x.
9. Мокрышева Н.Г., Рожинская Л.Я., Перетокина Е.В., и др. Анализ основных эпидемиологических характеристик первичного гиперпаратиреоза в России (по данным регистра). // Проблемы эндокринологии. – 2012. – T. 58. – №5. – С. 16–20 [Mokrysheva NG, Rozhinskaia LY, Peretokina EV, et al. The results of analysis of the major epidemiological characteristics of primary hyperparathyroidism in Russia based on the registry data. Problems of endocrinology. 2012;58(5):16-20. (In Russ.)] doi: 10.14341/probl201258516-20.
10. DeLellis RA. Parathyroid tumors and related disorders. Mod Pathol. 2011;24 Suppl 2:S78-93. doi: 10.1038/modpathol.2010.132.
11. Elgoweini M, Chetty R. Hyalinizing parathyroid adenoma and hyperplasia: report of 3 cases of an unusual histologic variant. Ann Diagn Pathol. 2011;15(5):329-332. doi: 10.1016/j.anndiagpath.2011.03.001.
12. Alwaheeb S, Rambaldini G, Boerner S, et al. Worrisome histologic alterations following fine-needle aspiration of the parathyroid. J Clin Pathol. 2006;59(10):1094-1096. doi: 10.1136/jcp.2005.029017.
13. Shane E. Clinical review 122: Parathyroid carcinoma. J Clin Endocrinol Metab. 2001;86(2):485-493. doi: 10.1210/jcem.86.2.7207.
14. Duan K, Mete O. Parathyroid carcinoma: diagnosis and clinical implications. Turk Patoloji Derg. 2015;31 Suppl 1:80-97. doi: 10.5146/tjpath.2015.01316.
15. DeLellis RA. Parathyroid tumors and related disorders. Mod Pathol. 2011;24 Suppl 2:S78-93. doi: 10.1038/modpathol.2010.132.
16. Fernandez-Ranvier GG, Khanafshar E, Jensen K, et al. Parathyroid carcinoma, atypical parathyroid adenoma, or parathyromatosis? Cancer. 2007;110(2):255-264. doi: 10.1002/cncr.22790.
17. Landry CS, Wang TS, Asare EA, et al. Parathyroid. In: AJCC Cancer Staging Manual. Springer; 2017. p. 903-910. doi: 10.1007/978-3-319-40618-3_75.
18. Ryhanen EM, Leijon H, Metso S, et al. A nationwide study on parathyroid carcinoma. Acta Oncol. 2017;56(7):991-1003. doi: 10.1080/0284186X.2017.1306103.
19. Kruijff S, Sidhu SB, Sywak MS, et al. Negative parafibromin staining predicts malignant behavior in atypical parathyroid adenomas. Ann Surg Oncol. 2014;21(2):426-433. doi: 10.1245/s10434-013-3288-8.
Об авторах
Ия Александровна ВоронковаФГБУ “Национальный медицинский исследовательский центр эндокринологии” Минздрава России; ГБУЗ Московской области “Московский областной научно-исследовательский клинический институт имени М.Ф. Владимирского”
Россия
врач Центра патологии околощитовидных желез; врач патологоанатомического отделения
Анастасия Михайловна Лапшина
ФГБУ “Национальный медицинский исследовательский центр эндокринологии” Минздрава России
Россия
врач отдела фундаментальной патоморфологии
Лариса Евсеевна Гуревич
ГБУЗ Московской области “Московский областной научно-исследовательский клинический институт имени М.Ф. Владимирского”
Россия
проф, главный научный сотрудник отделения патологической анатомии
Людмила Яковлевна Рожинская
ФГБУ “Национальный медицинский исследовательский центр эндокринологии” Минздрава России
Россия
проф, врач отделения нейроэндокринологии и остеопатий
Тимур Альбертович Бритвин
ГБУЗ Московской области “Московский областной научно-исследовательский клинический институт имени М.Ф. Владимирского”
Россия
зав.отдел. эндокринной хирургии
Алексей Викторович Кривошеев
ГБУЗ Московской области “Московский областной научно-исследовательский клинический институт имени М.Ф. Владимирского”
Россия
научный сотрудник отделения эндокринной хирургии
Илья Викторович Ким
ФГБУ “Национальный медицинский исследовательский центр эндокринологии” Минздрава России
Россия
ведущий научный сотрудник оотдела хирургии эндокринных органов
Сергей Николаевич Кузнецов
ФГБУ “Национальный медицинский исследовательский центр эндокринологии” Минздрава России
Россия
врач-хирург отдела хирургии эндокринных органов
Наталья Георгиевна Мокрышева
ФГБУ “Национальный медицинский исследовательский центр эндокринологии” Минздрава России
Россия
проф., руководитель Центра патологии околощитовидных желез
Дополнительные файлы
|
|
1. рисунок 1 | |
| Тема | ||
| Тип | Исследовательские инструменты | |
Посмотреть
(3MB)
|
Метаданные ▾ | |
|
|
2. рисунок 2 | |
| Тема | ||
| Тип | Исследовательские инструменты | |
Посмотреть
(516KB)
|
Метаданные ▾ | |
|
|
3. рисунок 3 | |
| Тема | ||
| Тип | Исследовательские инструменты | |
Посмотреть
(4MB)
|
Метаданные ▾ | |
|
|
4. Рис. 1. Гистологические особенности новообразований пациента А.: а – неинкапсулированная папиллярная микрокарцинома, фолликулярный вариант (Г-Э, ×100); б – атипическая аденома ОЩЖ из главных клеток с наличием полос фиброза (Г-Э, ×100); в – очаг клеточного и ядерного полиморфизма (1) в атипической аденоме ОЩЖ (Г-Э, ×200); г – экспрессия ПТГ в клетках атипической аденомы ОЩЖ: очаговая в клетках с выраженным полиморфизмом (1) и диффузная – в главных паратиреоцитах (2) (×100); д – экспрессия парафибромина в клетках атипической аденомы ОЩЖ: выраженная в главных паратиреоцитах (1) и отсутствие ядерной экспрессии в клетках с выраженным ядерным полиморфизмом (2) (×200). | |
| Тема | ||
| Тип | Исследовательские инструменты | |
Посмотреть
(540KB)
|
Метаданные ▾ | |
|
|
5. Рис. 2. Макропрепарат операционного материала пациентки Б.: а – атипическая аденома ОЩЖ на разрезе серо- коричневого цвета с фокусом фиброза в центре; б – фокус папиллярной микрокарциномы ЩЖ с фиброзом и кальцификацией стромы. | |
| Тема | ||
| Тип | Исследовательские инструменты | |
Посмотреть
(93KB)
|
Метаданные ▾ | |
|
|
6. Рис. 3. Гистологические особенности новообразований пациентки Б.: а – неинкапсулированная папиллярная микро- карцинома, фолликулярный вариант, с фиброзом и кальцификацией стромы (Г-Э, ×200); б – атипическая аденома ОЩЖ из оксифильных клеток (1), остаток ткани ОЩЖ из главных клеток оттеснен к периферии (2) (Г-Э, ×100); в) очаг фиброза в атипической аденоме ОЩЖ (Г-Э, ×50); г – экспрессия ПТГ в клетках атипической аденомы ОЩЖ (×100); д – диффузная экспрессия парафибромина в ядрах клеток атипической аденомы (1) и в остатке неизмененной ткани ОЩЖ (2) (×200). | |
| Тема | ||
| Тип | Исследовательские инструменты | |
Посмотреть
(432KB)
|
Метаданные ▾ | |
Рецензия
Для цитирования:
Воронкова И.А., Лапшина А.М., Гуревич Л.Е., Рожинская Л.Я., Бритвин Т.А., Кривошеев А.В., Ким И.В., Кузнецов С.Н., Мокрышева Н.Г. Атипическая аденома околощитовидной железы в сочетании с папиллярным раком щитовидной железы: два клинических наблюдения. Клиническая и экспериментальная тиреоидология. 2017;13(4):40-48. https://doi.org/10.14341/ket9497
For citation:
Voronkova I.A., Lapshina A.M., Gurevich L.E., Rozhinskaya L.Ya., Britvin T.A., Krivosheev A.V., Kim I.V., Kuznetsov S.N., Mokrysheva N.G. Two cases synchronous atypical parathyroid adenomas and papillary thyroid carcinoma. Clinical and experimental thyroidology. 2017;13(4):40-48. (In Russ.) https://doi.org/10.14341/ket9497
Контент доступен под лицензией Creative Commons Attribution-NonCommercial-NoDerivatives 4.0 International License (CC BY-NC-ND 4.0).
































